Podoplanin Rekombinanter Antikörper
Podoplanin Rekombinant Antikörper für WB, IHC, ELISA
Wirt / Isotyp
Kaninchen / IgG
Getestete Reaktivität
human
Anwendung
WB, IHC, ELISA
Konjugation
Unkonjugiert
CloneNo.
251406B11
Kat-Nr. : 86750-2-RR
Synonyme
Geprüfte Anwendungen
| Erfolgreiche Detektion in WB | U2OS-Zellen, HEK-293-Zellen, humanes Plazenta-Gewebe |
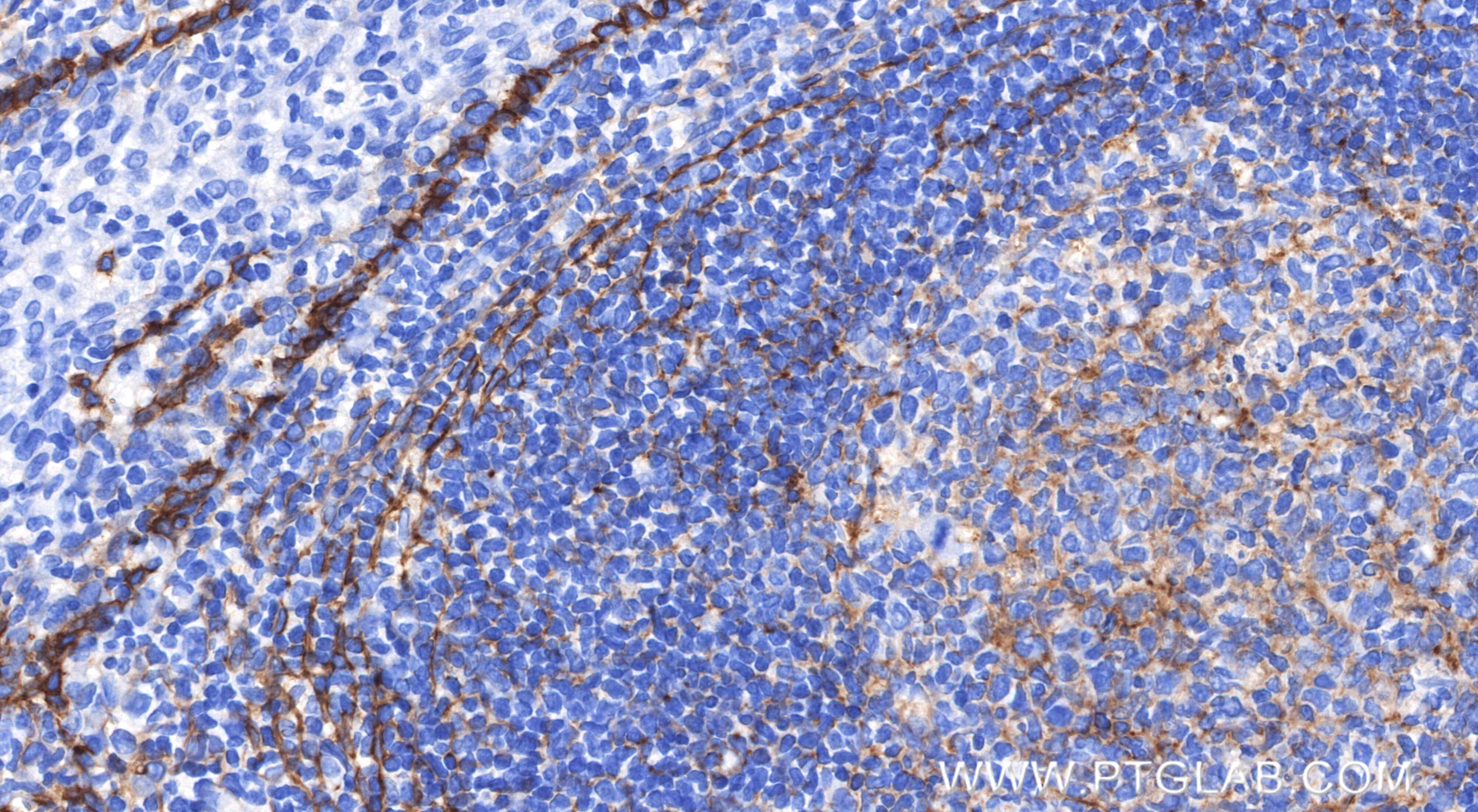
| Erfolgreiche Detektion in IHC | humanes Tonsillengewebe, humanes Appendix-Gewebe, humanes Plazenta-Gewebe Hinweis: Antigendemaskierung mit TE-Puffer pH 9,0 empfohlen. (*) Wahlweise kann die Antigendemaskierung auch mit Citratpuffer pH 6,0 erfolgen. |
Empfohlene Verdünnung
| Anwendung | Verdünnung |
|---|---|
| Western Blot (WB) | WB : 1:2000-1:10000 |
| Immunhistochemie (IHC) | IHC : 1:2000-1:8000 |
| It is recommended that this reagent should be titrated in each testing system to obtain optimal results. | |
| Sample-dependent, check data in validation data gallery | |
Produktinformation
86750-2-RR bindet in WB, IHC, ELISA Podoplanin und zeigt Reaktivität mit human
| Getestete Reaktivität | human |
| Wirt / Isotyp | Kaninchen / IgG |
| Klonalität | Rekombinant |
| Typ | Antikörper |
| Immunogen | Podoplanin fusion protein Eg5024 |
| Vollständiger Name | podoplanin |
| Beobachtetes Molekulargewicht | 36-43 kDa |
| GenBank-Zugangsnummer | BC014668 |
| Gene symbol | Podoplanin |
| Gene ID (NCBI) | 10630 |
| Konjugation | Unkonjugiert |
| Form | Liquid |
| Reinigungsmethode | Protein-A-Reinigung |
| Lagerungspuffer | PBS with 0.02% sodium azide and 50% glycerol |
| Lagerungsbedingungen | Bei -20°C lagern. Nach dem Versand ein Jahr lang stabil Aliquotieren ist bei -20oC Lagerung nicht notwendig. 20ul Größen enthalten 0,1% BSA. |
Hintergrundinformationen
Podoplanin was identified as a 43 kDa glycoprotein found in the cell membranes of glomerular epithelial cells (podocyte) (PMID: 9327748). It is a lymphatic marker because the expression of podoplanin has been detected in lymphatic but not blood vascular endothelium, and is useful as the marker of tumor-associated Lymphangiogenesis. Podoplanin has a function in developing testis, most likely at the level of cell-cell interactions among pre-meiotic germ cells and immature Sertoli cells. It may be involved in cell migration and/or actin cytoskeleton organization. When expressed in keratinocytes, PDPN induces changes in cell morphology with transfected cells showing an elongated shape, numerous membrane protrusions, major reorganization of the actin cytoskeleton, increased motility and decreased cell adhesion. It is required for normal lung cell proliferation and alveolus formation at birth. PDPN induces platelet aggregation. It does not have any effect on folic acid or amino acid transport and does not function as a water channel or as a regulator of aquaporin-type water channels.
Protokolle
| PRODUKTSPEZIFISCHE PROTOKOLLE | |
|---|---|
| WB protocol for Podoplanin antibody 86750-2-RR | Protokoll herunterladen |
| IHC protocol for Podoplanin antibody 86750-2-RR | Protokoll herunterladenl |
| STANDARD-PROTOKOLLE | |
|---|---|
| Klicken Sie hier, um unsere Standardprotokolle anzuzeigen |






