APC2 Rekombinanter Antikörper
APC2 Rekombinant Antikörper für WB, ELISA
Wirt / Isotyp
Kaninchen / IgG
Getestete Reaktivität
human, Maus, Ratte
Anwendung
WB, ELISA
Konjugation
Unkonjugiert
CloneNo.
251579C7
Kat-Nr. : 86653-1-RR
Synonyme
Geprüfte Anwendungen
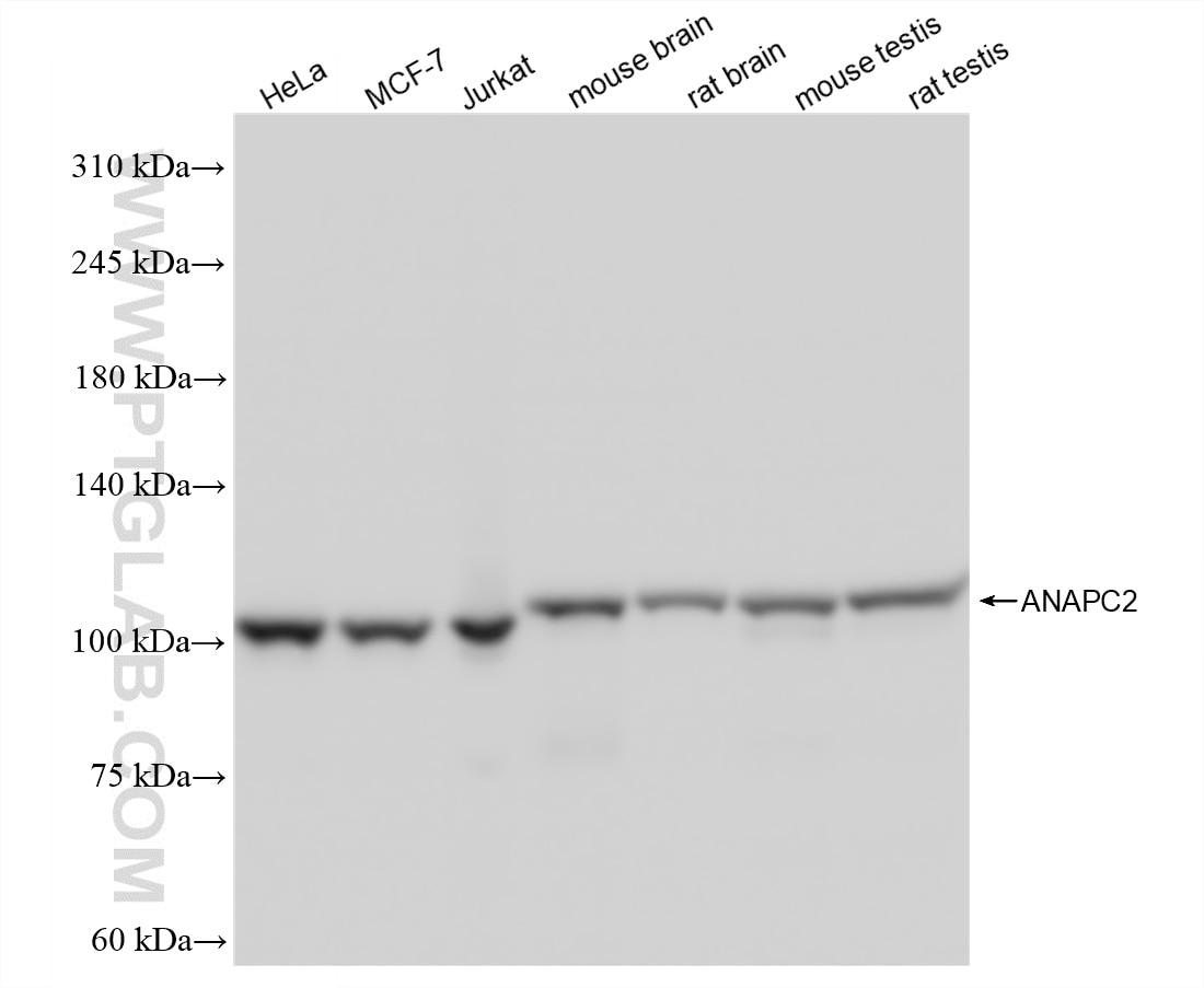
| Erfolgreiche Detektion in WB | HeLa-Zellen, Jurkat-Zellen, MCF-7-Zellen, Maushirngewebe, Maushodengewebe, Rattenhirngewebe, Rattenhodengewebe |
Empfohlene Verdünnung
| Anwendung | Verdünnung |
|---|---|
| Western Blot (WB) | WB : 1:5000-1:50000 |
| It is recommended that this reagent should be titrated in each testing system to obtain optimal results. | |
| Sample-dependent, check data in validation data gallery | |
Produktinformation
86653-1-RR bindet in WB, ELISA APC2 und zeigt Reaktivität mit human, Maus, Ratten
| Getestete Reaktivität | human, Maus, Ratte |
| Wirt / Isotyp | Kaninchen / IgG |
| Klonalität | Rekombinant |
| Typ | Antikörper |
| Immunogen | APC2 fusion protein Ag4427 |
| Vollständiger Name | anaphase promoting complex subunit 2 |
| Berechnetes Molekulargewicht | 822 aa, 94 kDa |
| Beobachtetes Molekulargewicht | 100 kDa |
| GenBank-Zugangsnummer | BC032503 |
| Gene symbol | APC2 |
| Gene ID (NCBI) | 29882 |
| Konjugation | Unkonjugiert |
| Form | Liquid |
| Reinigungsmethode | Protein-A-Reinigung |
| Lagerungspuffer | PBS with 0.02% sodium azide and 50% glycerol |
| Lagerungsbedingungen | Bei -20°C lagern. Nach dem Versand ein Jahr lang stabil Aliquotieren ist bei -20oC Lagerung nicht notwendig. 20ul Größen enthalten 0,1% BSA. |
Protokolle
| PRODUKTSPEZIFISCHE PROTOKOLLE | |
|---|---|
| WB protocol for APC2 antibody 86653-1-RR | Protokoll herunterladen |
| STANDARD-PROTOKOLLE | |
|---|---|
| Klicken Sie hier, um unsere Standardprotokolle anzuzeigen |


