Tested Applications
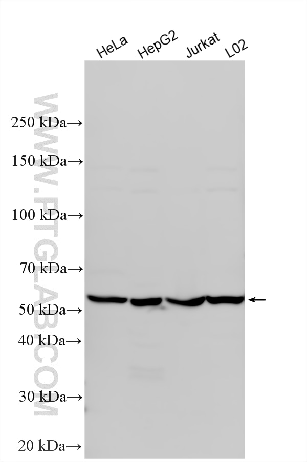
| Positive WB detected in | HeLa cells, HepG2 cells, Jurkat cells, L02 cells |
Recommended dilution
| Application | Dilution |
|---|---|
| Western Blot (WB) | WB : 1:1000-1:6000 |
| It is recommended that this reagent should be titrated in each testing system to obtain optimal results. | |
| Sample-dependent, Check data in validation data gallery. | |
Published Applications
| WB | See 1 publications below |
Product Information
17025-1-AP targets NOC4L in WB, ELISA applications and shows reactivity with human, mouse, rat samples.
| Tested Reactivity | human, mouse, rat |
| Cited Reactivity | human |
| Host / Isotype | Rabbit / IgG |
| Class | Polyclonal |
| Type | Antibody |
| Immunogen |
CatNo: Ag10313 Product name: Recombinant human NOC4L protein Source: e coli.-derived, PET28a Tag: 6*His Domain: 166-516 aa of BC071958 Sequence: LLLSQFREYLDYDDTRYHTMQAAVDAVARVTGQHPEVPPAFWNNAFTLLSAVSLPRREPTVSSFYVKRAELWDTWKVAHLKEHRRVFQAMWLSFLKHKLPLSLYKKVLLIVHDAILPQLAQPTLMIDFLTRACDLGGALSLLALNGLFILIHKHNLEYPDFYRKLYGLLDPSVFHVKYRARFFHLADLFLSSSHLPAYLVAAFAKRLARLALTAPPEALLMVLPFICNLLRRHPACRVLVHRPHGPELDADPYDPGEEDPAQSRALESSLWELQALQRHYHPEVSKAASVINQALSMPEVSIAPLLELTAYEIFERDLKKKGPEPVPLEFIPAQGLLGRPGELCAQHFTLS Predict reactive species |
| Full Name | nucleolar complex associated 4 homolog (S. cerevisiae) |
| Calculated Molecular Weight | 516 aa, 59 kDa |
| Observed Molecular Weight | 59 kDa |
| GenBank Accession Number | BC071958 |
| Gene Symbol | NOC4L |
| Gene ID (NCBI) | 79050 |
| RRID | AB_2235938 |
| Conjugate | Unconjugated |
| Form | Liquid |
| Purification Method | Antigen affinity purification |
| UNIPROT ID | Q9BVI4 |
| Storage Buffer | PBS with 0.02% sodium azide and 50% glycerol, pH 7.3. |
| Storage Conditions | Store at -20°C. Stable for one year after shipment. Aliquoting is unnecessary for -20oC storage. 20ul sizes contain 0.1% BSA. |
Protocols
| Product Specific Protocols | |
|---|---|
| WB protocol for NOC4L antibody 17025-1-AP | Download protocol |
| Standard Protocols | |
|---|---|
| Click here to view our Standard Protocols |

