Tested Applications
| Positive WB detected in | HEK-293T cells, HeLa cells, human colon tissue, HepG2 cells |
| Positive IP detected in | HEK-293T cells |
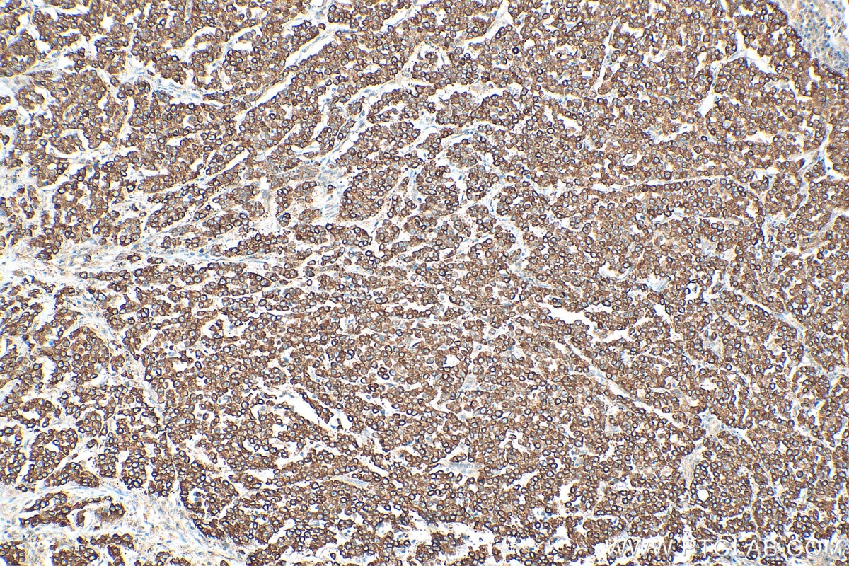
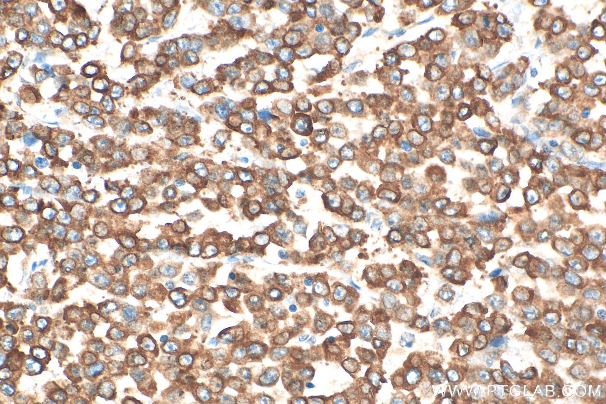
| Positive IHC detected in | human colon tissue, human colon cancer tissue, human kidney tissue Note: suggested antigen retrieval with TE buffer pH 9.0; (*) Alternatively, antigen retrieval may be performed with citrate buffer pH 6.0 |
| Positive IF/ICC detected in | U-251 cells |
Recommended dilution
| Application | Dilution |
|---|---|
| Western Blot (WB) | WB : 1:500-1:1000 |
| Immunoprecipitation (IP) | IP : 0.5-4.0 ug for 1.0-3.0 mg of total protein lysate |
| Immunohistochemistry (IHC) | IHC : 1:50-1:500 |
| Immunofluorescence (IF)/ICC | IF/ICC : 1:50-1:500 |
| It is recommended that this reagent should be titrated in each testing system to obtain optimal results. | |
| Sample-dependent, Check data in validation data gallery. | |
Published Applications
| KD/KO | See 2 publications below |
| WB | See 4 publications below |
| IHC | See 1 publications below |
| IF | See 2 publications below |
| CoIP | See 1 publications below |
Product Information
10999-1-AP targets RAB32 in WB, IHC, IF/ICC, IP, CoIP, ELISA applications and shows reactivity with human samples.
| Tested Reactivity | human |
| Cited Reactivity | human, mouse |
| Host / Isotype | Rabbit / IgG |
| Class | Polyclonal |
| Type | Antibody |
| Immunogen |
CatNo: Ag1450 Product name: Recombinant human RAB32 protein Source: e coli.-derived, PGEX-4T Tag: GST Domain: 1-225 aa of BC015061 Sequence: MAGGGAGDPGLGAAAAPAPETREHLFKVLVIGELGVGKTSIIKRYVHQLFSQHYRATIGVDFALKVLNWDSRTLVRLQLWDIAGQERFGNMTRVYYKEAVGAFVVFDISRSSTFEAVLKWKSDLDSKVHLPNGSPIPAVLLANKCDQNKDSSQSPSQVDQFCKEHGFAGWFETSAKDNINIEEAARFLVEKILVNHQSFPNEENDVDKIKLDQETLRAENKSQCC Predict reactive species |
| Full Name | RAB32, member RAS oncogene family |
| Calculated Molecular Weight | 25 kDa |
| Observed Molecular Weight | 25-28 kDa |
| GenBank Accession Number | BC015061 |
| Gene Symbol | RAB32 |
| Gene ID (NCBI) | 10981 |
| RRID | AB_2177047 |
| Conjugate | Unconjugated |
| Form | Liquid |
| Purification Method | Antigen affinity purification |
| UNIPROT ID | Q13637 |
| Storage Buffer | PBS with 0.02% sodium azide and 50% glycerol, pH 7.3. |
| Storage Conditions | Store at -20°C. Stable for one year after shipment. Aliquoting is unnecessary for -20oC storage. 20ul sizes contain 0.1% BSA. |
Protocols
| Product Specific Protocols | |
|---|---|
| IF protocol for RAB32 antibody 10999-1-AP | Download protocol |
| IHC protocol for RAB32 antibody 10999-1-AP | Download protocol |
| IP protocol for RAB32 antibody 10999-1-AP | Download protocol |
| WB protocol for RAB32 antibody 10999-1-AP | Download protocol |
| Standard Protocols | |
|---|---|
| Click here to view our Standard Protocols |
Publications
| Species | Application | Title |
|---|---|---|
Cell Death Dis Rab32 promotes glioblastoma migration and invasion via regulation of ERK/Drp1-mediated mitochondrial fission
| ||
Cell Rep Targeting UGCG sensitizes AML cells to venetoclax through RAB32-mediated endoplasmic reticulum-mitochondria communication | ||
mSphere Burkholderia pseudomallei BopE suppresses the Rab32-dependent defense pathway to promote its intracellular replication and virulence
| ||
J Cell Biol LYSMD proteins promote activation of Rab32-family GTPases for lysosome-related organelle biogenesis |
Reviews
The reviews below have been submitted by verified Proteintech customers who received an incentive for providing their feedback.
FH deng (Verified Customer) (01-31-2025) | The antibody detects human endogenous Rab32.
![]() |






















