EPOR Polyklonaler Antikörper
EPOR Polyklonal Antikörper für WB, ELISA
Wirt / Isotyp
Kaninchen / IgG
Getestete Reaktivität
human, Maus, Ratte
Anwendung
WB, ELISA
Konjugation
Unkonjugiert
Kat-Nr. : 30766-1-AP
Synonyme
Geprüfte Anwendungen
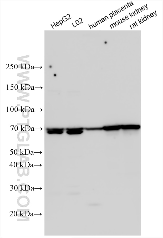
| Erfolgreiche Detektion in WB | HepG2-Zellen, humanes Plazenta-Gewebe, L02-Zellen, Mausnierengewebe, Rattennierengewebe |
Empfohlene Verdünnung
| Anwendung | Verdünnung |
|---|---|
| Western Blot (WB) | WB : 1:1000-1:6000 |
| It is recommended that this reagent should be titrated in each testing system to obtain optimal results. | |
| Sample-dependent, check data in validation data gallery | |
Produktinformation
30766-1-AP bindet in WB, ELISA EPOR und zeigt Reaktivität mit human, Maus, Ratten
| Getestete Reaktivität | human, Maus, Ratte |
| Wirt / Isotyp | Kaninchen / IgG |
| Klonalität | Polyklonal |
| Typ | Antikörper |
| Immunogen | EPOR fusion protein Ag33956 |
| Vollständiger Name | erythropoietin receptor |
| Berechnetes Molekulargewicht | 55 kDa |
| Beobachtetes Molekulargewicht | 70 kDa |
| GenBank-Zugangsnummer | NM_000121.4 |
| Gene symbol | EPOR |
| Gene ID (NCBI) | 2057 |
| Konjugation | Unkonjugiert |
| Form | Liquid |
| Reinigungsmethode | Antigen-Affinitätsreinigung |
| Lagerungspuffer | PBS with 0.02% sodium azide and 50% glycerol |
| Lagerungsbedingungen | Bei -20°C lagern. Nach dem Versand ein Jahr lang stabil Aliquotieren ist bei -20oC Lagerung nicht notwendig. 20ul Größen enthalten 0,1% BSA. |
Hintergrundinformationen
Erythropoietin (EPO) receptor (EPOR) is a glycoprotein that belongs to the type I superfamily of single-transmembrane cytokine receptors. It consists of an extracellular domain that binds to the EPO ligand, a transmembrane domain and an intracellular domain. The interaction of EPO and EPOR triggers the activation of several signaling pathways that induce erythropoiesis, including JAK2/STAT5, PI3K/AKT, and MAPK (PMID: 34281163). EPOR is present on erythroid progenitor cells and has also been detected on a wide variety of non-hematopoietic cells (PMID: 36233351). The calculated molecular weight of EPOR is 55 kDa. EPOR undergoes posttranslational modification and the apparent molecular weight of 66-78 kDa has been reported (PMID: 8943308; 12088257).
Protokolle
| PRODUKTSPEZIFISCHE PROTOKOLLE | |
|---|---|
| WB protocol for EPOR antibody 30766-1-AP | Protokoll herunterladen |
| STANDARD-PROTOKOLLE | |
|---|---|
| Klicken Sie hier, um unsere Standardprotokolle anzuzeigen |
