Tested Applications
| Positive WB detected in | K-562 cells, mouse spleen tissue, mouse testis tissue, rat spleen tissue, rat testis tissue |
| Positive IP detected in | K-562 cells |
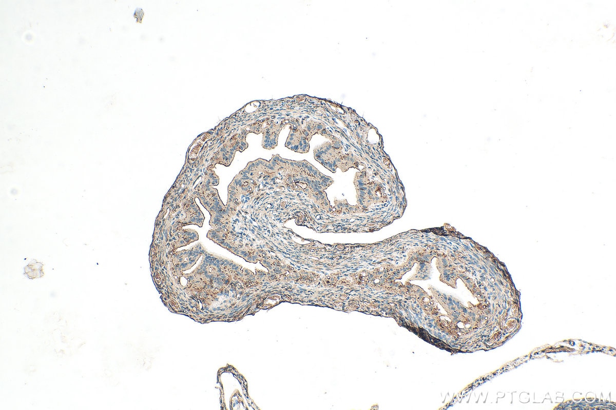
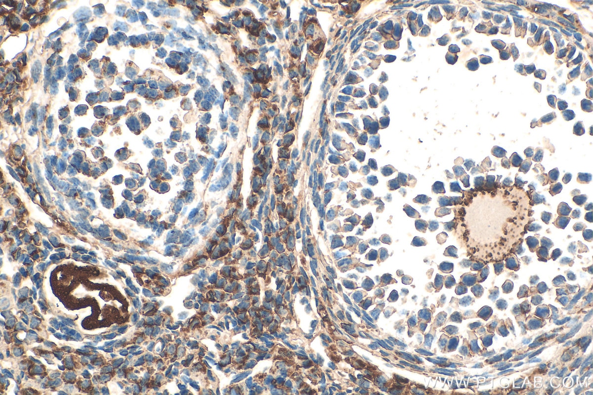
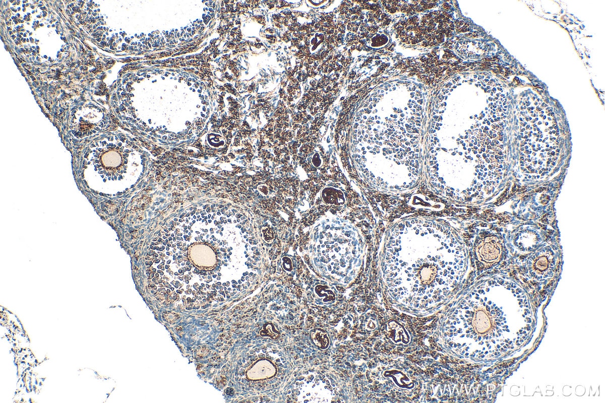
| Positive IHC detected in | mouse ovary tissue Note: suggested antigen retrieval with TE buffer pH 9.0; (*) Alternatively, antigen retrieval may be performed with citrate buffer pH 6.0 |
| Positive IF/ICC detected in | K-562 cells |
Recommended dilution
| Application | Dilution |
|---|---|
| Western Blot (WB) | WB : 1:5000-1:50000 |
| Immunoprecipitation (IP) | IP : 0.5-4.0 ug for 1.0-3.0 mg of total protein lysate |
| Immunohistochemistry (IHC) | IHC : 1:200-1:800 |
| Immunofluorescence (IF)/ICC | IF/ICC : 1:150-1:600 |
| It is recommended that this reagent should be titrated in each testing system to obtain optimal results. | |
| Sample-dependent, Check data in validation data gallery. | |
Published Applications
| WB | See 9 publications below |
| IHC | See 5 publications below |
Product Information
13951-1-AP targets ALDH1A2 in WB, IHC, IP, ELISA applications and shows reactivity with human, mouse, rat samples.
