Tested Applications
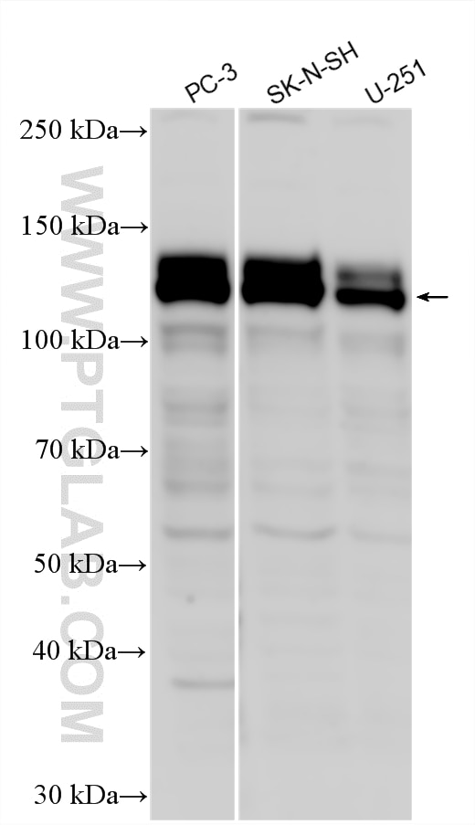
| Positive WB detected in | PC-3 cells, mouse brain tissue, SH-SY5Y cells, SK-N-SH cells |
| Positive IP detected in | mouse brain tissue |
Recommended dilution
| Application | Dilution |
|---|---|
| Western Blot (WB) | WB : 1:1000-1:6000 |
| Immunoprecipitation (IP) | IP : 0.5-4.0 ug for 1.0-3.0 mg of total protein lysate |
| It is recommended that this reagent should be titrated in each testing system to obtain optimal results. | |
| Sample-dependent, Check data in validation data gallery. | |
Published Applications
| KD/KO | See 1 publications below |
| WB | See 3 publications below |
| IHC | See 1 publications below |
| IF | See 2 publications below |
Product Information
13771-1-AP targets GPRIN1 in WB, IHC, IF, IP, ELISA applications and shows reactivity with human, mouse samples.
| Tested Reactivity | human, mouse |
| Cited Reactivity | human, mouse |
| Host / Isotype | Rabbit / IgG |
| Class | Polyclonal |
| Type | Antibody |
| Immunogen |
CatNo: Ag4754 Product name: Recombinant human GRIN1 protein Source: e coli.-derived, PGEX-4T Tag: GST Domain: 652-1008 aa of BC052950 Sequence: GEAGAVCLKKETPQASEKVDPGSCRKAEPLASGKGEPVSLGKADSAPSRKTESPSLGKVVPLSLEKTKPSSSSRQLDRKALGSARSPEGARGSEGRVEPKAEPVSSTEASSLGQKDLEAAGAERSPCPEAAAPPPGPRTRDNFTKAPSWEASAPPPPREDAGTQAGAQACVSVAVSPMSPQDGAGGSAFSFQAAPRAPSPPSRRDAGLQVSLGAAETRSVATGPMTPQAAAPPAFPEVRVRPGSALAAAVAPPEPAEPVRDVSWDEKGMTWEVYGAAMEVEVLGMAIQKHLERQIEEHGRQGAPAPPPAARAGPGRSGSVRTAPPDGAAKRPPGLFRALLQSVRRPRCCSRAGPTAE Predict reactive species |
| Full Name | G protein regulated inducer of neurite outgrowth 1 |
| Calculated Molecular Weight | 1008 aa, 102 kDa |
| Observed Molecular Weight | 100-110 kDa |
| GenBank Accession Number | BC052950 |
| Gene Symbol | GPRIN1 |
| Gene ID (NCBI) | 114787 |
| RRID | AB_2114013 |
| Conjugate | Unconjugated |
| Form | Liquid |
| Purification Method | Antigen affinity purification |
| UNIPROT ID | Q7Z2K8 |
| Storage Buffer | PBS with 0.02% sodium azide and 50% glycerol, pH 7.3. |
| Storage Conditions | Store at -20°C. Stable for one year after shipment. Aliquoting is unnecessary for -20oC storage. 20ul sizes contain 0.1% BSA. |
Background Information
GPRIN1 (G protein-regulated inducer of neurite outgrowth 1), also named GRIN1, may be involved in neurite outgrowth. Western blotting analysis has confirmed its expression in mouse neuroblastoma and rat pheochromocytoma cells. And both GPRIN1 and GNAO1 are membrane-bound proteins that are enriched in the growth cones of neurites (PMID:10480904). It has 2 isoforms produced by alternative splicing. This antibody detects GRIN1 at bands around 110 kDa.
Protocols
| Product Specific Protocols | |
|---|---|
| IP protocol for GPRIN1 antibody 13771-1-AP | Download protocol |
| WB protocol for GPRIN1 antibody 13771-1-AP | Download protocol |
| Standard Protocols | |
|---|---|
| Click here to view our Standard Protocols |
Publications
| Species | Application | Title |
|---|---|---|
Sci Signal Dynamic interactions of the 5-HT6 receptor with protein partners control dendritic tree morphogenesis.
| ||
J Biol Chem DHHC5 interacts with PDZ domain 3 of post-synaptic density-95 (PSD-95) protein and plays a role in learning and memory. | ||
Exp Ther Med Chronic ethanol exposure induces SK-N-SH cell apoptosis by increasing N-methyl-D-aspartic acid receptor expression and intracellular calcium. | ||
bioRxiv Uncovering the electrical synapse proteome in retinal neurons via in vivo proximity labeling |





