Tested Applications
| Positive WB detected in | RAW 264.7 cells, HEK-293 cells, mouse kidney tissue, rat kidney tissue, mouse lung tissue, mouse brain tissue, mouse spleen tissue |
| Positive IP detected in | mouse kidney tissue |
| Positive IHC detected in | human colon tissue, mouse placenta tissue Note: suggested antigen retrieval with TE buffer pH 9.0; (*) Alternatively, antigen retrieval may be performed with citrate buffer pH 6.0 |
Recommended dilution
| Application | Dilution |
|---|---|
| Western Blot (WB) | WB : 1:500-1:2000 |
| Immunoprecipitation (IP) | IP : 0.5-4.0 ug for 1.0-3.0 mg of total protein lysate |
| Immunohistochemistry (IHC) | IHC : 1:50-1:500 |
| It is recommended that this reagent should be titrated in each testing system to obtain optimal results. | |
| Sample-dependent, Check data in validation data gallery. | |
Published Applications
| KD/KO | See 1 publications below |
| WB | See 6 publications below |
| IHC | See 1 publications below |
| IP | See 2 publications below |
| CoIP | See 1 publications below |
Product Information
23997-1-AP targets AMPD3 in WB, IHC, IP, CoIP, ELISA applications and shows reactivity with human, mouse, rat samples.
| Tested Reactivity | human, mouse, rat |
| Cited Reactivity | human, mouse, rat |
| Host / Isotype | Rabbit / IgG |
| Class | Polyclonal |
| Type | Antibody |
| Immunogen |
CatNo: Ag21199 Product name: Recombinant human AMPD3 protein Source: e coli.-derived, PGEX-4T Tag: GST Domain: 1-138 aa of BC126118 Sequence: MALSSEPAEMPRQFPKLNISEVDEQVRLLAEKVFAKVLREEDSKDALSLFTVPEDCPIGQKEAKERELQKELAEQKSVETAKRKKSFKMIRSQSLSLQMPPQQDWKGPPAASPAMSPTTPVVTGATSLPTPAPYAMPE Predict reactive species |
| Full Name | adenosine monophosphate deaminase (isoform E) |
| Calculated Molecular Weight | 776 aa, 90 kDa |
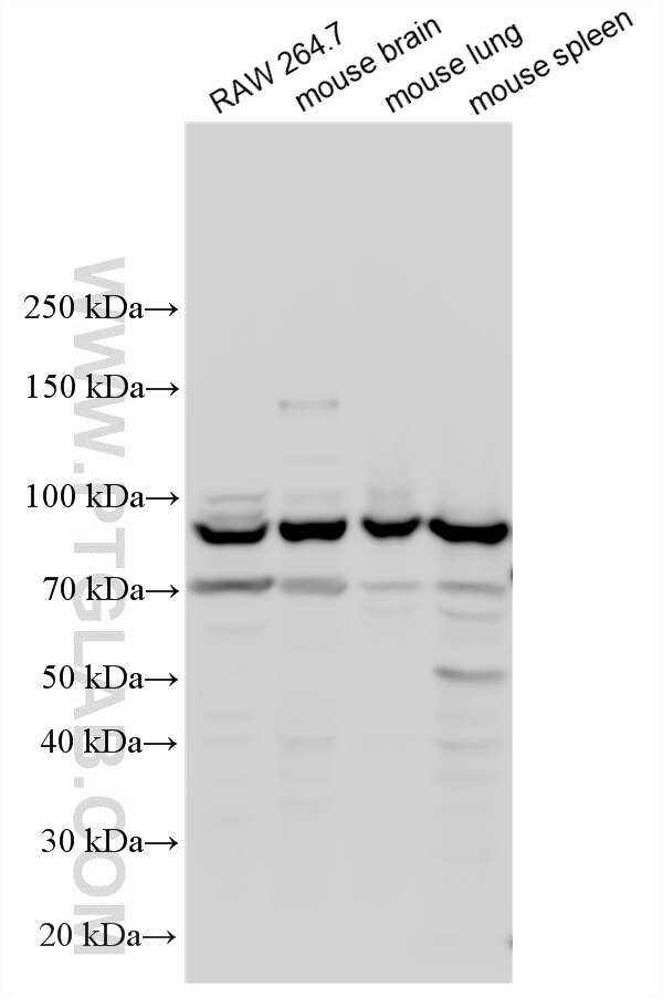
| Observed Molecular Weight | 70 kDa, 90 kDa |
| GenBank Accession Number | BC126118 |
| Gene Symbol | AMPD3 |
| Gene ID (NCBI) | 272 |
| RRID | AB_2879396 |
| Conjugate | Unconjugated |
| Form | Liquid |
| Purification Method | Antigen Affinity purified |
| UNIPROT ID | Q01432 |
| Storage Buffer | PBS with 0.02% sodium azide and 50% glycerol, pH 7.3. |
| Storage Conditions | Store at -20°C. Stable for one year after shipment. Aliquoting is unnecessary for -20oC storage. 20ul sizes contain 0.1% BSA. |
Protocols
| Product Specific Protocols | |
|---|---|
| IHC protocol for AMPD3 antibody 23997-1-AP | Download protocol |
| IP protocol for AMPD3 antibody 23997-1-AP | Download protocol |
| WB protocol for AMPD3 antibody 23997-1-AP | Download protocol |
| Standard Protocols | |
|---|---|
| Click here to view our Standard Protocols |
Publications
| Species | Application | Title |
|---|---|---|
J Mol Cell Cardiol Translational regulation by miR-301b upregulates AMP deaminase in diabetic hearts. | ||
J Mol Cell Cardiol Xanthine oxidoreductase-mediated injury is amplified by upregulated AMP deaminase in type 2 diabetic rat hearts under the condition of pressure overload. | ||
Nat Metab Super-enhancer-driven metabolic reprogramming promotes cystogenesis in autosomal dominant polycystic kidney disease.
| ||
J Med Chem Discovery of Novel N-(5-(Pyridin-3-yl)-1H-indazol-3-yl)benzamide Derivatives as Potent Cyclin-Dependent Kinase 7 Inhibitors for the Treatment of Autosomal Dominant Polycystic Kidney Disease | ||
Physiol Rep Downregulation of extramitochondrial BCKDH and its uncoupling from AMP deaminase in type 2 diabetic OLETF rat hearts |



















