LRIG3 Polyklonaler Antikörper
LRIG3 Polyklonal Antikörper für WB, IF/ICC, ELISA
Wirt / Isotyp
Kaninchen / IgG
Getestete Reaktivität
human
Anwendung
WB, IF/ICC, ELISA
Konjugation
Unkonjugiert
Kat-Nr. : 33107-1-AP
Synonyme
Geprüfte Anwendungen
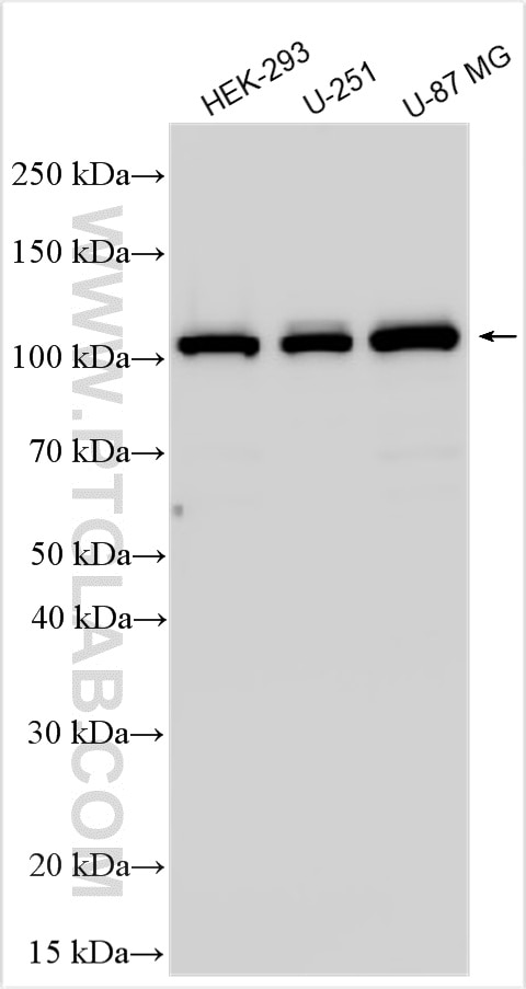
| Erfolgreiche Detektion in WB | HEK-293-Zellen, U-251-Zellen, U-87 MG-Zellen |
| Erfolgreiche Detektion in IF/ICC | U2OS-Zellen |
Empfohlene Verdünnung
| Anwendung | Verdünnung |
|---|---|
| Western Blot (WB) | WB : 1:1000-1:4000 |
| Immunfluoreszenz (IF)/ICC | IF/ICC : 1:50-1:500 |
| It is recommended that this reagent should be titrated in each testing system to obtain optimal results. | |
| Sample-dependent, check data in validation data gallery | |
Produktinformation
33107-1-AP bindet in WB, IF/ICC, ELISA LRIG3 und zeigt Reaktivität mit human
| Getestete Reaktivität | human |
| Wirt / Isotyp | Kaninchen / IgG |
| Klonalität | Polyklonal |
| Typ | Antikörper |
| Immunogen | LRIG3 fusion protein Eg2853 |
| Vollständiger Name | leucine-rich repeats and immunoglobulin-like domains 3 |
| Berechnetes Molekulargewicht | 123 kDa |
| Beobachtetes Molekulargewicht | 117 kDa |
| GenBank-Zugangsnummer | NM_153377.4 |
| Gene symbol | LRIG3 |
| Gene ID (NCBI) | 121227 |
| Konjugation | Unkonjugiert |
| Form | Liquid |
| Reinigungsmethode | Antigen-Affinitätsreinigung |
| Lagerungspuffer | PBS with 0.02% sodium azide and 50% glycerol |
| Lagerungsbedingungen | Bei -20°C lagern. Nach dem Versand ein Jahr lang stabil Aliquotieren ist bei -20oC Lagerung nicht notwendig. 20ul Größen enthalten 0,1% BSA. |
Hintergrundinformationen
LRIG3 is a member of the LRIG family of transmembrane proteins, characterized by leucine-rich repeats and immunoglobulin-like domains. It plays a crucial role in regulating various signaling pathways, including those involved in cell proliferation, differentiation, and immune responses.
Protokolle
| PRODUKTSPEZIFISCHE PROTOKOLLE | |
|---|---|
| WB protocol for LRIG3 antibody 33107-1-AP | Protokoll herunterladen |
| IF protocol for LRIG3 antibody 33107-1-AP | Protokoll herunterladen |
| STANDARD-PROTOKOLLE | |
|---|---|
| Klicken Sie hier, um unsere Standardprotokolle anzuzeigen |

