Tested Applications
| Positive WB detected in | A431 cells, HeLa cells |
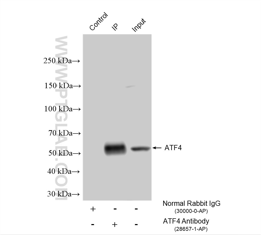
| Positive IP detected in | A431 cells |
| Positive IHC detected in | human breast cancer tissue Note: suggested antigen retrieval with TE buffer pH 9.0; (*) Alternatively, antigen retrieval may be performed with citrate buffer pH 6.0 |
Recommended dilution
| Application | Dilution |
|---|---|
| Western Blot (WB) | WB : 1:1000-1:4000 |
| Immunoprecipitation (IP) | IP : 0.5-4.0 ug for 1.0-3.0 mg of total protein lysate |
| Immunohistochemistry (IHC) | IHC : 1:50-1:500 |
| It is recommended that this reagent should be titrated in each testing system to obtain optimal results. | |
| Sample-dependent, Check data in validation data gallery. | |
Published Applications
| KD/KO | See 1 publications below |
| WB | See 10 publications below |
| IF | See 1 publications below |
| ChIP | See 1 publications below |
Product Information
28657-1-AP targets ATF4 in WB, IHC, IF, IP, ChIP, ELISA applications and shows reactivity with human samples.
| Tested Reactivity | human |
| Cited Reactivity | human, mouse, rat |
| Host / Isotype | Rabbit / IgG |
| Class | Polyclonal |
| Type | Antibody |
| Immunogen |
CatNo: Ag29844 Product name: Recombinant human ATF4 protein Source: e coli.-derived, PGEX-4T Tag: GST Domain: 206-351 aa of BC022088 Sequence: QCIKEEDTPSDNDSGICMSPESYLGSPQHSPSTRGSPNRSLPSPGVLCGSARPKPYDPPGEKMVAAKVKGEKLDKKLKKMEQNKTAATRYRQKKRAEQEALTGECKELEKKNEALKERADSLAKEIQYLKDLIEEVRKARGKKRVP Predict reactive species |
| Full Name | activating transcription factor 4 (tax-responsive enhancer element B67) |
| Calculated Molecular Weight | 39 kDa |
| Observed Molecular Weight | 45-50 kDa |
| GenBank Accession Number | BC022088 |
| Gene Symbol | ATF4 |
| Gene ID (NCBI) | 468 |
| RRID | AB_2881187 |
| Conjugate | Unconjugated |
| Form | Liquid |
| Purification Method | Antigen affinity purification |
| UNIPROT ID | P18848 |
| Storage Buffer | PBS with 0.02% sodium azide and 50% glycerol, pH 7.3. |
| Storage Conditions | Store at -20°C. Stable for one year after shipment. Aliquoting is unnecessary for -20oC storage. 20ul sizes contain 0.1% BSA. |
Background Information
ATF4 is a transcription factor, that accumulates predominantly in osteoblasts, where it regulates terminal osteoblast differentiation and bone formation[PMID: 19016586]. As a basic leucine-zipper (bZip) transcription factor, ATF4 can regulate amino acid metabolism, cellular redox state, and anti-stress responses. It also regulates age-related and diet-induced obesity and glucose homeostasis in mammals, and has conserved metabolic functions in flies[PMID: 19726872]. Due to its location at chromosome 22q13, a region linked to schizophrenia, ATF4 is considered as a positional candidate gene for schizophrenia[PMID: 18163433]. Otherwise, since ATF4 is induced by tumour microenvironmental factors, and regulates processes relevant to cancer progression, it might serve as a potential therapeutic target in cancer. Endogenous ATF4 protein has a molecular mass of 50kd. [PMID: 17726049]. ATF4 can bind DNA as a homodimer and as a heterodimer. ATF4 is ubiquitinated by SCF(BTRC) in response to mTORC1 signal, followed by proteasomal degradation and leading to down-regulate expression of SIRT4, so the molecular weight of ATF4 may be 70 kDa.
Protocols
| Product Specific Protocols | |
|---|---|
| IHC protocol for ATF4 antibody 28657-1-AP | Download protocol |
| IP protocol for ATF4 antibody 28657-1-AP | Download protocol |
| WB protocol for ATF4 antibody 28657-1-AP | Download protocol |
| Standard Protocols | |
|---|---|
| Click here to view our Standard Protocols |
Publications
| Species | Application | Title |
|---|---|---|
Autophagy Epg5 deficiency leads to primary ovarian insufficiency due to WT1 accumulation in mouse granulosa cells. | ||
J Hazard Mater Endoplasmic reticulum stress manipulates autophagic response that antagonizes polybrominated diphenyl ethers quinone induced cytotoxicity in microglial BV2 cells. | ||
Inflammation CCAAT/Enhancer-Binding Protein Homologous Protein (CHOP) Deficiency Attenuates Heatstroke-Induced Intestinal Injury | ||
Int J Ophthalmol SIRT1 inhibits apoptosis of human lens epithelial cells through suppressing endoplasmic reticulum stress in vitro and in vivo | ||
Mol Neurobiol Deficiency of RAB39B Activates ER Stress-Induced Pro-apoptotic Pathway and Causes Mitochondrial Dysfunction and Oxidative Stress in Dopaminergic Neurons by Impairing Autophagy and Upregulating α-Synuclein | ||
Mol Ther Switch of ELF3 and ATF4 transcriptional axis programs the amino acid insufficiency-linked epithelial-to-mesenchymal transition |
Reviews
The reviews below have been submitted by verified Proteintech customers who received an incentive for providing their feedback.
FH Danyan (Verified Customer) (11-07-2025) | The antibody gave clear and specific bands in Western blot with good sensitivity.
|
FH Danyan (Verified Customer) (09-29-2025) | the antibody showed strong, specific binding in my tissue samples with little to no non-specific signal.
|