| Tested Reactivity | human, mouse, rat |
| Cited Reactivity | human, mouse, rat |
| Host / Isotype | Rabbit / IgG |
| Class | Polyclonal |
| Type | Antibody |
| Immunogen |
CatNo: Ag5062 Product name: Recombinant human ALDH1A2 protein Source: e coli.-derived, PGEX-4T Tag: GST Domain: 181-481 aa of BC030589 Sequence: GQIIPWNFPLLMFAWKIAPALCCGNTVVIKPAEQTPLSALYMGALIKEVGKLIQEAAGRSNLKRVTLELGGKSPNIIFADADLDYAVEQAHQGVFFNQGQCCTAGSRIFVEESIYEEFVRRSVERAKRRVVGSPFDPTTEQGPQIDKKQYNKILELIQSGVAEGAKLECGGKGLGRKGFFIEPTVFSNVTDDMRIAKEEIFGPVQEILRFKTMDEVIERANNSDFGLVAAVFTNDINKALTVSSAMQAGTVWINCYNALNAQSPFGGFKMSGNGREMGEFGLREYSEVKTVTVKIPQKNS Predict reactive species |
| Full Name | aldehyde dehydrogenase 1 family, member A2 |
| Calculated Molecular Weight | 518 aa, 57 kDa |
| Observed Molecular Weight | 53-57 kDa |
| GenBank Accession Number | BC030589 |
| Gene Symbol | ALDH1A2 |
| Gene ID (NCBI) | 8854 |
| RRID | AB_2224033 |
| Conjugate | Unconjugated |
| Form | Liquid |
| Purification Method | Antigen affinity purification |
| UNIPROT ID | O94788 |
| Storage Buffer | PBS with 0.02% sodium azide and 50% glycerol, pH 7.3. |
| Storage Conditions | Store at -20°C. Stable for one year after shipment. Aliquoting is unnecessary for -20oC storage. 20ul sizes contain 0.1% BSA. |
Background Information
ALDH1A2(aldehyde dehydrogenase family 1 member A2) is also named as RALDH2(retinal dehydrogenase 2) and belongs to the aldehyde dehydrogenase family. It is a cytosolic homotetramer(56.7 kDa subunits) exhibiting complex expression patterns throughout embryonic development. ALDH1A2 plays a role in retinoid metabolism during embryonic development where it is considered to be the major retinoic acid-synthesizing enzyme during early embryogenesis(PMID:20735668). Its expression is reduced in primary prostate tumors compared with normal prostate tissue suggested that it is normally expressed in the epithelial compartment of prostate tissue(PMID:16166285).It has 2 isoforms produced by alternative splicing.
Protocols
| Product Specific Protocols | |
|---|---|
| IHC protocol for ALDH1A2 antibody 13951-1-AP | Download protocol |
| IP protocol for ALDH1A2 antibody 13951-1-AP | Download protocol |
| WB protocol for ALDH1A2 antibody 13951-1-AP | Download protocol |
| Standard Protocols | |
|---|---|
| Click here to view our Standard Protocols |
Publications
| Species | Application | Title |
|---|---|---|
Clin Transl Med Melatonin inhibits lipid accumulation to repress prostate cancer progression by mediating the epigenetic modification of CES1. | ||
Elife FAK activity sustains intrinsic and acquired ovarian cancer resistance to platinum chemotherapy. | ||
iScience Modification of lysine-260 2-hydroxyisobutyrylation destabilizes ALDH1A1 expression to regulate bladder cancer progression | ||
J Nutr Biochem All-trans retinoic acid induces lipophagy through the activation of the AMPK-Beclin1 signaling pathway and reduces Rubicon expression in adipocytes | ||
Am J Cancer Res Inhibition of Na+/H+ exchanger (NHE) 7 by 5-(N-ethyl-N-isopropyl)-Amiloride displays anti-cancer activity in non-small cell lung cancer by disrupting cancer stem cell activity and downregulating PD-L1 expression | ||
J Lipid Res Importance of ALDH1A enzymes in determining human testicular retinoic acid concentrations. |











