Tested Applications
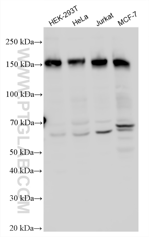
| Positive WB detected in | HEK-293T cells, Jurkat cells, HeLa cells, MCF-7 cells |
| Positive IF/ICC detected in | MCF-7 cells |
Recommended dilution
| Application | Dilution |
|---|---|
| Western Blot (WB) | WB : 1:500-1:1000 |
| Immunofluorescence (IF)/ICC | IF/ICC : 1:300-1:1200 |
| It is recommended that this reagent should be titrated in each testing system to obtain optimal results. | |
| Sample-dependent, Check data in validation data gallery. | |
Published Applications
| KD/KO | See 1 publications below |
| WB | See 2 publications below |
| IHC | See 2 publications below |
Product Information
26212-1-AP targets C11orf30 in WB, IHC, IF/ICC, ELISA applications and shows reactivity with human samples.
| Tested Reactivity | human |
| Cited Reactivity | human |
| Host / Isotype | Rabbit / IgG |
| Class | Polyclonal |
| Type | Antibody |
| Immunogen |
CatNo: Ag23974 Product name: Recombinant human C11orf30 protein Source: e coli.-derived, PGEX-4T Tag: GST Domain: 21-171 aa of BC029375 Sequence: KKALATSMLTGEAGSLPSTHMVVAGMANSTPQQQKCRESCSSPSTVGSSLTTRKIDPPAVPATGQFMRIQNVGQKKAEESPAEIIIQAIPQYAIPCHSSSNVVVEPSGLLELNNFTSQQLDDEETAMEQDIDSSTEDGTEPSPSQSSAERS Predict reactive species |
| Full Name | chromosome 11 open reading frame 30 |
| Observed Molecular Weight | 140-150 kDa |
| GenBank Accession Number | BC029375 |
| Gene Symbol | C11orf30 |
| Gene ID (NCBI) | 56946 |
| RRID | AB_2880429 |
| Conjugate | Unconjugated |
| Form | Liquid |
| Purification Method | Antigen affinity purification |
| UNIPROT ID | Q7Z589 |
| Storage Buffer | PBS with 0.02% sodium azide and 50% glycerol, pH 7.3. |
| Storage Conditions | Store at -20°C. Stable for one year after shipment. Aliquoting is unnecessary for -20oC storage. 20ul sizes contain 0.1% BSA. |
Protocols
| Product Specific Protocols | |
|---|---|
| IF protocol for C11orf30 antibody 26212-1-AP | Download protocol |
| WB protocol for C11orf30 antibody 26212-1-AP | Download protocol |
| Standard Protocols | |
|---|---|
| Click here to view our Standard Protocols |





