


Dual staining performed with Proteintech's anti-tubulin antibody 66031-1-Ig (green) and anti-SIRT6 antibody 13572-1-AP (red).
Blue counterstain: human anti-mito HMS-0200 (Immunovision). (Credit: Nancy Kedersha, Brigham and Women's Hospital, Boston).
"The merit of originality is not novelty; it is sincerity."
Thomas Carlyle – Scottish Philosopher
Proteintech's Origins
Proteintech Group was founded in 2001 by a group of scientists, who were actively engaged in NIH funded research at the time. One of the original founders and current CEO Dr. Jason Li was an Associate Professor of Immunology at the University of Illinois at Chicago during the company's foundation years. He says of the reasons behind Proteintech's establishment:
"At the heart of our aspiration was a company for scientists by scientists; an antibody provider that would offer researchers the advantage — not investors."
Original Products – original products
Part of Proteintech Group's early vision was to make all its own products, to the highest standards possible, and never source a single antibody from any other provider. This would offer researchers many advantages, including a way of avoiding the same antibodies sold under different brand names by different companies – an unregulated practice that has arisen within the industry1.
With one hundred percent original products Proteintech offers its customers sincerity and integrity, qualities you will discover continually throughout this brochure. You can only buy Proteintech antibodies directly from Proteintech or via one of its approved distributors — when you receive your antibody and see the Proteintech logo on the vial, know that you hold something that is truly unique.
[1] Voskuil J. Commercial antibodies and their validation [v2; ref status: indexed,http://f1000r.es/4jp] F1000Research 2014, 3:232 (doi:10.12688/f1000research.4966.2)
"…The highlights of tomorrow are the
unpredictabilities of today."
Caesar Milstein, Nobel Prize Winner and Father of monoclonal technology.
Another fundamental part of the Proteintech Group vision was to produce an antibody for every single protein coded for in the human genome. Around the time of the company's inception the Human Genome Project was reaching its conclusion and the era of proteomics was dawning. Knowing that the study of proteins was key to translating the wealth of information contained within the genome, Proteintech set about providing the most vital tools for this task: antibodies — reagents without equal in the pursuit of protein research. Furthermore, the antibodies they aimed to provide were not just those relevant to the research of the day, but those of the discoveries of tomorrow. Because it is impossible to predict where science might go, and which targets may be in demand in future, comprehensive coverage of all human gene products is vital to supporting scientists.
So far Proteintech has covered up to two-thirds of the human genome with its antibody products, and reaching the last protein in the genome is still an important target today.
"Nature, to be commanded, must be obeyed"
Francis Bacon, English Philosopher
The benefits of whole-protein antibodies, among others, are their robustness and versatility. In addition to their capability at routine target detection – such as Western blotting for an abundant protein – they outperform peptide antibodies in exploratory science and in suboptimal conditions. For instance they show greater success in the analysis of patient samples where pathological proteins are present at endogenous levels or lower. Proteintech's anti-TDP-43 protein is a principal example of this…
Proteintech's monoclonal TDP-43 antibody (60019-2-Ig) binds to the TDP-43 protein via recognition and interaction with a specific epitope - mapped to amino residues 203-209 by Hiroshi Tsuji et al. (2012). This site is involved in the pathological aggregation of TDP-43. Note its location at the protein's surface.
Reference: H Tsuji, T Arai, F Kametani et al., Brain. 2012 Nov;135 (Pt 11):3380-91.
"…The species that survives […] is the one most adaptable to change."
Charles Darwin, British Naturalist and Geologist
TDP (TAR DNA binding protein)-43 is an important target in neurodegeneration research, but its story started with the Human Immunodeficiency Virus (HIV) in the mid-1990s — it was shown to bind DNA motifs of HIV origin1; however, only a dozen more publications followed in the next decade.
In 2006, findings published in the journal Science2 would ultimately change TDP-43's status from a minor research target to a mainstay of neurodegeneration research. The authors
identified TDP-43 as the mystery constituent of protein inclusions in FTLD-U, one of the most common forms of frontotemporal dementia (FTD), a family of neurodegenerative diseases.
Moreover, they identified it in the overlapping disease ALS, or Lou Gehrig's disease.
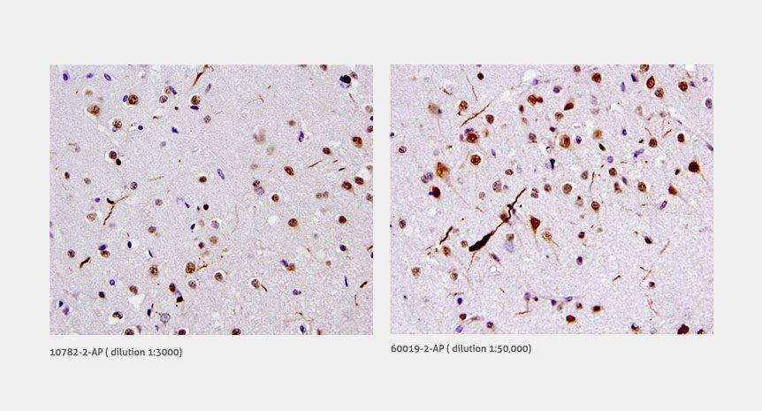
Proteintech's anti-TDP-43 antibody (10782-2-AP) was used to verify mass spectrometry data through immunohistochemical and biochemical analyses of FTLD-U brain tissue samples. The group were able to visualize the inclusions in several more types of FTLD-U than first predicted, where other antibodies had failed. The whole-protein beginnings of the TDP-43 antibody enabled it to 'see' aggregated TDP-43 in more disease scenarios than the other antibodies used by the group at earlier stages of the work…
…But there's more to Proteintech's whole-protein approach than just targeting more protein…
[1] Ou SH, Wu F, Harrich D et al., (1995), Cloning and characterization of a novel cellular protein, TDP-43, that binds to human immunodeficiency virus type 1 TAR DNA sequence motifs. Journal of Virology: June 1995; 69(6): 3584–96.
