Tested Applications
| Positive WB detected in | A2780 cells, K-562 cells, HeLa cells, HEK-293 cells, COLO 320 cells, SKOV-3 cells, HEK-293T cells |
| Positive IP detected in | COLO 320 cells |
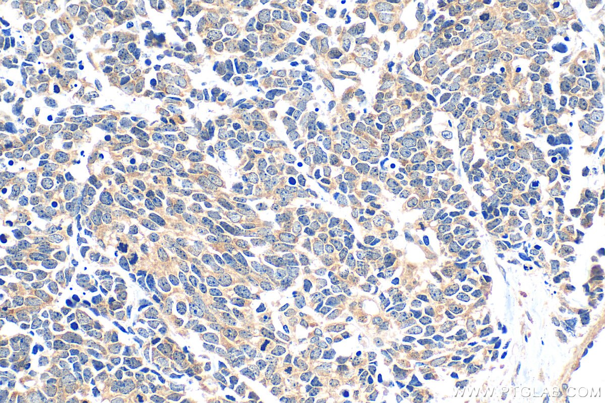
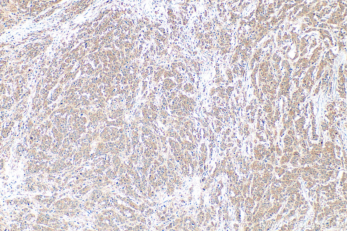
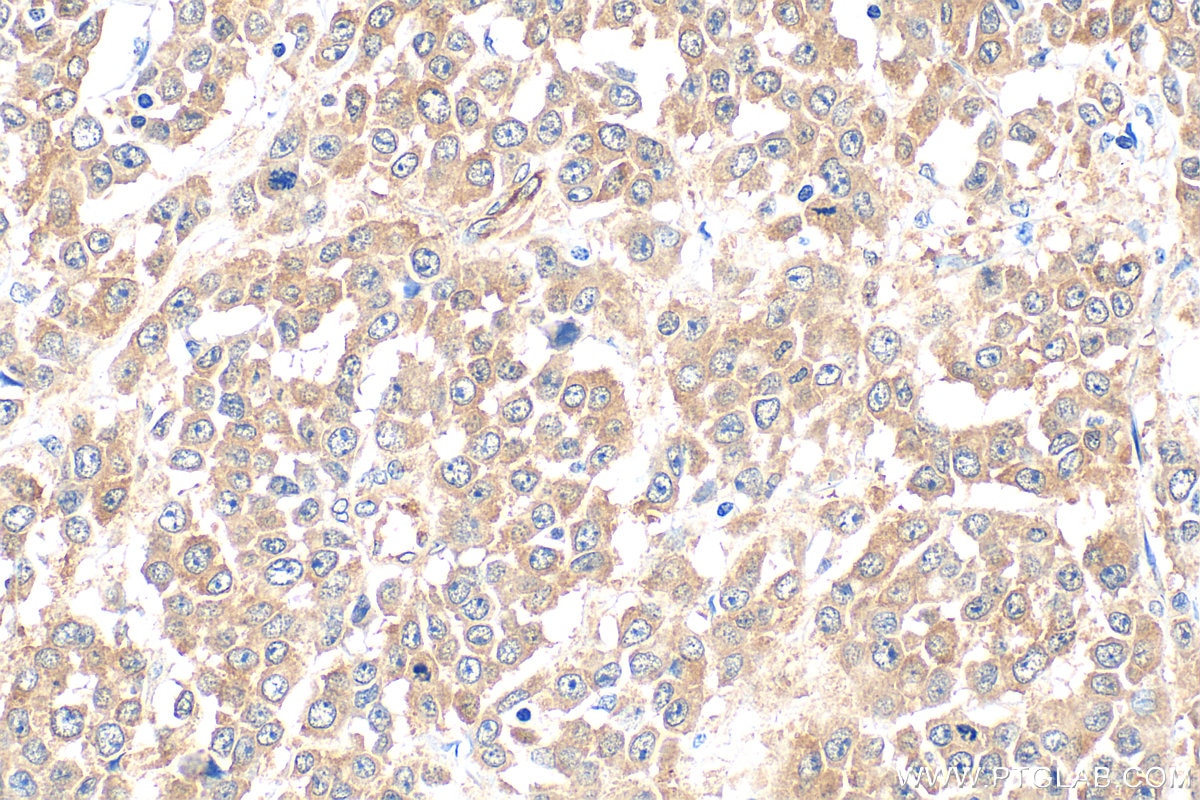
| Positive IHC detected in | human colon cancer tissue, human lung cancer tissue, human stomach tissue Note: suggested antigen retrieval with TE buffer pH 9.0; (*) Alternatively, antigen retrieval may be performed with citrate buffer pH 6.0 |
| Positive IF/ICC detected in | HepG2 cells |
| Positive FC (Intra) detected in | HepG2 cells |
Recommended dilution
| Application | Dilution |
|---|---|
| Western Blot (WB) | WB : 1:500-1:3000 |
| Immunoprecipitation (IP) | IP : 0.5-4.0 ug for 1.0-3.0 mg of total protein lysate |
| Immunohistochemistry (IHC) | IHC : 1:250-1:1000 |
| Immunofluorescence (IF)/ICC | IF/ICC : 1:200-1:800 |
| Flow Cytometry (FC) (INTRA) | FC (INTRA) : 0.40 ug per 10^6 cells in a 100 µl suspension |
| It is recommended that this reagent should be titrated in each testing system to obtain optimal results. | |
| Sample-dependent, Check data in validation data gallery. | |
Published Applications
| WB | See 3 publications below |
| IHC | See 1 publications below |
| IP | See 1 publications below |
| ChIP | See 1 publications below |
Product Information
14608-1-AP targets PKN2 in WB, IHC, IF/ICC, FC (Intra), IP, ChIP, ELISA applications and shows reactivity with human samples.
| Tested Reactivity | human |
| Cited Reactivity | human, mouse, pig |
| Host / Isotype | Rabbit / IgG |
| Class | Polyclonal |
| Type | Antibody |
| Immunogen |
CatNo: Ag6164 Product name: Recombinant human PKN2 protein Source: e coli.-derived, PGEX-4T Tag: GST Domain: 1-60 aa of BC062620 Sequence: MDKKVKPPFIPTIRGREDVSNFDDEFTSEAPILTPPREPRILSEEEQEMFRDFDYIADWC Predict reactive species |
