USB1 Polyklonaler Antikörper

USB1 Polyklonal Antikörper für WB, ELISA

Wirt / Isotyp

Kaninchen / IgG

Getestete Reaktivität

human

Anwendung

WB, ELISA

Konjugation

Unkonjugiert

Kat-Nr. : 21229-1-AP

Synonyme

C16orf57, 3'-5' RNA exonuclease USB1, EC:4.6.1.-, hMpn1, hUsb1



Geprüfte Anwendungen

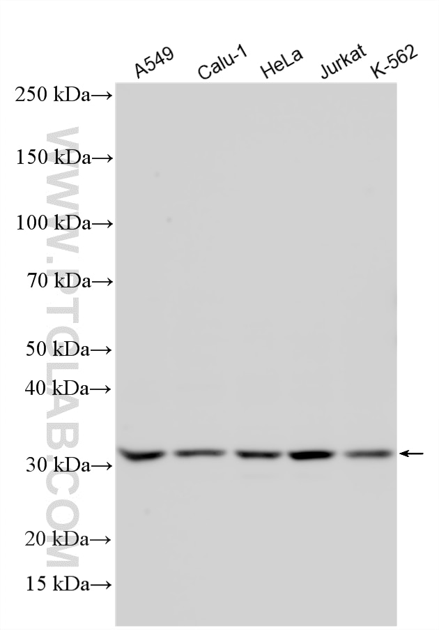
Erfolgreiche Detektion in WBA549-Zellen, HeLa-Zellen, Jurkat-Zellen, K-562-Zellen

Empfohlene Verdünnung

AnwendungVerdünnung
Western Blot (WB)WB : 1:1000-1:4000
It is recommended that this reagent should be titrated in each testing system to obtain optimal results.
Sample-dependent, check data in validation data gallery

Produktinformation

21229-1-AP bindet in WB, ELISA USB1 und zeigt Reaktivität mit human

Getestete Reaktivität human
Wirt / Isotyp Kaninchen / IgG
Klonalität Polyklonal
Typ Antikörper
Immunogen USB1 fusion protein Ag15689
Vollständiger Name chromosome 16 open reading frame 57
Berechnetes Molekulargewicht 265 aa, 30 kDa
Beobachtetes Molekulargewicht31 kDa
GenBank-ZugangsnummerBC004415
Gene symbol C16orf57
Gene ID (NCBI) 79650
Konjugation Unkonjugiert
Form Liquid
Reinigungsmethode Antigen-Affinitätsreinigung
Lagerungspuffer PBS with 0.02% sodium azide and 50% glycerol
LagerungsbedingungenBei -20°C lagern. Nach dem Versand ein Jahr lang stabil Aliquotieren ist bei -20oC Lagerung nicht notwendig. 20ul Größen enthalten 0,1% BSA.

Hintergrundinformationen

USB1 (U6 snRNA biogenesis phosphodiesterase 1) is a key nuclease primarily located within the nucleus and responsible for RNA processing. Its most well-defined function is to catalyze the hydrolysis of the 2',3'-cyclic phosphate at the 3' end of the U6 small nuclear RNA (snRNA), generating an essential 3'-hydroxyl group. This process is crucial for spliceosome assembly and pre-mRNA splicing. Mutations in the USB1 gene directly cause cartilaginous-hair hypoplasia, a rare autosomal recessive genetic disorder. Affected individuals present with short-limbed dwarfism, sparse hair, immunodeficiency, and bone marrow failure, revealing the critical roles of USB1 in skeletal development, cell cycle regulation, and immune system function. Therefore, USB1 is not only a core factor in RNA metabolism but also an important disease-associated protein.

Protokolle

PRODUKTSPEZIFISCHE PROTOKOLLE
WB protocol for USB1 antibody 21229-1-APProtokoll herunterladen
STANDARD-PROTOKOLLE
Klicken Sie hier, um unsere Standardprotokolle anzuzeigen