Tested Applications
| Positive WB detected in | mouse kidney tissue, mouse heart tissue, rat heart tissue |
| Positive IP detected in | mouse kidney tissue |
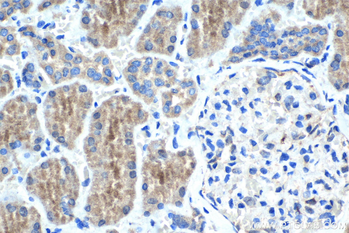
| Positive IHC detected in | human kidney tissue Note: suggested antigen retrieval with TE buffer pH 9.0; (*) Alternatively, antigen retrieval may be performed with citrate buffer pH 6.0 |
Recommended dilution
| Application | Dilution |
|---|---|
| Western Blot (WB) | WB : 1:500-1:1000 |
| Immunoprecipitation (IP) | IP : 0.5-4.0 ug for 1.0-3.0 mg of total protein lysate |
| Immunohistochemistry (IHC) | IHC : 1:200-1:1000 |
| It is recommended that this reagent should be titrated in each testing system to obtain optimal results. | |
| Sample-dependent, Check data in validation data gallery. | |
Published Applications
| KD/KO | See 3 publications below |
| WB | See 16 publications below |
| IF | See 1 publications below |
| IP | See 1 publications below |
Product Information
11638-1-AP targets NPLOC4 in WB, IHC, IF, IP, ELISA applications and shows reactivity with human, mouse, rat samples.
| Tested Reactivity | human, mouse, rat |
| Cited Reactivity | human, mouse |
| Host / Isotype | Rabbit / IgG |
| Class | Polyclonal |
| Type | Antibody |
| Immunogen |
CatNo: Ag2219 Product name: Recombinant human NPLOC4 protein Source: e coli.-derived, T-HIS Tag: 6*His Domain: 261-608 aa of BC025930 Sequence: DIPLGIRAEVAAIYEPPQIGTQNSLELLEDPKAEVVDEIAAKLGLRKVGWIFTDLVSEDTRKGTVRYSRNKDTYFLSSEECITAGDFQNKHPNMCRLSPDGHFGSKFVTAVATGGPDNQVHFEGYQVSNQCMALVRDECLLPCKDAPELGYAKESSSEQYVPDVFYKDVDKFGNEITQLARPLPVEYLIIDITTTFPKDPVYTFSISQNPFPIENRDVLGETQDFHSLATYLSQNTSSVFLDTISDFHLLLFLVTNEVMPLQDSISLLLEAVRTRNEELAQTWKRSEQWATIEQLCSTVGGQLPGLHEYGAVGGSTHTATAAMWACQHCTFMNQPGTGHCEMCSLPRT Predict reactive species |
| Full Name | nuclear protein localization 4 homolog (S. cerevisiae) |
| Calculated Molecular Weight | 608 aa, 68 kDa |
| Observed Molecular Weight | 68 kDa |
| GenBank Accession Number | BC025930 |
| Gene Symbol | NPLOC4 |
| Gene ID (NCBI) | 55666 |
| RRID | AB_10597107 |
| Conjugate | Unconjugated |
| Form | Liquid |
| Purification Method | Antigen affinity purification |
| UNIPROT ID | Q8TAT6 |
| Storage Buffer | PBS with 0.02% sodium azide and 50% glycerol, pH 7.3. |
| Storage Conditions | Store at -20°C. Stable for one year after shipment. Aliquoting is unnecessary for -20oC storage. 20ul sizes contain 0.1% BSA. |
Protocols
| Product Specific Protocols | |
|---|---|
| IHC protocol for NPLOC4 antibody 11638-1-AP | Download protocol |
| IP protocol for NPLOC4 antibody 11638-1-AP | Download protocol |
| WB protocol for NPLOC4 antibody 11638-1-AP | Download protocol |
| Standard Protocols | |
|---|---|
| Click here to view our Standard Protocols |
Publications
| Species | Application | Title |
|---|---|---|
Science Ubiquitination of G3BP1 mediates stress granule disassembly in a context-specific manner. | ||
Mater Today Bio A thermosensitive hydrogel with synergistic stromal targeting and antitumor immunity modulation for pancreatic cancer immunotherapy | ||
Sci Signal TRIM55 promotes noncanonical NF-κB signaling and B cell-mediated immune responses by coordinating p100 ubiquitination and processing | ||
J Biol Chem Pathogenic mutations in the Valosin-containing protein/p97(VCP) N-domain inhibit the SUMOylation of VCP and lead to impaired stress response. | ||
Mol Cell Biol The VCP-UBXN1 complex mediates triage of ubiquitylated cytosolic proteins bound to the BAG6 complex.
|











