USP22 Monoklonaler Antikörper
USP22 Monoklonal Antikörper für WB, Indirect ELISA
Wirt / Isotyp
Maus / IgG1
Getestete Reaktivität
human
Anwendung
WB, Indirect ELISA
Konjugation
Unkonjugiert
CloneNo.
3D11H9
Kat-Nr. : 60905-1-PBS
Synonyme
Geprüfte Anwendungen
Produktinformation
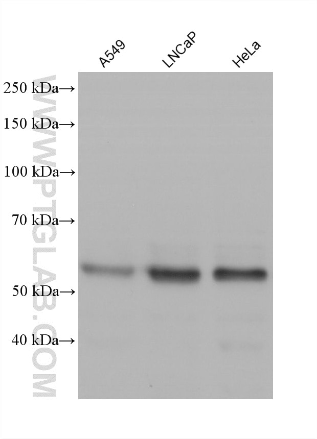
60905-1-PBS bindet in WB, Indirect ELISA USP22 und zeigt Reaktivität mit human
| Getestete Reaktivität | human |
| Wirt / Isotyp | Maus / IgG1 |
| Klonalität | Monoklonal |
| Typ | Antikörper |
| Immunogen | USP22 fusion protein Ag34933 |
| Vollständiger Name | ubiquitin specific peptidase 22 |
| Berechnetes Molekulargewicht | 60 kDa |
| Beobachtetes Molekulargewicht | 58 kDa |
| GenBank-Zugangsnummer | NM_015276 |
| Gene symbol | USP22 |
| Gene ID (NCBI) | 23326 |
| Konjugation | Unkonjugiert |
| Form | Liquid |
| Reinigungsmethode | Protein-G-Reinigung |
| Lagerungspuffer | PBS only |
| Lagerungsbedingungen | Store at -80°C. 20ul Größen enthalten 0,1% BSA. |
Hintergrundinformationen
USP22, also named as KIAA1063 and USP3L, belongs to the peptidase C19 family and UBP8 subfamily. It is histone deubiquitinating component of the transcription regulatory histone acetylation (HAT) complex SAGA. USP22 catalyzes the deubiquitination of both histones H2A and H2B, thereby acting as a coactivator. It is recruited to specific gene promoters by activators such as MYC, where it is required for transcription. USP22 is required for nuclear receptor-mediated transactivation and cell cycle progression. USP22 has 2 isoforms with molecular mass of 58kDa and 60 kDa. The antibody is specific to USP22.

