Tested Applications
| Positive WB detected in | COLO 320 cells, HEK-293 cells, HeLa cells, Caco-2 cells |
| Positive IP detected in | HEK-293 cells |
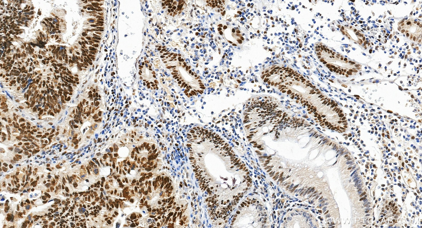
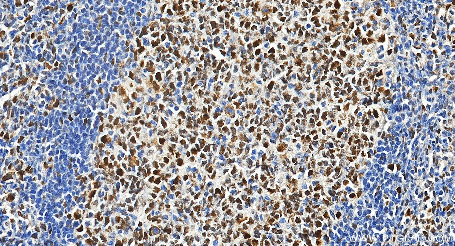
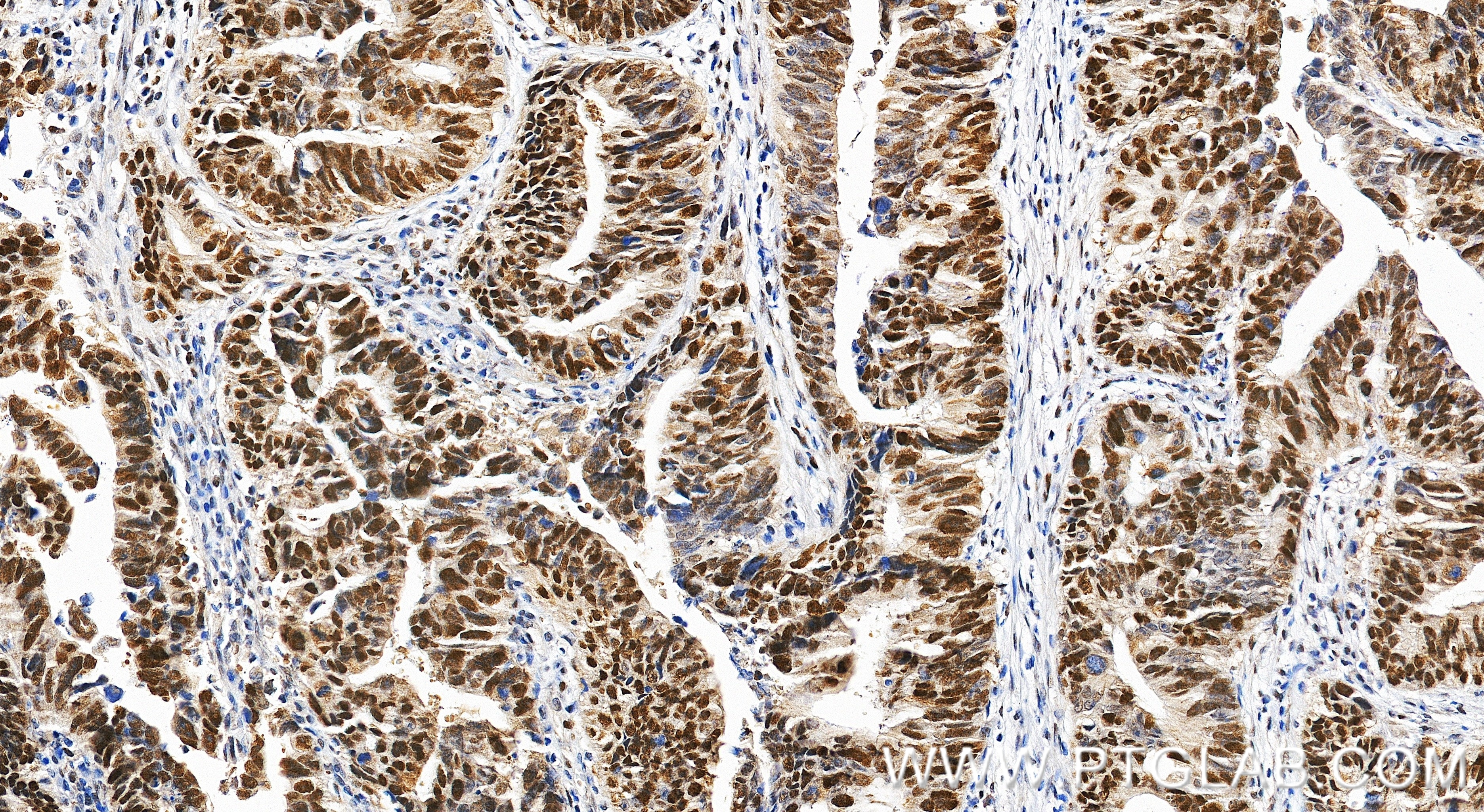
| Positive IHC detected in | human tonsillitis tissue, human colon cancer tissue Note: suggested antigen retrieval with TE buffer pH 9.0; (*) Alternatively, antigen retrieval may be performed with citrate buffer pH 6.0 |
| Positive IF/ICC detected in | HeLa cells |
Recommended dilution
| Application | Dilution |
|---|---|
| Western Blot (WB) | WB : 1:2000-1:12000 |
| Immunoprecipitation (IP) | IP : 0.5-4.0 ug for 1.0-3.0 mg of total protein lysate |
| Immunohistochemistry (IHC) | IHC : 1:1000-1:4000 |
| Immunofluorescence (IF)/ICC | IF/ICC : 1:200-1:800 |
| It is recommended that this reagent should be titrated in each testing system to obtain optimal results. | |
| Sample-dependent, Check data in validation data gallery. | |
Published Applications
| KD/KO | See 1 publications below |
| WB | See 12 publications below |
| IHC | See 4 publications below |
| IF | See 3 publications below |
| IP | See 1 publications below |
Product Information
18120-1-AP targets MSH6 in WB, IHC, IF/ICC, IP, ELISA applications and shows reactivity with human, mouse, rat samples.
