CTCF antibody (pAb)
Host / Isotype
Rabbit / IgG
Reactivity
Human
Applications
ChIP, ChIP-Seq, CUT&Tag, EMSA, ICC, IF, IHC, WB
Cat No : 61311,61312,61932 61311
Synonyms
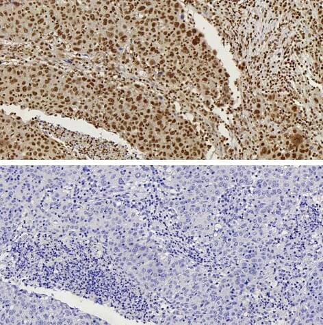
Validation Data Gallery
Product Information
| Tested Applications |
ChIP, ChIP-Seq, CUT&Tag, EMSA, ICC, IF, IHC, WB
Applications Validated by Active Motif: ChIP: 2 - 8 ul per ChIP ChIP-Seq: 4 ug per ChIP ICC/IF: 1:2,000 dilution WB: 1:500- 1:2,000 dilution IHC(FFPE): 1:1000 dilution CUT&Tag* 1 ul per 50 ul reaction *This antibody has been validated for CUT&Tag using Active Motif's CUT&Tag-IT Assay Kit, Catalog No. 53160. Note: Many chromatin-bound proteins are not soluble in a low salt nuclear extract and fractionate to the pellet. Therefore, we recommend a High Salt / Sonication Protocol when preparing nuclear extracts for Western blot. For CTCF, we also offer AbFlex CTCF Recombinant Antibody (rAb). For details, see Catalog No. 91285. |
| Tested Reactivity | Human |
| Host / Isotype | Rabbit / IgG |
| Class | Polyclonal |
| Type | Antibody |
| Immunogen | This CTCF antibody was raised against a peptide within the N-terminal region of human CTCF. |
| Full Name | CTCF antibody (pAb) |
| Synonyms | CTCF, CCCTC-binding factor (zinc finger protein), 11-zinc finger protein, transcriptional repressor CTCF, CCCTC-binding factor, CTCFL paralog, 11 zinc finger transcriptional repressor, ChIP, chromatin immunoprecipitation, western blotting, pAb, polyclonal, antibody, transcription, chromatin, sample, chiphsabs |
| Molecular weight | 120 kDa |
| GenBank accession number | NP_006556 |
| RRID | AB_2614975 |
| Purification Method | Affinity Purified |
| Buffer | Purified IgG in PBS with 30% glycerol and 0.035% sodium azide. Sodium azide is highly toxic. |
| Storage | Some products may be shipped at room temperature. This will not affect their stability or performance. Avoid repeated freeze/thaw cycles by aliquoting items into single-use fractions for storage at -20°C for up to 2 years. Keep all reagents on ice when not in storage. |
Background Information
CTCF (CCCTC-binding factor, zinc finger protein) is a chromatin binding factor that binds to DNA sequence specific sites. Involved in transcriptional regulation by binding to chromatin insulators and preventing interaction between promoter and nearby enhancers and silencers. Acts as transcriptional repressor binding to promoters of vertebrate MYC gene and BAG1 gene. Also binds to the PLK and PIM1 promoters. Acts as a transcriptional activator of APP. Regulates APOA1/C3/A4/A5 gene cluster and controls MHC class II gene expression. Plays an essential role in oocyte and preimplantation embryo development by activating or repressing transcription. Seems to act as tumor suppressor. Plays a critical role in the epigenetic regulation. Participates in the allele-specific gene expression at the imprinted IGF2/H19 gene locus. On the maternal allele, binding within the H19 imprinting control region (ICR) mediates maternally inherited higher-order chromatin conformation to restrict enhancer access to IGF2. Plays a critical role in gene silencing over considerable distances in the genome. Preferentially interacts with unmethylated DNA, preventing spreading of CpG methylation and maintaining methylation-free zones. Inversely, binding to target sites is prevented by CpG methylation. Plays a important role in chromatin remodeling. Can dimerize when it is bound to different DNA sequences, mediating long-range chromatin looping. Mediates interchromosomal association between IGF2/H19 and WSB1/NF1 and may direct distant DNA segments to a common transcription factory. Causes local loss of histone acetylation and gain of histone methylation in the beta-globin locus, without affecting transcription. When bound to chromatin, it provides an anchor point for nucleosomes positioning. Seems to be essential for homologous X-chromosome pairing.



