Tested Applications
| Positive WB detected in | HepG2 cells, mouse lung tissue, L02 cells, Jurkat cells, MCF-7 cells |
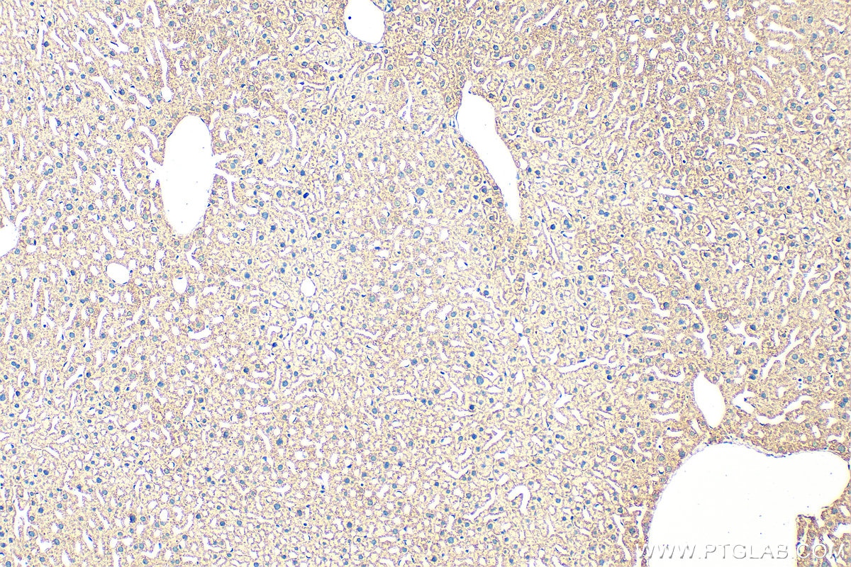
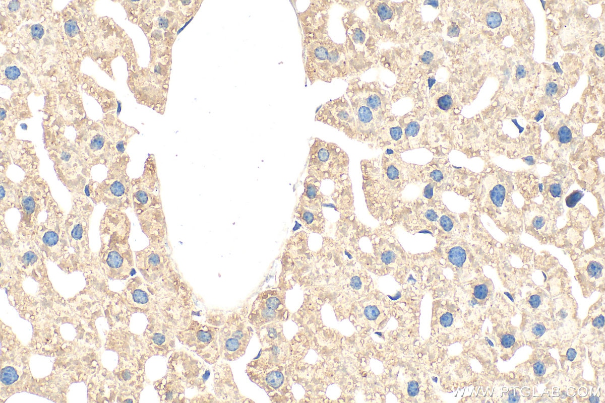
| Positive IHC detected in | mouse liver tissue, human breast cancer tissue, human liver tissue Note: suggested antigen retrieval with TE buffer pH 9.0; (*) Alternatively, antigen retrieval may be performed with citrate buffer pH 6.0 |
Recommended dilution
| Application | Dilution |
|---|---|
| Western Blot (WB) | WB : 1:5000-1:50000 |
| Immunohistochemistry (IHC) | IHC : 1:50-1:500 |
| It is recommended that this reagent should be titrated in each testing system to obtain optimal results. | |
| Sample-dependent, Check data in validation data gallery. | |
Published Applications
| KD/KO | See 3 publications below |
| WB | See 17 publications below |
| IHC | See 2 publications below |
Product Information
10471-1-AP targets DHCR24 in WB, IHC, ELISA applications and shows reactivity with human, mouse samples.
| Tested Reactivity | human, mouse |
| Cited Reactivity | human, mouse, rat |
| Host / Isotype | Rabbit / IgG |
| Class | Polyclonal |
| Type | Antibody |
| Immunogen |
CatNo: Ag0756 Product name: Recombinant human DHCR24 protein Source: e coli.-derived, PGEX-4T Tag: GST Domain: 217-516 aa of BC004375 Sequence: SCGTLGFLVAAEIRIIPAKKYVKLRFEPVRGLEAICAKFTHESQRQENHFVEGLLYSLDEAVIMTGVMTDEAEPSKLNSIGNYYKPWFFKHVENYLKTNREGLEYIPLRHYYHRHTRSIFWELQDIIPFGNNPIFRYLFGWMVPPKISLLKLTQGETLRKLYEQHHVVQDMLVPMKCLQQALHTFQNDIHVYPIWLCPFILPSQPGLVHPKGNEAELYIDIGAYGEPRVKHFEARSCMRQLEKFVRSVHGFQMLYADCYMNREEFWEMFDGSLYHKLREKLGCQDAFPEVYDKICKAARH Predict reactive species |
| Full Name | 24-dehydrocholesterol reductase |
| Calculated Molecular Weight | 60 kDa, 516 aa |
| Observed Molecular Weight | 50-60 kDa |
| GenBank Accession Number | BC004375 |
| Gene Symbol | DHCR24 |
| Gene ID (NCBI) | 1718 |
| RRID | AB_2091446 |
| Conjugate | Unconjugated |
| Form | Liquid |
| Purification Method | Antigen affinity purification |
| UNIPROT ID | Q15392 |
| Storage Buffer | PBS with 0.02% sodium azide and 50% glycerol, pH 7.3. |
| Storage Conditions | Store at -20°C. Stable for one year after shipment. Aliquoting is unnecessary for -20oC storage. 20ul sizes contain 0.1% BSA. |
Background Information
DHCR24(3-beta-hydroxysterol delta-24-reductase), also named as Seladin-1 or Diminuto/dwarf1 homolog, is a member of the flavin adenine dinucleotide (FAD)-dependent oxidoreductases, and catalyzes the reduction of the delta-24 double bond of sterol intermediates during cholesterol biosynthesis. The DHCR24 expression was shown to be down regulated in brain areas affected by Alzheimer's disease and endogenous DHCR24/seladin-1 levels are highly up-regulated upon acute oxidative stress while expression declines to very low levels upon chronic exposure (PMID:17984220). In apoptotic cells, endogenous seladin-1 was cleaved to a 40 kDa derivative in a caspase-dependent manner (PMID: 11007892).
Protocols
| Product Specific Protocols | |
|---|---|
| IHC protocol for DHCR24 antibody 10471-1-AP | Download protocol |
| WB protocol for DHCR24 antibody 10471-1-AP | Download protocol |
| Standard Protocols | |
|---|---|
| Click here to view our Standard Protocols |
Publications
| Species | Application | Title |
|---|---|---|
Cell Death Differ Efferocytosis potentiates the expression of arachidonate 15-lipoxygenase (ALOX15) in alternatively activated human macrophages through LXR activation. | ||
Commun Biol Cholesterol mediated ferroptosis suppression reveals essential roles of Coenzyme Q and squalene
| ||
J Neurosci Golgi-Dependent Copper Homeostasis Sustains Synaptic Development and Mitochondrial Content. | ||
NanoImpact The alterations of miRNA and mRNA expression profile and their integration analysis induced by silica nanoparticles in spermatocyte cells. |



















