TIMP1 Rekombinanter Antikörper
TIMP1 Rekombinant Antikörper für WB, IHC, IF/ICC, ELISA
Wirt / Isotyp
Kaninchen / IgG
Getestete Reaktivität
Maus
Anwendung
WB, IHC, IF/ICC, ELISA
Konjugation
Unkonjugiert
CloneNo.
243010H8
Kat-Nr. : 85959-1-RR
Synonyme
Geprüfte Anwendungen
| Erfolgreiche Detektion in WB | NIH/3T3-Zellen, C2C12-Zellen, Maus-Eierstockgewebe |
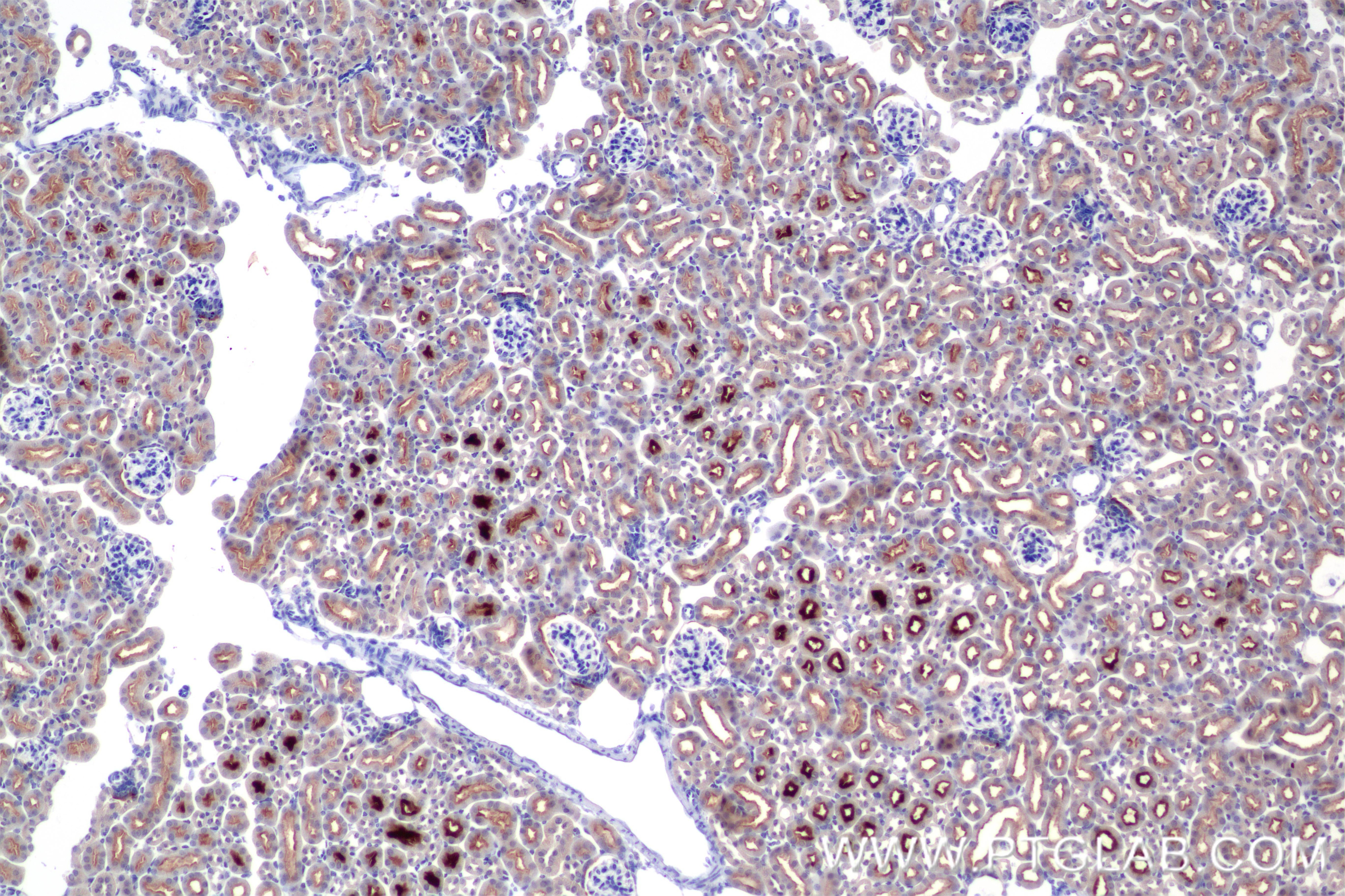
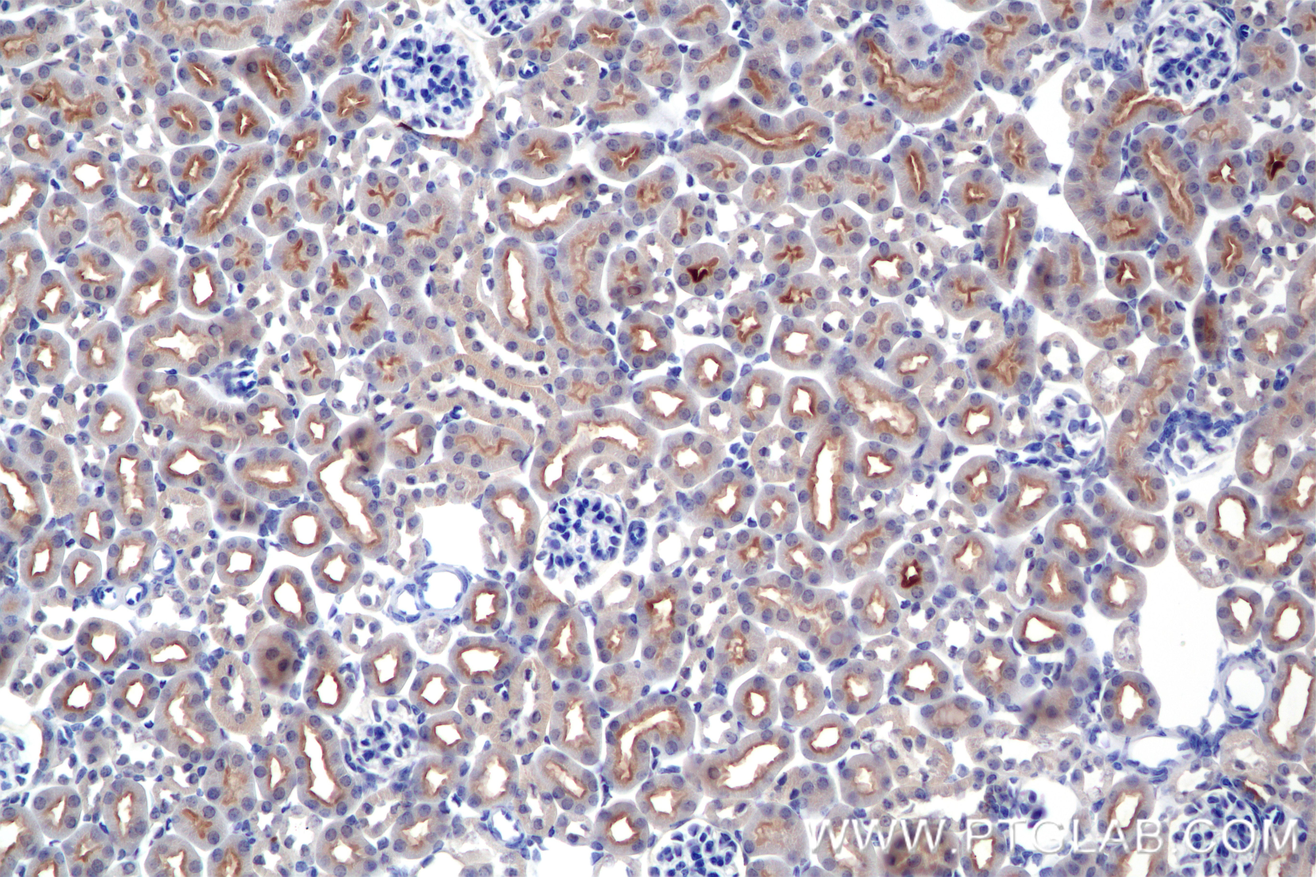
| Erfolgreiche Detektion in IHC | Mausnierengewebe Hinweis: Antigendemaskierung mit TE-Puffer pH 9,0 empfohlen. (*) Wahlweise kann die Antigendemaskierung auch mit Citratpuffer pH 6,0 erfolgen. |
| Erfolgreiche Detektion in IF/ICC | C2C12-Zellen |
Empfohlene Verdünnung
| Anwendung | Verdünnung |
|---|---|
| Western Blot (WB) | WB : 1:5000-1:50000 |
| Immunhistochemie (IHC) | IHC : 1:250-1:1000 |
| Immunfluoreszenz (IF)/ICC | IF/ICC : 1:50-1:500 |
| It is recommended that this reagent should be titrated in each testing system to obtain optimal results. | |
| Sample-dependent, check data in validation data gallery | |
Produktinformation
