Anticorps Polyclonal de lapin anti-RBM34
RBM34 Polyclonal Antibody for WB, ELISA
Hôte / Isotype
Lapin / IgG
Réactivité testée
Humain
Applications
WB, ELISA
Conjugaison
Non conjugué
N° de cat : 32834-1-AP
Synonymes
Galerie de données de validation
Applications testées
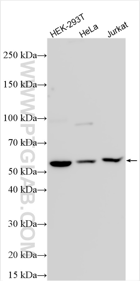
| Résultats positifs en WB | cellules HEK-293T, cellules HeLa, cellules Jurkat |
Dilution recommandée
| Application | Dilution |
|---|---|
| Western Blot (WB) | WB : 1:5000-1:50000 |
| It is recommended that this reagent should be titrated in each testing system to obtain optimal results. | |
| Sample-dependent, check data in validation data gallery | |
Informations sur le produit
32834-1-AP cible RBM34 dans les applications de WB, ELISA et montre une réactivité avec des échantillons Humain
| Réactivité | Humain |
| Hôte / Isotype | Lapin / IgG |
| Clonalité | Polyclonal |
| Type | Anticorps |
| Immunogène | RBM34 Protéine recombinante Ag37711 |
| Nom complet | RNA binding motif protein 34 |
| Masse moléculaire calculée | 430 aa, 49 kDa |
| Poids moléculaire observé | 55 kDa |
| Numéro d’acquisition GenBank | BC029451 |
| Symbole du gène | RBM34 |
| Identification du gène (NCBI) | 23029 |
| Conjugaison | Non conjugué |
| Forme | Liquide |
| Méthode de purification | Purification par affinité contre l'antigène |
| Tampon de stockage | PBS with 0.02% sodium azide and 50% glycerol |
| Conditions de stockage | Stocker à -20°C. Stable pendant un an après l'expédition. L'aliquotage n'est pas nécessaire pour le stockage à -20oC Les 20ul contiennent 0,1% de BSA. |
Protocole
| Product Specific Protocols | |
|---|---|
| WB protocol for RBM34 antibody 32834-1-AP | Download protocol |
| Standard Protocols | |
|---|---|
| Click here to view our Standard Protocols |