[2] Neumann M, Sampathu DM, Kwong LK, et al., (2006) Ubiquitinated TDP-43 in Frontotemporal Lobar Degeneration and Amyotrophic Lateral Sclerosis. Science: October 2006; 314(5796): 130–3
"There are no shortcuts in evolution"
Louis D. Brandeis, Former Associate Justice of the Supreme Court of the
United States
The lab employs a 102 day-long immunization protocol as standard, supplemented with booster immunizations to emulate a realistic immune response. This protocol, paired with the whole-protein approach, allows two major processes to happen in the host immune system that contribute to superior antibodies…
![]() |
![]() |
||
Selection of epitopes |
Affinity Maturation |
||
"The greatest SMN signal with…broadest dynamic range was seen with the
combination of ER4 (buffer) and the Proteintech antibody."
D.T.Kobayashi et al., PLoS One. 2011; 6 (8): e24269
The greater recognition capabilities of Proteintech antibodies are no better demonstrated than with the example of its anti-SMN2 antibody (11708-1-AP).
Researchers at The SMA (spinal muscular atrophy) Foundation set out to develop an assay that would need just one milliliter of blood for the detection of SMN2. A tough call as SMN2 levels in SMA patients are pretty low1. Therein lay a challenge as a protein signal cannot be augmented from a small sample in the same way a trace of DNA can by PCR. Yet, with a sensitive antibody possessing high affinity, a protein can be captured and enriched enough for detection. This is the basic principle of the Sandwich ELISA procedure, and whole-protein raised antibodies are the ideal candidates for such protocols.
This is because they recognize more of the protein, in three-dimensional, native conformations.
In their efforts to develop a Sandwich ELISA assay for the detection of SMN2 in PBMCs The SMA Foundation scientists found that Proteintech's anti-SMN2 antibody (11708-1-AP) proved four times more sensitive than the nearest ranking equivalent from among its competitors1. Taking this antibody forward into their design of the assay, the SMA researchers were able to develop a reliable, quantitative and rapid method for the measurement of SMN2 in SMA patient PBMCs. In addition, the resulting assay was also able to detect SMN in several tissues of mouse origin, including a mouse model of severe SMA1.
The Whole Protein approach is not the only measure Proteintech takes to ensure the quality of its antibodies. Read on to find out more about its production and validation procedures…
[1] Kobayashi DT, Olson RJ, Sly L et al. (2011) Utility of survival motor neuron ELISA for spinal muscular atrophy clinical and preclinical analyses. PLoS One: August 2011; 6(8):e24269.
"As a scientist, you're not supposed to make decisions without the data."
Francis Sellers Collins, American physician-geneticist and Director of the
National Institutes of Health
Study the schematic, which shows our validation hierarchy. You'll notice that we don't sell any antibodies that do not have a valid Western blot (WB). In exceptional circumstances we approve products for sale that have
been reviewed by an independent medical pathologist for use in immunohistochemistry (IHC) without WB data. All validation experiments are performed using unmodified samples and endogenous levels of proteins.
The scientific community thrives when data is shared freely. Without data sharing, experiments cannot be peer-reviewed, and scientists cannot validate existing findings by repeating or improving experiments. At Proteintech we believe data sharing does not just fall within the sphere of the research community – we know our validation data can contribute something to science too. Therefore, we have an open access data policy to assist you with your initial antibody purchase and to facilitate your experimental
design. All of Proteintech's validation results are accessible on its website, and the scientist responsible for those data can be reached via Proteintech's technical help channels at any time.
Furthermore, we make available any data your research peers have shared with us, with permission, so you can see how an antibody has performed in the hands of others. We encourage any feedback, positive and negative, from all of our customers.
"Commitment is an act, not a word."
Jean-Paul Satre, French Philosopher
The pursuit of our scientific ideals, our extensive validation procedures and the previous success stories of Proteintech antibody users, all attest to a scientific company that puts its customers and their research first.
Recently, Proteintech has pledged to undertake siRNA knockdown validation of most of its antibodies by the end of 2015. The specificities of over 2,400 Proteintech antibodies have already been confirmed by customers using siRNA knockdown, and published in over 65,000 journal papers. In adding its own siRNA data to those previously available in the literature, Proteintech's aim is to make a gold standard of antibody validation more accessible to its customers. In doing so, Proteintech will be setting a new benchmark for antibody validation – one that crosses the boundary between provider and user, and absolves the question of with whom the responsibility of antibody validation should fall.
Proteintech is now committed to realizing this ambition, in addition to continuing its support of scientists beyond an antibody's arrival at the lab bench. At Proteintech we understand that the success stories of its antibodies only really start once they are in your hands, so we will go that extra mile to ensure that, in a discipline with so many variables, you have a trusted source of consistent, quality antibodies.
70,000 success stories and counting
Success for Proteintech and its team isn’t having 13,000 products in its catalog, nor is it seeing its sales increase. What really matters to Proteintech and the team is the success of its antibodies in the hands of scientists – the people who make the discoveries that change and explain the world around us. They need well-validated antibodies they can really rely on to reveal true data.
Proteintech values every item of peer-reviewed research published by its customers. It is the rapidly growing number of research papers featuring its antibodies that Proteintech counts as real, tangible success. With 65,000 publications and counting, the numbers speak for themselves.
So what will your success story be?
Search the ProteinTech catalog to begin…This site has been built for desktop use.
Sorry, we have lots of large techincal information here that's best suited to viewing on a tablet or larger screen.
Thanks