Tested Applications
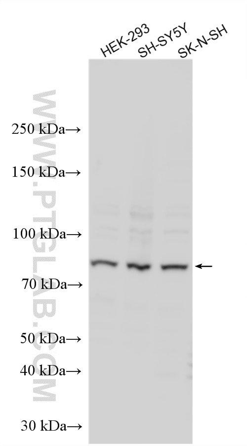
| Positive WB detected in | HEK-293 cells, human cerebellum tissue, mouse cerebellum tissue, SH-SY5Y cells, SK-N-SH cells |
| Positive IP detected in | mouse brain tissue |
| Positive IHC detected in | human gliomas tissue, mouse brain tissue Note: suggested antigen retrieval with TE buffer pH 9.0; (*) Alternatively, antigen retrieval may be performed with citrate buffer pH 6.0 |
| Positive IF-P detected in | mouse eye tissue |
Recommended dilution
| Application | Dilution |
|---|---|
| Western Blot (WB) | WB : 1:1000-1:4000 |
| Immunoprecipitation (IP) | IP : 0.5-4.0 ug for 1.0-3.0 mg of total protein lysate |
| Immunohistochemistry (IHC) | IHC : 1:20-1:200 |
| Immunofluorescence (IF)-P | IF-P : 1:200-1:800 |
| It is recommended that this reagent should be titrated in each testing system to obtain optimal results. | |
| Sample-dependent, Check data in validation data gallery. | |
Published Applications
| KD/KO | See 8 publications below |
| WB | See 19 publications below |
| IHC | See 2 publications below |
| IF | See 6 publications below |
| IP | See 1 publications below |
Product Information
13930-1-AP targets KIF3A in WB, IHC, IF-P, IP, ELISA applications and shows reactivity with human, mouse samples.
| Tested Reactivity | human, mouse |
| Cited Reactivity | human, mouse |
| Host / Isotype | Rabbit / IgG |
| Class | Polyclonal |
| Type | Antibody |
| Immunogen |
CatNo: Ag4954 Product name: Recombinant human KIF3A protein Source: e coli.-derived, PGEX-4T Tag: GST Domain: 1-355 aa of BC045542 Sequence: MPINKSEKPESCDNVKVVVRCRPLNEREKSMCYKQAVSVDEMRGTITVHKTDSSNEPPKTFTFDTVFGPESKQLDVYNLTARPIIDSVLEGYNGTIFAYGQTGTGKTFTMEGVRAIPELRGIIPNSFAHIFGHIAKAEGDTRFLVRVSYLGIYNEEVRDLLGKDQTQRLEVIERPDVGVYIKDLSAYVVNNADDMDRIMTLGHKNRSVGATNMNEHSSRSHAIFTITIECSEKGIDGNMHVRMGKLHLVDLAGSERQAKTGATGQRLKEATKINLSLSTLGNVISALVDGKSTHVPYRNSKLTRLLQDSLGGNSKTMMCANIGPADYNYDETISTLRYANRAKNIKNKARINEDP Predict reactive species |
| Full Name | kinesin family member 3A |
| Calculated Molecular Weight | 80 kDa |
| Observed Molecular Weight | 80 kDa |
| GenBank Accession Number | BC045542 |
| Gene Symbol | KIF3A |
| Gene ID (NCBI) | 11127 |
| RRID | AB_2132063 |
| Conjugate | Unconjugated |
| Form | Liquid |
| Purification Method | Antigen affinity purification |
| UNIPROT ID | Q9Y496 |
| Storage Buffer | PBS with 0.02% sodium azide and 50% glycerol, pH 7.3. |
| Storage Conditions | Store at -20°C. Stable for one year after shipment. Aliquoting is unnecessary for -20oC storage. 20ul sizes contain 0.1% BSA. |
Background Information
KIF3A is a subunit of Kinesin II that is essential for intraflagellar transport (IFT). It functions as the anterograde motor to deliver ciliary components to the tip where the axoneme is assembled. Disruption of KIF3A has been reported to block mammalian ciliogenesis. Recently KIF3A has been found to localize to the mother centriole and is required for centrioles organization. This antibody specifically recognizes the endogenous KIF3A protein in mouse embryonic fibroblasts (MEFs) but not in KIF3A-/- lysate. (23386061)
Protocols
| Product Specific Protocols | |
|---|---|
| IF protocol for KIF3A antibody 13930-1-AP | Download protocol |
| IHC protocol for KIF3A antibody 13930-1-AP | Download protocol |
| IP protocol for KIF3A antibody 13930-1-AP | Download protocol |
| WB protocol for KIF3A antibody 13930-1-AP | Download protocol |
| Standard Protocols | |
|---|---|
| Click here to view our Standard Protocols |
Publications
| Species | Application | Title |
|---|---|---|
Sci Adv An EMT-primary cilium-GLIS2 signaling axis regulates mammogenesis and claudin-low breast tumorigenesis. | ||
Nat Commun Microtubule asters anchored by FSD1 control axoneme assembly and ciliogenesis. | ||
Proc Natl Acad Sci U S A EMT programs promote basal mammary stem cell and tumor-initiating cell stemness by inducing primary ciliogenesis and Hedgehog signaling.
| ||
EMBO J Kif3a interacts with Dynactin subunit p150 Glued to organize centriole subdistal appendages.
| ||
Cell Mol Life Sci Requirement of NPHP5 in the hierarchical assembly of basal feet associated with basal bodies of primary cilia.
|
Reviews
The reviews below have been submitted by verified Proteintech customers who received an incentive for providing their feedback.
FH Bárbara (Verified Customer) (09-02-2025) | Western blot analyses have reported that KIF3A can be detected in PBMCs, with a specific band at approximately 80 kDa when we use a 1:1000 antibody dilution.
|

