85959-1-RR bindet in WB, IHC, IF/ICC, ELISA TIMP1 und zeigt Reaktivität mit Maus
| Getestete Reaktivität | Maus |
| Wirt / Isotyp | Kaninchen / IgG |
| Klonalität | Rekombinant |
| Typ | Antikörper |
| Immunogen | TIMP1 fusion protein Eg0630 |
| Vollständiger Name | tissue inhibitor of metalloproteinase 1 |
| Berechnetes Molekulargewicht | 23KD |
| Beobachtetes Molekulargewicht | 20-23 kDa |
| GenBank-Zugangsnummer | NM_001044384.1 |
| Gene symbol | Timp1 |
| Gene ID (NCBI) | 21857 |
| Konjugation | Unkonjugiert |
| Form | Liquid |
| Reinigungsmethode | Protein-A-Reinigung |
| Lagerungspuffer | PBS with 0.02% sodium azide and 50% glycerol |
| Lagerungsbedingungen | Bei -20°C lagern. Nach dem Versand ein Jahr lang stabil Aliquotieren ist bei -20oC Lagerung nicht notwendig. 20ul Größen enthalten 0,1% BSA. |
Hintergrundinformationen
TIMP1 is a member of the family of matrix metalloproteinase inhibitors, which contains four members (TIMP1, TIMP2, TIMP3, and TIMP4). Tissue inhibitors of metalloproteinases (TIMPs) are multifaceted molecules that exhibit properties beyond their classical proteinase inhibitory function. TIMP1 has several MMP-independent functions such as modulation of angiogenesis, promotion of cell proliferation, and inhibition of apoptosis. TIMP1 plays important role in cell cycle regulation and cancer progression. Recently, clinical studies have shown that the aberrant expression of TIMP1 is associated with an unfavorable prognosis in a series of tumors, such as gastric cancer, papillary thyroid carcinoma, cutaneous melanoma and breast cancer. In pregnancy, TIMP1 plays a regulatory role in the process of implantation, particularly the cytotrophoblast invasion of the uterine endometrium. In pregnancy, TIMP1 plays a regulatory role in the process of implantation, particularly the cytotrophoblast invasion of the uterine endometrium.
Protokolle
| PRODUKTSPEZIFISCHE PROTOKOLLE | |
|---|---|
| WB protocol for TIMP1 antibody 85959-1-RR | Protokoll herunterladen |
| IHC protocol for TIMP1 antibody 85959-1-RR | Protokoll herunterladenl |
| IF protocol for TIMP1 antibody 85959-1-RR | Protokoll herunterladen |
| STANDARD-PROTOKOLLE | |
|---|---|
| Klicken Sie hier, um unsere Standardprotokolle anzuzeigen |





