CD31 Rekombinanter Antikörper
CD31 Rekombinant Antikörper für WB, IHC, IF/ICC, ELISA
Wirt / Isotyp
Kaninchen / IgG
Getestete Reaktivität
human
Anwendung
WB, IHC, IF/ICC, ELISA
Konjugation
Unkonjugiert
CloneNo.
251101C9
Kat-Nr. : 80773-4-RR
Synonyme
Geprüfte Anwendungen
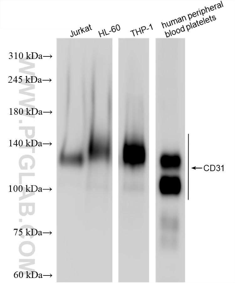
| Erfolgreiche Detektion in WB | Jurkat-Zellen, HL-60-Zellen, THP-1-Zellen |
| Erfolgreiche Detektion in IHC | humanes Tonsillitisgewebe, humanes Plazenta-Gewebe Hinweis: Antigendemaskierung mit TE-Puffer pH 9,0 empfohlen. (*) Wahlweise kann die Antigendemaskierung auch mit Citratpuffer pH 6,0 erfolgen. |
| Erfolgreiche Detektion in IF/ICC | HUVEC-Zellen |
Empfohlene Verdünnung
| Anwendung | Verdünnung |
|---|---|
| Western Blot (WB) | WB : 1:5000-1:50000 |
| Immunhistochemie (IHC) | IHC : 1:500-1:2000 |
| Immunfluoreszenz (IF)/ICC | IF/ICC : 1:400-1:1600 |
| It is recommended that this reagent should be titrated in each testing system to obtain optimal results. | |
| Sample-dependent, check data in validation data gallery | |
Produktinformation
80773-4-RR bindet in WB, IHC, IF/ICC, ELISA CD31 und zeigt Reaktivität mit human
| Getestete Reaktivität | human |
| Wirt / Isotyp | Kaninchen / IgG |
| Klonalität | Rekombinant |
| Typ | Antikörper |
| Immunogen | CD31 fusion protein Eg4658 |
| Vollständiger Name | platelet/endothelial cell adhesion molecule |
| Berechnetes Molekulargewicht | 83 kDa |
| Beobachtetes Molekulargewicht | 100-140 kDa |
| GenBank-Zugangsnummer | NM_000442.5 |
| Gene symbol | CD31 |
| Gene ID (NCBI) | 5175 |
| Konjugation | Unkonjugiert |
| Form | Liquid |
| Reinigungsmethode | Protein-A-Reinigung |
| Lagerungspuffer | PBS with 0.02% sodium azide and 50% glycerol |
| Lagerungsbedingungen | Bei -20°C lagern. Nach dem Versand ein Jahr lang stabil Aliquotieren ist bei -20oC Lagerung nicht notwendig. 20ul Größen enthalten 0,1% BSA. |
Hintergrundinformationen
Platelet endothelial cell adhesion molecule-1 (PECAM-1, CD31) is a member of the immunoglobulin gene superfamily of cell adhesion molecules. CD31 is a transmembrane glycoprotein that is highly expressed on the surface of the endothelium, making up a large portion of its intracellular junctions. PECAM-1 is also present on the surface of hematopoietic cells and immune cells including platelets, monocytes, neutrophils, natural killer cells, megakaryocytes and some types of T-cell (PMID: 9011572). As well as its role in cell-cell adhesion, PECAM-1 functions as a signaling receptor, and is involved in important physiological events such as nitric oxide production, regulation of T-cell immunity and tolerance, leukocyte transendothelial migration and inflammation and angiogenesis (PMID: 21183735; 20978210; 17872453; 20634489).
Protokolle
| PRODUKTSPEZIFISCHE PROTOKOLLE | |
|---|---|
| WB protocol for CD31 antibody 80773-4-RR | Protokoll herunterladen |
| IHC protocol for CD31 antibody 80773-4-RR | Protokoll herunterladenl |
| IF protocol for CD31 antibody 80773-4-RR | Protokoll herunterladen |
| STANDARD-PROTOKOLLE | |
|---|---|
| Klicken Sie hier, um unsere Standardprotokolle anzuzeigen |



