Tested Applications
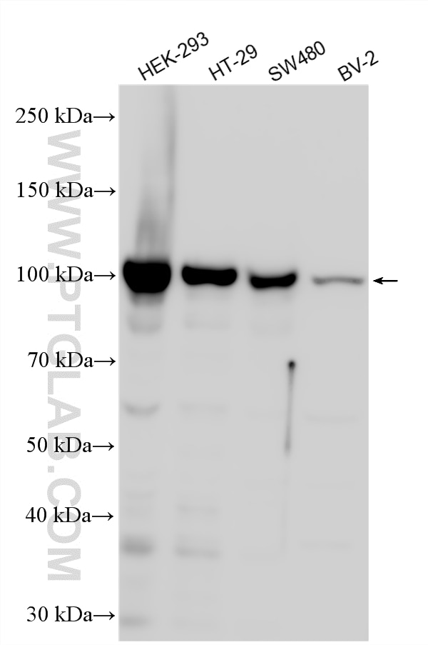
| Positive WB detected in | HEK-293 cells, HEK293 cells, HT-29 cells, HeLa cells, SW 480 cells, SW480 cells, BV-2 cells |
| Positive IP detected in | HEK-293 cells |
| Positive IHC detected in | human breast cancer tissue Note: suggested antigen retrieval with TE buffer pH 9.0; (*) Alternatively, antigen retrieval may be performed with citrate buffer pH 6.0 |
| Positive IF/ICC detected in | A431 cells, HepG2 cells |
Recommended dilution
| Application | Dilution |
|---|---|
| Western Blot (WB) | WB : 1:5000-1:50000 |
| Immunoprecipitation (IP) | IP : 0.5-4.0 ug for 1.0-3.0 mg of total protein lysate |
| Immunohistochemistry (IHC) | IHC : 1:50-1:500 |
| Immunofluorescence (IF)/ICC | IF/ICC : 1:1000-1:4000 |
| It is recommended that this reagent should be titrated in each testing system to obtain optimal results. | |
| Sample-dependent, Check data in validation data gallery. | |
Published Applications
| KD/KO | See 12 publications below |
| WB | See 48 publications below |
| IHC | See 13 publications below |
| IF | See 8 publications below |
| IP | See 4 publications below |
| CoIP | See 2 publications below |
| RIP | See 3 publications below |
Product Information
10587-1-AP targets RBM15 in WB, IHC, IF/ICC, IP, CoIP, RIP, ELISA applications and shows reactivity with human, mouse, rat samples.
| Tested Reactivity | human, mouse, rat |
| Cited Reactivity | human, mouse, rat |
| Host / Isotype | Rabbit / IgG |
| Class | Polyclonal |
| Type | Antibody |
| Immunogen |
CatNo: Ag0938 Product name: Recombinant human RBM15 protein Source: e coli.-derived, PGEX-4T Tag: GST Domain: 658-957 aa of BC006397 Sequence: SSSRDRYNSDNDRSSRLLLERPSPIRDRRGSLEKSQGDKRDRKNSASAERDRKHRTTAPTEGKSPLKKEDRSDGSAPSTSTASSKLKSPSQKQDGGTAPVASASPKLCLAWQGMLLLKNSNFPSNMHLLQGDLQVASSLLVEGSTGGKVAQLKITQRLRLDQPKLDEVTRRIKVAGPNGYAILLAVPGSSDSRSSSSSAASDTATSTQRPLRNLVSYLKQKQAAGVISLPVGGNKDKENTGVLHAFPPCEFSQQFLDSPAKALAKSEEDYLVMIIVRGFGFQIGVRYENKKRENLALTLL Predict reactive species |
| Full Name | RNA binding motif protein 15 |
| Calculated Molecular Weight | 105 kDa |
| Observed Molecular Weight | 100-107 kDa |
| GenBank Accession Number | BC006397 |
| Gene Symbol | RBM15 |
| Gene ID (NCBI) | 64783 |
| RRID | AB_2175757 |
| Conjugate | Unconjugated |
| Form | Liquid |
| Purification Method | Antigen affinity purification |
| UNIPROT ID | Q96T37 |
| Storage Buffer | PBS with 0.02% sodium azide and 50% glycerol, pH 7.3. |
| Storage Conditions | Store at -20°C. Stable for one year after shipment. Aliquoting is unnecessary for -20oC storage. 20ul sizes contain 0.1% BSA. |
Background Information
RNA-binding motif protein 15 (RBM15) belongs to the SPEN protein family, which have repressor function in several signaling pathway, and may bind to RNA through interaction with spliceosome components. It was first described as a 5′ translocation partner of the MAL gene in t(1,22)(p13;q13) infant acute megakaryocytic leukemia, and it functions in murine hematopoiesis through modulating Notch-induced transcriptional activation, which play crucial roles in leukemogenesis. Decreasing RBM15 levels with RNA interference could inhibit the growth and proliferation, block the cell cycle, and induce apoptosis in CML cells.
Protocols
| Product Specific Protocols | |
|---|---|
| IF protocol for RBM15 antibody 10587-1-AP | Download protocol |
| IHC protocol for RBM15 antibody 10587-1-AP | Download protocol |
| IP protocol for RBM15 antibody 10587-1-AP | Download protocol |
| WB protocol for RBM15 antibody 10587-1-AP | Download protocol |
| Standard Protocols | |
|---|---|
| Click here to view our Standard Protocols |
Publications
| Species | Application | Title |
|---|---|---|
Mol Cancer Co-transcriptional R-loops-mediated epigenetic regulation drives growth retardation and docetaxel chemosensitivity enhancement in advanced prostate cancer | ||
Mol Cell mTORC1 stimulates cell growth through SAM synthesis and m6A mRNA-dependent control of protein synthesis. | ||
Nat Struct Mol Biol m6A and the NEXT complex direct Xist RNA turnover and X-inactivation dynamics | ||
Dev Cell N6-methyladenosine modification of MALAT1 promotes metastasis via reshaping nuclear speckles.
| ||
Elife Cross-talk between PRMT1-mediated methylation and ubiquitylation on RBM15 controls RNA splicing. |
Reviews
The reviews below have been submitted by verified Proteintech customers who received an incentive for providing their feedback.
FH Sonam (Verified Customer) (01-27-2026) | Works great
|

















