Tested Applications
| Positive WB detected in | HeLa cells, HEK-293 cells, MCF-7 cells, MDA-MB-231 cells, NIH/3T3 cells |
| Positive IP detected in | HepG2 cells |
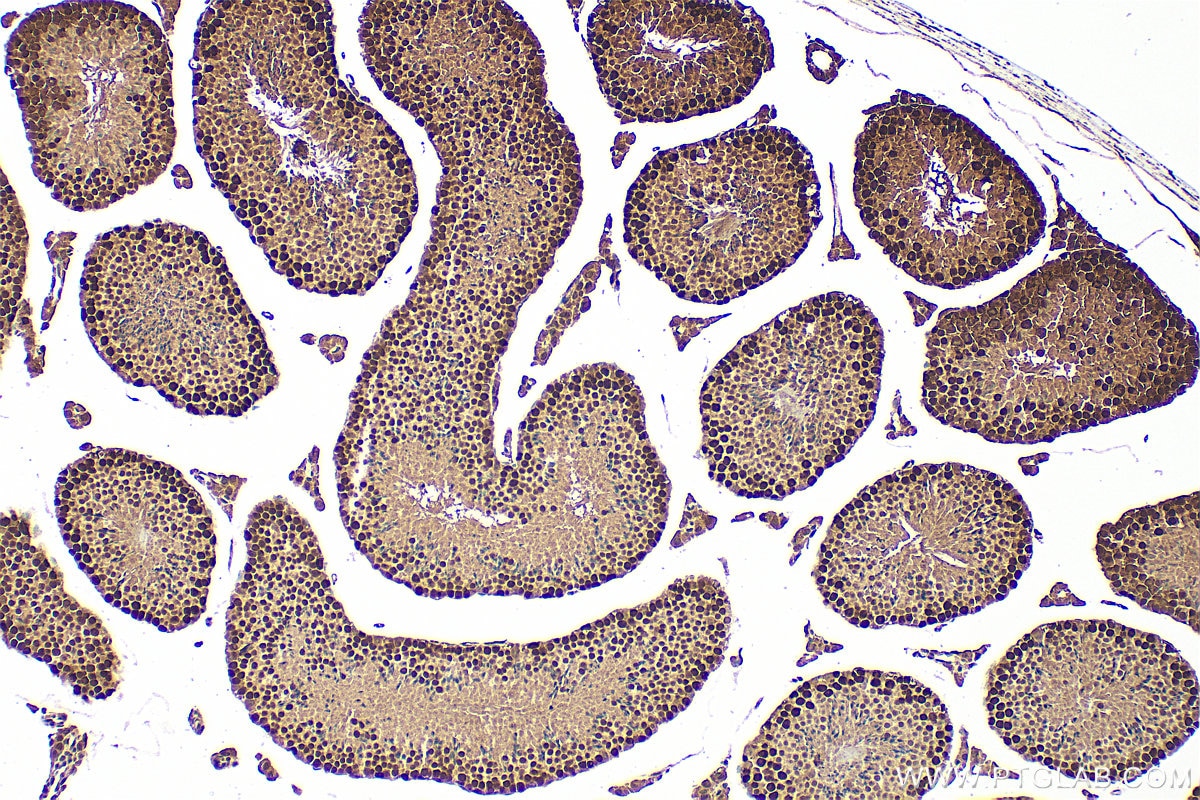
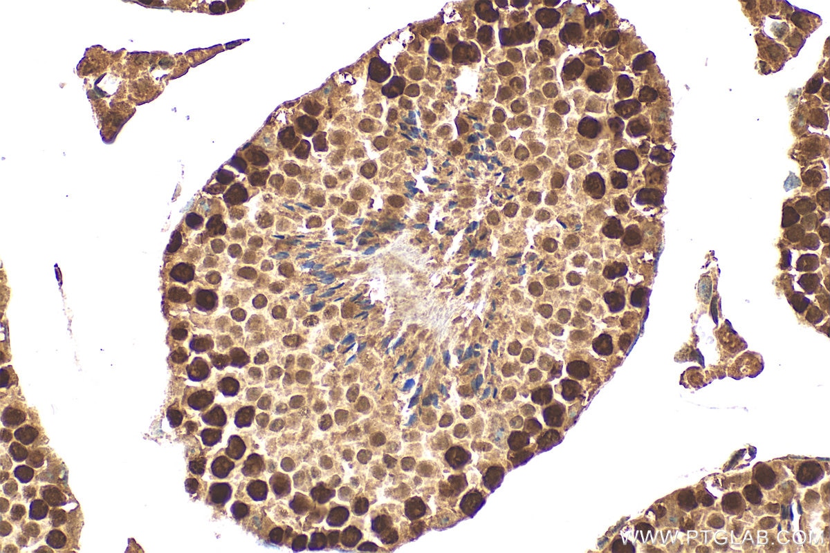
| Positive IHC detected in | mouse testis tissue, mouse colon tissue Note: suggested antigen retrieval with TE buffer pH 9.0; (*) Alternatively, antigen retrieval may be performed with citrate buffer pH 6.0 |
| Positive IF-P detected in | mouse ovary tissue |
| Positive IF/ICC detected in | HepG2 cells |
Recommended dilution
| Application | Dilution |
|---|---|
| Western Blot (WB) | WB : 1:5000-1:50000 |
| Immunoprecipitation (IP) | IP : 0.5-4.0 ug for 1.0-3.0 mg of total protein lysate |
| Immunohistochemistry (IHC) | IHC : 1:250-1:1000 |
| Immunofluorescence (IF)-P | IF-P : 1:50-1:500 |
| Immunofluorescence (IF)/ICC | IF/ICC : 1:10-1:100 |
| It is recommended that this reagent should be titrated in each testing system to obtain optimal results. | |
| Sample-dependent, Check data in validation data gallery. | |
Published Applications
| KD/KO | See 3 publications below |
| WB | See 9 publications below |
| IHC | See 2 publications below |
| IF | See 4 publications below |
Product Information
11432-1-AP targets HAT1 in WB, IHC, IF/ICC, IF-P, IP, ELISA applications and shows reactivity with human, mouse, rat samples.
| Tested Reactivity | human, mouse, rat |
| Cited Reactivity | human, mouse, rat |
| Host / Isotype | Rabbit / IgG |
| Class | Polyclonal |
| Type | Antibody |
| Immunogen |
CatNo: Ag1952 Product name: Recombinant human HAT1 protein Source: e coli.-derived, PGEX-4T Tag: GST Domain: 241-419 aa of BC018682 Sequence: MLILTPFQGQGHGAQLLETVHRYYTEFPTVLDITAEDPSKSYVKLRDFVLVKLCQDLPCFSREKLMQGFNEDMAIEAQQKFKINKQHARRVYEILRLLVTDMSDAEQYRSYRLDIKRRLISPYKKKQRDLAKMRKCLRPEELTNQMNQIEISMQHEQLEESFQELVEDYRRVIERLAQE Predict reactive species |
| Full Name | histone acetyltransferase 1 |
| Calculated Molecular Weight | 419 aa, 50 kDa |
