Tested Applications
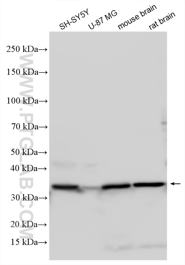
| Positive WB detected in | SH-SY5Y cells, human testis tissue, Jurkat cells, mouse brain tissue, mouse testis tissue, rat brain tissue, U-87 MG cells |
| Positive IHC detected in | human breast cancer tissue Note: suggested antigen retrieval with TE buffer pH 9.0; (*) Alternatively, antigen retrieval may be performed with citrate buffer pH 6.0 |
Recommended dilution
| Application | Dilution |
|---|---|
| Western Blot (WB) | WB : 1:1000-1:8000 |
| Immunohistochemistry (IHC) | IHC : 1:50-1:500 |
| It is recommended that this reagent should be titrated in each testing system to obtain optimal results. | |
| Sample-dependent, Check data in validation data gallery. | |
Product Information
23327-1-AP targets CAMLG in WB, IHC, ELISA applications and shows reactivity with human, mouse, rat samples.
| Tested Reactivity | human, mouse, rat |
| Host / Isotype | Rabbit / IgG |
| Class | Polyclonal |
| Type | Antibody |
| Immunogen |
CatNo: Ag19915 Product name: Recombinant human CAMLG protein Source: e coli.-derived, PET28a Tag: 6*His Domain: 1-184 aa of BC130325 Sequence: MESMAVATDGGERPGVPAGSGLSASQRRAELRRRKLLMNSEQRINRIMGFHRPGSGAEEESQTKSKQQDSDKLNSLSVPSVSKRVVLGDSVSTGTTDQQGGVAEVKGTQLGDKLDSFIKPPECSSDVNLELRQRNRGDLTADSVQRGSRHGLEQYLSRFEEAMKLRKQLISEKPSQEDGNTTEE Predict reactive species |
| Full Name | calcium modulating ligand |
| Calculated Molecular Weight | 296 aa, 33 kDa |
| Observed Molecular Weight | 36 kDa |
| GenBank Accession Number | BC130325 |
| Gene Symbol | CAMLG |
| Gene ID (NCBI) | 819 |
| RRID | AB_2879256 |
| Conjugate | Unconjugated |
| Form | Liquid |
| Purification Method | Antigen affinity purification |
| UNIPROT ID | P49069 |
| Storage Buffer | PBS with 0.02% sodium azide and 50% glycerol, pH 7.3. |
| Storage Conditions | Store at -20°C. Stable for one year after shipment. Aliquoting is unnecessary for -20oC storage. 20ul sizes contain 0.1% BSA. |
Protocols
| Product Specific Protocols | |
|---|---|
| IHC protocol for CAMLG antibody 23327-1-AP | Download protocol |
| WB protocol for CAMLG antibody 23327-1-AP | Download protocol |
| Standard Protocols | |
|---|---|
| Click here to view our Standard Protocols |
Reviews
The reviews below have been submitted by verified Proteintech customers who received an incentive for providing their feedback.
FH WEI (Verified Customer) (06-28-2020) | Sharp band at predicted size.
|















