Tested Applications
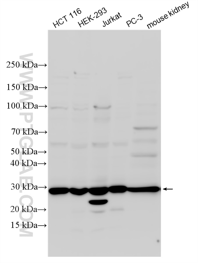
| Positive WB detected in | HCT 116 cells, human brain tissue, human kidney tissue, rat kidney tissue, HEK-293 cells, Jurkat cells, PC-3 cells, mouse kidney tissue |
| Positive IF/ICC detected in | HepG2 cells |
Recommended dilution
| Application | Dilution |
|---|---|
| Western Blot (WB) | WB : 1:1000-1:4000 |
| Immunofluorescence (IF)/ICC | IF/ICC : 1:10-1:100 |
| It is recommended that this reagent should be titrated in each testing system to obtain optimal results. | |
| Sample-dependent, Check data in validation data gallery. | |
Product Information
16593-1-AP targets IMPA1 in WB, IF/ICC, ELISA applications and shows reactivity with human, mouse, rat samples.
| Tested Reactivity | human, mouse, rat |
| Host / Isotype | Rabbit / IgG |
| Class | Polyclonal |
| Type | Antibody |
| Immunogen |
CatNo: Ag9632 Product name: Recombinant human IMPA1 protein Source: e coli.-derived, PET28a Tag: 6*His Domain: 1-277 aa of BC008381 Sequence: MADPWQECMDYAVTLARQAGEVVCEAIKNEMNVMLKSSPVDLVTATDQKVEKMLISSIKEKYPSHSFIGEESVAAGEKSILTDNPTWIIDPIDGTTNFVHRFPFVAVSIGFAVNKKIEFGVVYSCVEGKMYTARKGKGAFCNGQKLQVSQQEDITKSLLVTELGSSRTPETVRMVLSNMEKLFCIPVHGIRSVGTAAVNMCLVATGGADAYYEMGIHCWDVAGAGIIVTEAGGVLMDVTGGPFDLMSRRVIAANNRILAERIAKEIQVIPLQRDDED Predict reactive species |
| Full Name | inositol(myo)-1(or 4)-monophosphatase 1 |
| Calculated Molecular Weight | 277 aa, 30 kDa |
| Observed Molecular Weight | 30 kDa |
| GenBank Accession Number | BC008381 |
| Gene Symbol | IMPA1 |
| Gene ID (NCBI) | 3612 |
| RRID | AB_2127216 |
| Conjugate | Unconjugated |
| Form | Liquid |
| Purification Method | Antigen affinity purification |
| UNIPROT ID | P29218 |
| Storage Buffer | PBS with 0.02% sodium azide and 50% glycerol, pH 7.3. |
| Storage Conditions | Store at -20°C. Stable for one year after shipment. Aliquoting is unnecessary for -20oC storage. 20ul sizes contain 0.1% BSA. |
Background Information
IMPA1 is an enzyme that dephosphorylates myo-inositol monophosphate to generate free myo-inositol, a precursor of phosphatidylinositol, and is therefore an important modulator of intracellular signal transduction via the production of the second messengers myoinositol 1,4,5-trisphosphate and diacylglycerol.
Protocols
| Product Specific Protocols | |
|---|---|
| IF protocol for IMPA1 antibody 16593-1-AP | Download protocol |
| WB protocol for IMPA1 antibody 16593-1-AP | Download protocol |
| Standard Protocols | |
|---|---|
| Click here to view our Standard Protocols |