| Observed Molecular Weight | 46 kDa |
| GenBank Accession Number | BC018682 |
| Gene Symbol | HAT1 |
| Gene ID (NCBI) | 8520 |
| RRID | AB_2116435 |
| Conjugate | Unconjugated |
| Form | Liquid |
| Purification Method | Antigen affinity purification |
| UNIPROT ID | O14929 |
| Storage Buffer | PBS with 0.02% sodium azide and 50% glycerol, pH 7.3. |
| Storage Conditions | Store at -20°C. Stable for one year after shipment. Aliquoting is unnecessary for -20oC storage. 20ul sizes contain 0.1% BSA. |
Protocols
| Product Specific Protocols | |
|---|---|
| IF protocol for HAT1 antibody 11432-1-AP | Download protocol |
| IHC protocol for HAT1 antibody 11432-1-AP | Download protocol |
| IP protocol for HAT1 antibody 11432-1-AP | Download protocol |
| WB protocol for HAT1 antibody 11432-1-AP | Download protocol |
| Standard Protocols | |
|---|---|
| Click here to view our Standard Protocols |
Publications
| Species | Application | Title |
|---|---|---|
Cell Death Dis HAT1/HDAC2 mediated ACSL4 acetylation confers radiosensitivity by inducing ferroptosis in nasopharyngeal carcinoma | ||
Elife Human DUX4 and mouse Dux interact with STAT1 and broadly inhibit interferon-stimulated gene induction | ||
EMBO Rep Histone acetyltransferase 1 is a succinyltransferase for histones and non-histones and promotes tumorigenesis.
| ||
Mol Cell Proteomics Acetylproteomic analysis reveals functional implications of lysine acetylation in human spermatozoa (sperm). | ||
Reviews
The reviews below have been submitted by verified Proteintech customers who received an incentive for providing their feedback.
FH Kathryn (Verified Customer) (04-22-2022) | This antibody works very well to stain nuclei of developed oocytes in the mouse ovary.
![]() |
FH Leonardo (Verified Customer) (05-29-2019) | The antibody works well in a good range of sample (5-40 ug) in both cell lines I tested (MDA-MB-231 and HCC1806). I definitely recommend.
![]() |

