| Full Name | protein kinase N2 |
| Calculated Molecular Weight | 112 kDa |
| Observed Molecular Weight | 130 kDa |
| GenBank Accession Number | BC062620 |
| Gene Symbol | PKN2 |
| Gene ID (NCBI) | 5586 |
| RRID | AB_10638487 |
| Conjugate | Unconjugated |
| Form | Liquid |
| Purification Method | Antigen affinity purification |
| UNIPROT ID | Q16513 |
| Storage Buffer | PBS with 0.02% sodium azide and 50% glycerol, pH 7.3. |
| Storage Conditions | Store at -20°C. Stable for one year after shipment. Aliquoting is unnecessary for -20oC storage. 20ul sizes contain 0.1% BSA. |
Protocols
| Product Specific Protocols | |
|---|---|
| FC protocol for PKN2 antibody 14608-1-AP | Download protocol |
| IF protocol for PKN2 antibody 14608-1-AP | Download protocol |
| IHC protocol for PKN2 antibody 14608-1-AP | Download protocol |
| IP protocol for PKN2 antibody 14608-1-AP | Download protocol |
| WB protocol for PKN2 antibody 14608-1-AP | Download protocol |
| Standard Protocols | |
|---|---|
| Click here to view our Standard Protocols |
Publications
| Species | Application | Title |
|---|---|---|
Cancer Cell Int Upregulation of SNTB1 correlates with poor prognosis and promotes cell growth by negative regulating PKN2 in colorectal cancer | ||
Reprod Domest Anim miR-26a inhibits proliferation and promotes apoptosis in porcine immature Sertoli cells by targeting the PAK2 gene. | ||
Mol Med PKN2 enhances the immunosuppressive activity of polymorphonuclear myeloid-derived suppressor cells in esophageal carcinoma by mediating fatty acid oxidation | ||
Adv Sci (Weinh) TRIM40 Drives Pathological Cardiac Hypertrophy and Heart Failure via Ubiquitination of PKN2. |



























