Tested Applications
| Positive WB detected in | human blood |
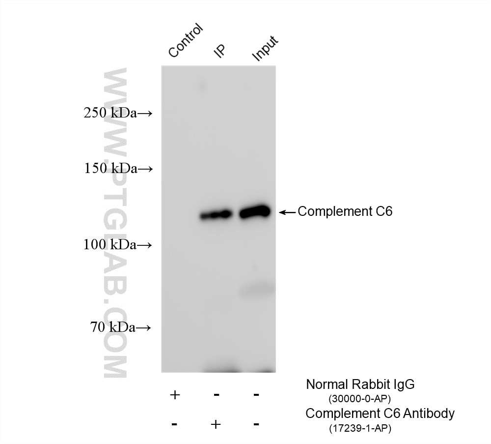
| Positive IP detected in | human plasma |
| Positive IHC detected in | mouse liver tissue, human liver cancer tissue Note: suggested antigen retrieval with TE buffer pH 9.0; (*) Alternatively, antigen retrieval may be performed with citrate buffer pH 6.0 |
Recommended dilution
| Application | Dilution |
|---|---|
| Western Blot (WB) | WB : 1:500-1:2000 |
| Immunoprecipitation (IP) | IP : 0.5-4.0 ug for 1.0-3.0 mg of total protein lysate |
| Immunohistochemistry (IHC) | IHC : 1:50-1:500 |
| It is recommended that this reagent should be titrated in each testing system to obtain optimal results. | |
| Sample-dependent, Check data in validation data gallery. | |
Published Applications
| WB | See 2 publications below |
| IHC | See 2 publications below |
| IF | See 4 publications below |
Product Information
17239-1-AP targets Complement C6 in WB, IHC, IF, IP, ELISA applications and shows reactivity with human, mouse samples.
| Tested Reactivity | human, mouse |
| Cited Reactivity | human, rat |
| Host / Isotype | Rabbit / IgG |
| Class | Polyclonal |
| Type | Antibody |
| Immunogen |
CatNo: Ag11083 Product name: Recombinant human C6 protein Source: e coli.-derived, PGEX-4T Tag: GST Domain: 586-934 aa of BC035723 Sequence: TRECNNPAPQRGGKRCEGEKRQEEDCTFSIMENNGQPCINDDEEMKEVDLPEIEADSGCPQPVPPENGFIRNEKQLYLVGEDVEISCLTGFETVGYQYFRCLPDGTWRQGDVECQRTECIKPVVQEVLTITPFQRLYRIGESIELTCPKGFVVAGPSRYTCQGNSWTPPISNSLTCEKDTLTKLKGHCQLGQKQSGSECICMSPEEDCSHHSEDLCVFDTDSNDYFTSPACKFLAEKCLNNQQLHFLHIGSCQDGRQLEWGLERTRLSSNSTKKESCGYDTCYDWEKCSASTSKCVCLLPPQCFKGGNQLYCVKMGSSTSEKTLNICEVGTIRCANRKMEILHPGKCLA Predict reactive species |
| Full Name | complement component 6 |
| Calculated Molecular Weight | 934 aa, 105 kDa |
| Observed Molecular Weight | 105-120 kDa |
| GenBank Accession Number | BC035723 |
| Gene Symbol | C6 |
| Gene ID (NCBI) | 729 |
| RRID | AB_2878366 |
| Conjugate | Unconjugated |
| Form | Liquid |
| Purification Method | Antigen affinity purification |
| UNIPROT ID | P13671 |
| Storage Buffer | PBS with 0.02% sodium azide and 50% glycerol, pH 7.3. |
| Storage Conditions | Store at -20°C. Stable for one year after shipment. Aliquoting is unnecessary for -20oC storage. 20ul sizes contain 0.1% BSA. |
Background Information
The final consequence of complement activation is formation of the membrane attack complex (MAC), a multiprotein assembly that perforates cell membranes, forming transmembrane channels. C6 is 1 of 5 late-acting proteins of complement that participate in assembly and function of the MAC. The deduced C6 protein contains 934 amino acids, including a 21-amino acid N-terminal signal sequence and 2 N-glycosylation sites. Mutations in the C6 gene are associated with complement component-6 deficiency.
Protocols
| Product Specific Protocols | |
|---|---|
| IHC protocol for Complement C6 antibody 17239-1-AP | Download protocol |
| IP protocol for Complement C6 antibody 17239-1-AP | Download protocol |
| WB protocol for Complement C6 antibody 17239-1-AP | Download protocol |
| Standard Protocols | |
|---|---|
| Click here to view our Standard Protocols |
Publications
| Species | Application | Title |
|---|---|---|
PLoS One Human mesenchymal stromal cells ameliorate complement induced inflammatory cascade and improve renal functions in a rat model of ischemia-reperfusion induced acute kidney injury. | ||
Oral Dis Analysis of Salivary Exosomal Proteins in Young Adults with Severe Periodontitis. | ||
Ann Diagn Pathol The histologic and molecular correlates of liver disease in fatal COVID-19 including with alcohol use disorder | ||
Ren Fail Effect of anti-C5 antibody on recuperation from ischemia/reperfusion-induced acute kidney injury. | ||
Cureus Effects of Small Extracellular Vesicles Derived From Mesenchymal Stromal Cells on Acute Kidney Injury: A Rat Ischemia-Reperfusion Model | ||
Nat Commun A ZFYVE21-Rubicon-RNF34 signaling complex promotes endosome-associated inflammasome activity in endothelial cells |











