Tested Applications
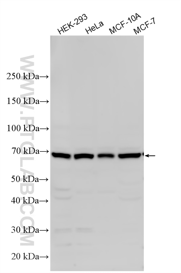
| Positive WB detected in | HEK-293 cells, mouse brain tissue, HeLa cells, MCF-10A cells, MCF-7 cells |
| Positive IHC detected in | human colon tissue Note: suggested antigen retrieval with TE buffer pH 9.0; (*) Alternatively, antigen retrieval may be performed with citrate buffer pH 6.0 |
| Positive IF/ICC detected in | HepG2 cells |
Recommended dilution
| Application | Dilution |
|---|---|
| Western Blot (WB) | WB : 1:500-1:2000 |
| Immunohistochemistry (IHC) | IHC : 1:20-1:200 |
| Immunofluorescence (IF)/ICC | IF/ICC : 1:20-1:200 |
| It is recommended that this reagent should be titrated in each testing system to obtain optimal results. | |
| Sample-dependent, Check data in validation data gallery. | |
Product Information
25729-1-AP targets SERAC1 in WB, IHC, IF/ICC, ELISA applications and shows reactivity with human, mouse samples.
| Tested Reactivity | human, mouse |
| Host / Isotype | Rabbit / IgG |
| Class | Polyclonal |
| Type | Antibody |
| Immunogen |
CatNo: Ag22790 Product name: Recombinant human SERAC1 protein Source: e coli.-derived, PET28a Tag: 6*His Domain: 1-162 aa of BC001705 Sequence: MSLAAYCVICCRRIGTSTSPPKSGTHWRDIRNIIKFTGSLILGGSLFLTYEVLALKKAVTLDTQVVEREKMKSYIYVHTVSLDKGENHGIAWQARKELHKAVRKVLATSAKILRNPFADPFSTVDIEDHECAVWLLLRKSKSDDKTTRLEAVREMSETHHWH Predict reactive species |
| Full Name | serine active site containing 1 |
| Calculated Molecular Weight | 654 aa, 74 kDa |
| Observed Molecular Weight | 70-75 kDa |
| GenBank Accession Number | BC001705 |
| Gene Symbol | SERAC1 |
| Gene ID (NCBI) | 84947 |
| RRID | AB_2880213 |
| Conjugate | Unconjugated |
| Form | Liquid |
| Purification Method | Antigen affinity purification |
| UNIPROT ID | Q96JX3 |
| Storage Buffer | PBS with 0.02% sodium azide and 50% glycerol, pH 7.3. |
| Storage Conditions | Store at -20°C. Stable for one year after shipment. Aliquoting is unnecessary for -20oC storage. 20ul sizes contain 0.1% BSA. |
Protocols
| Product Specific Protocols | |
|---|---|
| IF protocol for SERAC1 antibody 25729-1-AP | Download protocol |
| IHC protocol for SERAC1 antibody 25729-1-AP | Download protocol |
| WB protocol for SERAC1 antibody 25729-1-AP | Download protocol |
| Standard Protocols | |
|---|---|
| Click here to view our Standard Protocols |









