Tested Applications
| Positive WB detected in | JAR cells, human placenta tissue, mouse testis tissue, rat testis tissue |
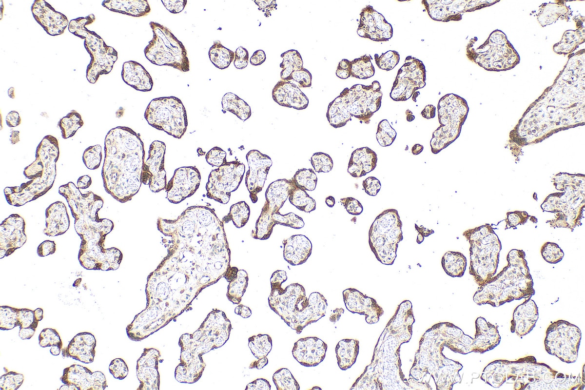
| Positive IHC detected in | human placenta tissue, human breast cancer tissue Note: suggested antigen retrieval with TE buffer pH 9.0; (*) Alternatively, antigen retrieval may be performed with citrate buffer pH 6.0 |
Recommended dilution
| Application | Dilution |
|---|---|
| Western Blot (WB) | WB : 1:2000-1:12000 |
| Immunohistochemistry (IHC) | IHC : 1:500-1:2000 |
| It is recommended that this reagent should be titrated in each testing system to obtain optimal results. | |
| Sample-dependent, Check data in validation data gallery. | |
Published Applications
| KD/KO | See 2 publications below |
| WB | See 15 publications below |
| IHC | See 2 publications below |
| IF | See 6 publications below |
Product Information
11615-1-AP targets hCG Beta in WB, IHC, IF, ELISA applications and shows reactivity with human, mouse, rat samples.
| Tested Reactivity | human, mouse, rat |
| Cited Reactivity | human |
| Host / Isotype | Rabbit / IgG |
| Class | Polyclonal |
| Type | Antibody |
| Immunogen |
CatNo: Ag2191 Product name: Recombinant human CGB,hCG protein Source: e coli.-derived, PGEX-4T Tag: GST Domain: 1-165 aa of BC022796 Sequence: MEMFQGLLLLLLLSMGGTWASKEPLRPRCRPINATLAVEKEGCPVCITVNTTICAGYCPTMTRVLQGVLPALPQVVCNYRDVRFESIRLPGCPRGVNPVVSYAVALSCQCALCRRSTTDCGGPKDHPLTCDDPRFQDSSSSKAPPPSLPSPSRLPGPSDTPILPQ Predict reactive species |
| Full Name | CG beta |
| Calculated Molecular Weight | 165 aa, 18 kDa |
| GenBank Accession Number | BC022796 |
| Gene Symbol | hCG Beta |
| Gene ID (NCBI) | 1082 |
| RRID | AB_2877783 |
| Conjugate | Unconjugated |
| Form | Liquid |
| Purification Method | Antigen affinity purification |
| UNIPROT ID | P0DN86 |
| Storage Buffer | PBS with 0.02% sodium azide and 50% glycerol, pH 7.3. |
| Storage Conditions | Store at -20°C. Stable for one year after shipment. Aliquoting is unnecessary for -20oC storage. 20ul sizes contain 0.1% BSA. |
Background Information
Beta-hCG (beta-human chorionic gonadotropin) is a glycoprotein hormone produced by the placenta during pregnancy. It is a critical marker used in both obstetrics and oncology for various diagnostic and monitoring purposes. hCG is composed of two subunits: an alpha subunit (similar to other glycoprotein hormones like LH, FSH, and TSH) and a unique beta subunit (β-hCG). The beta subunit is the primary focus for diagnostic tests due to its specificity. β-hCG is initially secreted by the syncytiotrophoblast cells surrounding the developing embryo and later by the placenta.
Protocols
| Product Specific Protocols | |
|---|---|
| IHC protocol for hCG Beta antibody 11615-1-AP | Download protocol |
| WB protocol for hCG Beta antibody 11615-1-AP | Download protocol |
| Standard Protocols | |
|---|---|
| Click here to view our Standard Protocols |
Publications
| Species | Application | Title |
|---|---|---|
J Transl Med STK40 inhibits trophoblast fusion by mediating COP1 ubiquitination to degrade P57Kip2 | ||
iScience Demethylase FTO-mediated m6A modification of SIK1 modulates placental cytotrophoblast syncytialization in type 2 diabetes mellitus | ||
EBioMedicine Molecular mechanisms underlying altered neurobehavioural development of female offspring of mothers with polycystic ovary syndrome: FOS-mediated regulation of neurotrophins in placenta. | ||
Cell Signal Hypermethylation and low expression of FOXM1 predisposes women to unexplained recurrent miscarriage by impairing trophoblast stem cell proliferation | ||
Mol Cell Endocrinol Activation of G protein-coupled estrogen receptor stimulates placental human chorionic gonadotropin expression through PKA-CREB signaling | ||
Biomolecules Calnexin Is Involved in Forskolin-Induced Syncytialization in Cytotrophoblast Model BeWo Cells |











