Tested Applications
| Positive WB detected in | HEK-293 cells, PC-3 cells |
| Positive IHC detected in | mouse brain tissue Note: suggested antigen retrieval with TE buffer pH 9.0; (*) Alternatively, antigen retrieval may be performed with citrate buffer pH 6.0 |
Recommended dilution
| Application | Dilution |
|---|---|
| Western Blot (WB) | WB : 1:500-1:1000 |
| Immunohistochemistry (IHC) | IHC : 1:50-1:500 |
| It is recommended that this reagent should be titrated in each testing system to obtain optimal results. | |
| Sample-dependent, Check data in validation data gallery. | |
Published Applications
| KD/KO | See 1 publications below |
| WB | See 10 publications below |
| IHC | See 2 publications below |
| IF | See 2 publications below |
| IP | See 1 publications below |
| ChIP | See 4 publications below |
Product Information
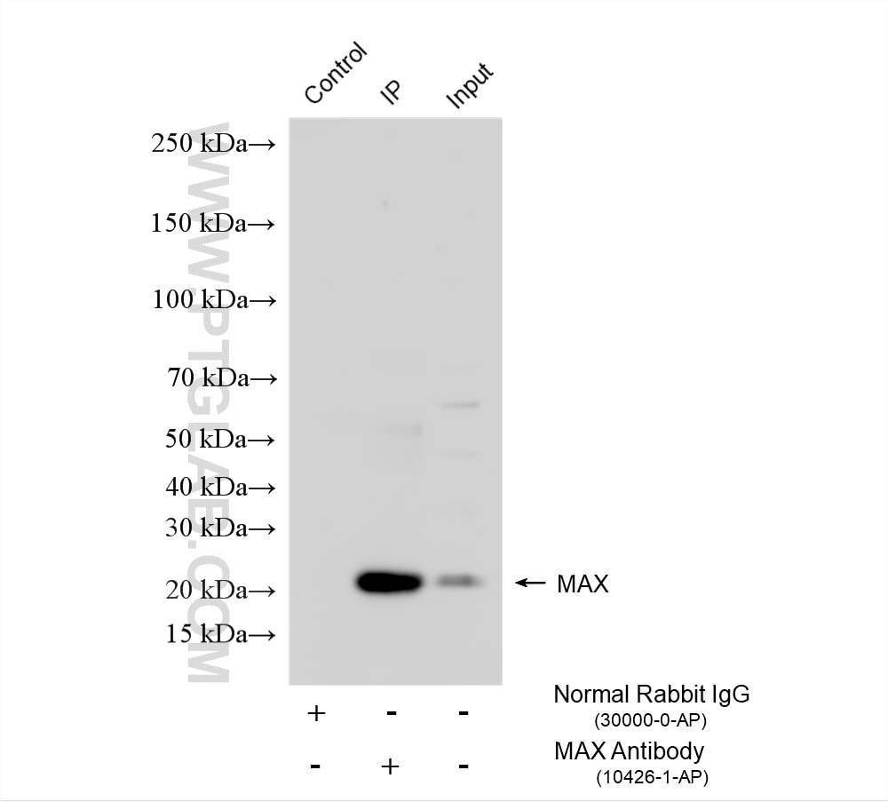
10426-1-AP targets MAX in WB, IHC, IF, IP, chIP, ELISA applications and shows reactivity with human samples.
| Tested Reactivity | human |
| Cited Reactivity | human, mouse |
| Host / Isotype | Rabbit / IgG |
| Class | Polyclonal |
| Type | Antibody |
| Immunogen |
CatNo: Ag0680 Product name: Recombinant human MAX protein Source: e coli.-derived, PGEX-4T Tag: GST Domain: 1-151 aa of BC003525 Sequence: MSDNDDIEVESDADKRAHHNALERKRRDHIKDSFHSLRDSVPSLQGEKASRAQILDKATEYIQYMRRKNHTHQQDIDDLKRQNALLEQQVRALEKARSSAQLQTNYPSSDNSLYTNAKGSTISAFDGGSDSSSESEPEEPQSRKKLRMEAS Predict reactive species |
| Full Name | MYC associated factor X |
| Calculated Molecular Weight | 18 kDa |
| Observed Molecular Weight | 22 kDa |
| GenBank Accession Number | BC003525 |
| Gene Symbol | MAX |
| Gene ID (NCBI) | 4149 |
| RRID | AB_2141660 |
| Conjugate | Unconjugated |
| Form | Liquid |
| Purification Method | Antigen affinity purification |
| UNIPROT ID | P61244 |
| Storage Buffer | PBS with 0.02% sodium azide and 50% glycerol, pH 7.3. |
| Storage Conditions | Store at -20°C. Stable for one year after shipment. Aliquoting is unnecessary for -20oC storage. 20ul sizes contain 0.1% BSA. |
Background Information
Max, a member of MAX family, contains a basic helix-loop-helix (bHLH) domain, is a transcription regulator. MAX can form a sequence-specific DNA-binding protein complex with MYC or MAD which recognizes the core sequence 5'-CAC[GA]TG-3'. The MYC-MAX complex is a transcriptional activator, while the MAD-MAX complex is a repressor. MAX could dimerizated with another bHLH protein to form a heterodimer, such MYC or MAD. Thus bands recognized by this antibody much larger than predicted.
Protocols
| Product Specific Protocols | |
|---|---|
| IHC protocol for MAX antibody 10426-1-AP | Download protocol |
| WB protocol for MAX antibody 10426-1-AP | Download protocol |
| Standard Protocols | |
|---|---|
| Click here to view our Standard Protocols |
Publications
| Species | Application | Title |
|---|---|---|
Cancer Cell MAX Functions as a Tumor Suppressor and Rewires Metabolism in Small Cell Lung Cancer.
| ||
Sci Adv A MYC inhibitor selectively alters the MYC and MAX cistromes and modulates the epigenomic landscape to regulate target gene expression. | ||
Sci Adv AKR1B10 dictates c-Myc stability to suppress colorectal cancer metastasis via PP2A nitration | ||
Nat Commun PCGF6 controls neuroectoderm specification of human pluripotent stem cells by activating SOX2 expression. | ||
Cell Death Dis NKD1 enhances colon cancer progression by inhibiting the autophagic degradation of MYC | ||
Elife Loss of MGA repression mediated by an atypical polycomb complex promotes tumor progression and invasiveness. |
Reviews
The reviews below have been submitted by verified Proteintech customers who received an incentive for providing their feedback.
FH Inmaculada (Verified Customer) (02-12-2026) | I used this antibody for ChIP, Western blot, and immunofluorescence, and it performs very well. Life is much easier when you have a good antibody.
|









