Tested Applications
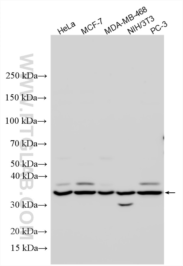
| Positive WB detected in | HeLa cells, MCF-7 cells, MDA-MB-468 cells, NIH/3T3 cells, PC-3 cells |
| Positive IHC detected in | human nasopharyngeal carcinoma tissue Note: suggested antigen retrieval with TE buffer pH 9.0; (*) Alternatively, antigen retrieval may be performed with citrate buffer pH 6.0 |
Recommended dilution
| Application | Dilution |
|---|---|
| Western Blot (WB) | WB : 1:1000-1:4000 |
| Immunohistochemistry (IHC) | IHC : 1:50-1:500 |
| It is recommended that this reagent should be titrated in each testing system to obtain optimal results. | |
| Sample-dependent, Check data in validation data gallery. | |
Published Applications
| KD/KO | See 1 publications below |
| WB | See 5 publications below |
| IHC | See 3 publications below |
| IF | See 1 publications below |
| CoIP | See 2 publications below |
Product Information
15391-1-AP targets BRCC3 in WB, IHC, IF, CoIP, ELISA applications and shows reactivity with human, mouse, rat samples.
| Tested Reactivity | human, mouse, rat |
| Cited Reactivity | human, mouse, pig |
| Host / Isotype | Rabbit / IgG |
| Class | Polyclonal |
| Type | Antibody |
| Immunogen |
CatNo: Ag7584 Product name: Recombinant human BRCC3 protein Source: e coli.-derived, PGEX-4T Tag: GST Domain: 14-316 aa of BC002999 Sequence: LESDAFLVCLNHALSTEKEEVMGLCIGELNDDTRSDSKFAYTGTEMRTVAEKVDAVRIVHIHSVIILRRSDKRKDRVEISPEQLSAASTEAERLAELTGRPMRVVGWYHSHPHITVWPSHVDVRTQAMYQMMDQGFVGLIFSCFIEDKNTKTGRVLYTCFQSIQAQKSSESLHGPRDFWSSSQHISIEGQKEEERYERIEIPIHIVPHVTIGKVCLESAVELPKILCQEEQDAYRRIHSLTHLDSVTKIHNGSVFTKNLCSQMSAVSGPLLQWLEDRLEQNQQHLQELQQEKEELMQELSSLE Predict reactive species |
| Full Name | BRCA1/BRCA2-containing complex, subunit 3 |
| Calculated Molecular Weight | 36 kDa |
| Observed Molecular Weight | 35 kDa |
| GenBank Accession Number | BC002999 |
| Gene Symbol | BRCC3 |
| Gene ID (NCBI) | 79184 |
| RRID | AB_2092136 |
| Conjugate | Unconjugated |
| Form | Liquid |
| Purification Method | Antigen affinity purification |
| UNIPROT ID | P46736 |
| Storage Buffer | PBS with 0.02% sodium azide and 50% glycerol, pH 7.3. |
| Storage Conditions | Store at -20°C. Stable for one year after shipment. Aliquoting is unnecessary for -20oC storage. 20ul sizes contain 0.1% BSA. |
Background Information
BRCA1-BRCA2-containing complex subunit 3 (BRCC3), a Lys-63-specific deubiquitinase, is a member of the JAMM/MPN family of zinc metalloproteases. BRCC3 have been shown to promote the inflammasome activation by deubiquitinating NOD-like receptor containing pyrin domain 3 (NLRP3). BRCC3 is associated with G2/M arrest in breast cancer cells and DNA damage. The expression of BRCC3 is associated with increased cell proliferation. (PMID: 23246432, PMID: 30272359)
Protocols
| Product Specific Protocols | |
|---|---|
| IHC protocol for BRCC3 antibody 15391-1-AP | Download protocol |
| WB protocol for BRCC3 antibody 15391-1-AP | Download protocol |
| Standard Protocols | |
|---|---|
| Click here to view our Standard Protocols |
Publications
| Species | Application | Title |
|---|---|---|
Mol Cell Proteomics The mechano-ubiquitinome of articular cartilage: Differential ubiquitination and activation of a group of ER-associated DUBs and ER stress regulators | ||
Transl Oncol A Novel Scoring Model of Deubiquitination Patterns Predicts Prognosis and Immunotherapeutic Response in Hepatocellular Carcinoma | ||
J Agric Food Chem Methionine Promotes Milk Synthesis through the BRCC36-BRG1-mTOR Signaling Axis in Mammary Epithelial Cells
| ||
Adv Sci (Weinh) BRCC36 Deubiquitinates HMGCR to Regulate the Interplay Between Ferroptosis and Pyroptosis | ||
Int Immunopharmacol Deletion of BRCC3 ameliorates airway inflammation in asthma by inhibiting the activation of NLRP3 inflammasome | ||
Autophagy A bacterial RING ubiquitin ligase triggering stepwise degradation of BRISC via TOLLIP-mediated selective autophagy manipulates host inflammatory response |





