Tested Applications
| Positive WB detected in | MCF-7 cells, mouse brain tissue, mouse testis tissue, SKOV-3 cells, PC-3 cells, SH-SY5Y cells, NIH/3T3 cells, mouse ovary tissue |
Recommended dilution
| Application | Dilution |
|---|---|
| Western Blot (WB) | WB : 1:1000-1:6000 |
| It is recommended that this reagent should be titrated in each testing system to obtain optimal results. | |
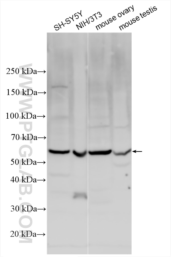
| Sample-dependent, Check data in validation data gallery. | |
Published Applications
| KD/KO | See 10 publications below |
| WB | See 64 publications below |
| IF | See 1 publications below |
| CoIP | See 1 publications below |
| ChIP | See 2 publications below |
Product Information
14007-1-AP targets ESR2 in WB, CoIP, ChIP, ELISA applications and shows reactivity with human, mouse samples.
| Tested Reactivity | human, mouse |
| Cited Reactivity | human, mouse, rat, sheep |
| Host / Isotype | Rabbit / IgG |
| Class | Polyclonal |
| Type | Antibody |
| Immunogen |
CatNo: Ag5103 Product name: Recombinant human ESR2 protein Source: e coli.-derived, PGEX-4T Tag: GST Domain: 1-323 aa of BC024181 Sequence: MDIKNSPSSLNSPSSYNCSQSILPLEHGSIYIPSSYVDSHHEYPAMTFYSPAVMNYSIPSNVTNLEGGPGRQTTSPNVLWPTPGHLSPLVVHRQLSHLYAEPQKSPWCEARSLEHTLPVNRETLKRKVSGNRCASPVTGPGSKRDAHFCAVCSDYASGYHYGVWSCEGCKAFFKRSIQGHNDYICPATNQCTIDKNRRKSCQACRLRKCYEVGMVKCGSRRERCGYRLVRRQRSADEQLHCAGKAKRSGGHAPRVRELLLDALSPEQLVLTLLEAEPPHVLISRPSAPFTEASMMMSLTKLADKELVHMISWAKKIPGMRGNA Predict reactive species |
| Full Name | estrogen receptor 2 (ER beta) |
| Calculated Molecular Weight | 59 kDa |
| Observed Molecular Weight | 50-60 kDa |
| GenBank Accession Number | BC024181 |
| Gene Symbol | ESR2 |
| Gene ID (NCBI) | 2100 |
| RRID | AB_2102386 |
| Conjugate | Unconjugated |
| Form | Liquid |
| Purification Method | Antigen affinity purification |
| UNIPROT ID | Q92731 |
| Storage Buffer | PBS with 0.02% sodium azide and 50% glycerol, pH 7.3. |
| Storage Conditions | Store at -20°C. Stable for one year after shipment. Aliquoting is unnecessary for -20oC storage. 20ul sizes contain 0.1% BSA. |
Background Information
Estrogen receptor-beta (ESR2) is a member of the superfamily of nuclear receptors, which can transduce extracellular signals into transcriptional responses. It binds estrogens with an affinity similar to that of ESR1, and activates expression of reporter genes containing estrogen response elements (ERE) in an estrogen-dependent manner. DNA-binding by ESR1 and ESR2 is rapidly lost at 37 degrees Celsius in the absence of ligand while in the presence of 17 beta-estradiol and 4-hydroxy-tamoxifen loss in DNA-binding at elevated temperature is more gradual. ESR2 exists various isoforms and range of calculated molecular weight of isoforms is 50-60 kDa. The experiment detected two bands for ESR2 in isolated human germ cells, one at 60 kDa and a weaker one at 50 kDa(PMID:14766008).
Protocols
| Product Specific Protocols | |
|---|---|
| WB protocol for ESR2 antibody 14007-1-AP | Download protocol |
| Standard Protocols | |
|---|---|
| Click here to view our Standard Protocols |
Publications
| Species | Application | Title |
|---|---|---|
J Biomed Sci Dioscin promotes osteoblastic proliferation and differentiation via Lrp5 and ER pathway in mouse and human osteoblast-like cell lines. | ||
ACS Sens Estrogen Receptor β-Targeted Near-Infrared Inherently Fluorescent Probe: A Potent Tool for Estrogen Receptor β Research. | ||
Int J Cancer ERβ promoted invadopodia formation-mediated non-small cell lung cancer metastasis via the ICAM1/p-Src/p-Cortactin signaling pathway
| ||
Int J Cancer Estrogen and insulin-like growth factor synergistically promote the development of lung adenocarcinoma in mice. | ||
Fertil Steril Elevated maternal androgen is associated with dysfunctional placenta and lipid disorder in newborns of mothers with polycystic ovary syndrome. |
Reviews
The reviews below have been submitted by verified Proteintech customers who received an incentive for providing their feedback.
FH Anna (Verified Customer) (10-04-2022) | No specific reaction - positive reaction should be visible only in nucleus but in our staining is present also in the cytoplasm. Moreover, we used the material from knockout mice without ESR2 and we observed response in this slices to this receptor. I have a problem with attaching a photo file. Please check the file below. https://drive.google.com/file/d/15d3t6thx7rcWyN-_DkkKCtpAMyi8jxHO/view
|
FH Kenneth (Verified Customer) (01-08-2020) | N/A
|