| Tested Reactivity | human, mouse, rat |
| Cited Reactivity | human, mouse |
| Host / Isotype | Rabbit / IgG |
| Class | Polyclonal |
| Type | Antibody |
| Immunogen |
CatNo: Ag12645 Product name: Recombinant human MSH6 protein Source: e coli.-derived, PET28a Tag: 6*His Domain: 1-400 aa of BC004246 Sequence: MSRQSTLYSFFPKSPALSDANKASARASREGGRAAAAPGASPSPGGDAAWSEAGPGPRPLARSASPPKAKNLNGGLRRSVAPAAPTSCDFSPGDLVWAKMEGYPWWPCLVYNHPFDGTFIREKGKSVRVHVQFFDDSPTRGWVSKRLLKPYTGSKSKEAQKGGHFYSAKPEILRAMQRADEALNKDKIKRLELAVCDEPSEPEEEEEMEVGTTYVTDKSEEDNEIESEEEVQPKTQGSRRSSRQIKKRRVISDSESDIGGSDVEFKPDTKEEGSSDEISSGVGDSESEGLNSPVKVARKRKRMVTGNGSLKRKSSRKETPSATKQATSISSETKNTLRAFSAPQNSESQAHVSGGGDDSSRPTVWYHETLEWLKEEKRRDEHRRRPDHPDFDASTLYVPE Predict reactive species |
| Full Name | mutS homolog 6 (E. coli) |
| Calculated Molecular Weight | 153 kDa |
| Observed Molecular Weight | 150-160 kDa |
| GenBank Accession Number | BC004246 |
| Gene Symbol | MSH6 |
| Gene ID (NCBI) | 2956 |
| RRID | AB_2250726 |
| Conjugate | Unconjugated |
| Form | Liquid |
| Purification Method | Antigen affinity purification |
| UNIPROT ID | P52701 |
| Storage Buffer | PBS with 0.02% sodium azide and 50% glycerol, pH 7.3. |
| Storage Conditions | Store at -20°C. Stable for one year after shipment. Aliquoting is unnecessary for -20oC storage. 20ul sizes contain 0.1% BSA. |
Background Information
MSH6, also named as DNA mismatch repair protein Msh6 or GTMBP, is a 1360 amino acid protein, which contains one PWWP domain and belongs to the DNA mismatch repair MutS family. MSH6 localizes in the nucleus and is a component of the post-replicative DNA mismatch repair system. Msh2 and Msh6 form a protein complex required to repair mismatches generated during DNA replication.
Protocols
| Product Specific Protocols | |
|---|---|
| IF protocol for MSH6 antibody 18120-1-AP | Download protocol |
| IHC protocol for MSH6 antibody 18120-1-AP | Download protocol |
| IP protocol for MSH6 antibody 18120-1-AP | Download protocol |
| WB protocol for MSH6 antibody 18120-1-AP | Download protocol |
| Standard Protocols | |
|---|---|
| Click here to view our Standard Protocols |
Publications
| Species | Application | Title |
|---|---|---|
Mol Cancer CircLIFR synergizes with MSH2 to attenuate chemoresistance via MutSα/ATM-p73 axis in bladder cancer. | ||
Commun Biol EZH2 elicits CD8+ T-cell desert in esophageal squamous cell carcinoma via suppressing CXCL9 and dendritic cells | ||
Oncotarget Targeted silencing of SOX2 by an artificial transcription factor showed antitumor effect in lung and esophageal squamous cell carcinoma. | ||
Front Oncol Molecular Classification in Patients With Endometrial Cancer After Fertility-Preserving Treatment: Application of ProMisE Classifier and Combination of Prognostic Evidence. | ||
DNA Cell Biol MSH6 Aggravates the Hypoxic Microenvironment via Regulating HIF1A to Promote the Metastasis of Glioblastoma Multiforme. |



























