Tested Applications
| Positive WB detected in | HeLa cells, HL-60 cells, mouse heart tissue, rat heart tissue, rat lung tissue |
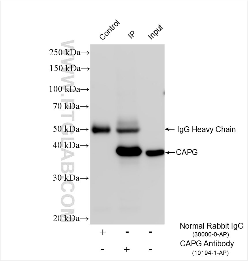
| Positive IP detected in | HeLa cells, mouse heart tissue |
| Positive IHC detected in | human prostate cancer tissue, human tonsillitis tissue, human lung cancer tissue Note: suggested antigen retrieval with TE buffer pH 9.0; (*) Alternatively, antigen retrieval may be performed with citrate buffer pH 6.0 |
Recommended dilution
| Application | Dilution |
|---|---|
| Western Blot (WB) | WB : 1:1000-1:6000 |
| Immunoprecipitation (IP) | IP : 0.5-4.0 ug for 1.0-3.0 mg of total protein lysate |
| Immunohistochemistry (IHC) | IHC : 1:50-1:500 |
| It is recommended that this reagent should be titrated in each testing system to obtain optimal results. | |
| Sample-dependent, Check data in validation data gallery. | |
Published Applications
| KD/KO | See 3 publications below |
| WB | See 22 publications below |
| IHC | See 3 publications below |
| IF | See 4 publications below |
Product Information
10194-1-AP targets CAPG in WB, IHC, IF, IP, ELISA applications and shows reactivity with human, mouse, rat samples.
| Tested Reactivity | human, mouse, rat |
| Cited Reactivity | human, mouse, rat |
| Host / Isotype | Rabbit / IgG |
| Class | Polyclonal |
| Type | Antibody |
| Immunogen |
CatNo: Ag0248 Product name: Recombinant human CAPG protein Source: e coli.-derived, PGEX-4T Tag: GST Domain: 62-348 aa of BC000728 Sequence: HLWIGQQSSRDEQGACAVLAVHLNTLLGERPVQHREVQGNESDLFMSYFPRGLKYQEGGVESAFHKTSTGAPAAIKKLYQVKGKKNIRATERALNWDSFNTGDCFILDLGQNIFAWCGGKSNILERNKARDLALAIRDSERQGKAQVEIVTDGEEPAEMIQVLGPKPALKEGNPEEDLTADKANAQAAALYKVSDATGQMNLTKVADSSPFALELLISDDCFVLDNGLCGKIYIWKGRKANEKERQAALQVAEGFISRMQYAPNTQVEILPQGRESPIFKQFFKDWK Predict reactive species |
| Full Name | capping protein (actin filament), gelsolin-like |
| Calculated Molecular Weight | 39 kDa |
| Observed Molecular Weight | 39-42 kDa |
| GenBank Accession Number | BC000728 |
| Gene Symbol | CAPG |
| Gene ID (NCBI) | 822 |
| RRID | AB_2069179 |
| Conjugate | Unconjugated |
| Form | Liquid |
| Purification Method | Antigen affinity purification |
| UNIPROT ID | P40121 |
| Storage Buffer | PBS with 0.02% sodium azide and 50% glycerol, pH 7.3. |
| Storage Conditions | Store at -20°C. Stable for one year after shipment. Aliquoting is unnecessary for -20oC storage. 20ul sizes contain 0.1% BSA. |
Background Information
CapG (gelsolin-like actin-capping protein) is a member of the gelsolin superfamily proteins, which regulates actin filament length by capping or severing filaments. Studies have shown a role for CapG in regulating cell motility. The expression of CapG is upregulated under hypoxia and in turn increases the motility of cells. Recently it has been reported that the overexpression of CapG is associated with the progression of lung adenocarcinoma as well as lyphatic invasion status of cholangiocarcinoma, which may be used for prognosis of these tumors.(21908955,22155129)
Protocols
| Product Specific Protocols | |
|---|---|
| IHC protocol for CAPG antibody 10194-1-AP | Download protocol |
| IP protocol for CAPG antibody 10194-1-AP | Download protocol |
| WB protocol for CAPG antibody 10194-1-AP | Download protocol |
| Standard Protocols | |
|---|---|
| Click here to view our Standard Protocols |
Publications
| Species | Application | Title |
|---|---|---|
Mol Cell Proteomics Quantitative protein and mRNA profiling shows selective post-transcriptional control of protein expression by vasopressin in kidney cells. | ||
J Proteome Res Laser microdissection and two-dimensional difference gel electrophoresis reveal the role of a novel macrophage-capping protein in lymph node metastasis in gastric cancer. | ||
Clin Proteomics Differential proteomic analysis of synovial fluid from rheumatoid arthritis and osteoarthritis patients. | ||
Am J Respir Cell Mol Biol Up-regulation of two actin-associated proteins prompts pulmonary artery smooth muscle cell migration under hypoxia.
| ||
J Mol Cell Cardiol Exogenous extracellular matrix proteins decrease cardiac fibroblast activation in stiffening microenvironment through CAPG.
|

















