Tested Applications
| Positive WB detected in | Neuro-2a cells, C6 cells, mouse brain tissue | 
| Positive IP detected in | mouse brain tissue | 
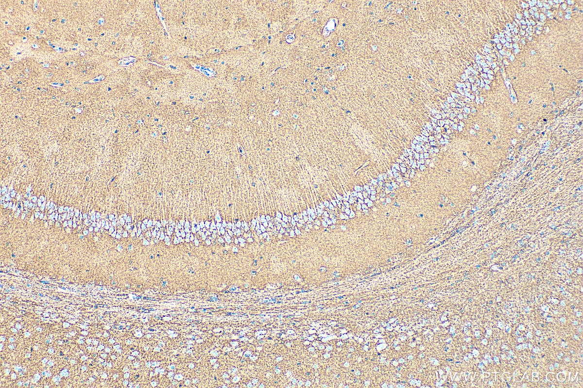
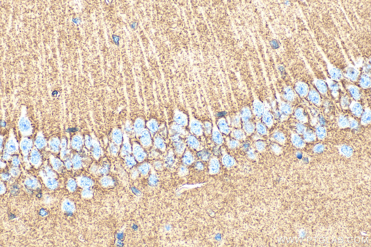
| Positive IHC detected in | mouse brain tissue, rat brain tissue Note: suggested antigen retrieval with TE buffer pH 9.0; (*) Alternatively, antigen retrieval may be performed with citrate buffer pH 6.0 | 
| Positive IF/ICC detected in | Neuro-2a cells | 
| Positive FC (Intra) detected in | Neuro-2a cells | 
Recommended dilution
| Application | Dilution | 
|---|---|
| Western Blot (WB) | WB : 1:500-1:2000 | 
| Immunoprecipitation (IP) | IP : 0.5-4.0 ug for 1.0-3.0 mg of total protein lysate | 
| Immunohistochemistry (IHC) | IHC : 1:200-1:800 | 
| Immunofluorescence (IF)/ICC | IF/ICC : 1:200-1:800 | 
| Flow Cytometry (FC) (INTRA) | FC (INTRA) : 0.40 ug per 10^6 cells in a 100 µl suspension | 
| It is recommended that this reagent should be titrated in each testing system to obtain optimal results. | |
| Sample-dependent, Check data in validation data gallery. | |
Published Applications
| KD/KO | See 1 publications below | 
| WB | See 23 publications below | 
| IHC | See 2 publications below | 
| IF | See 11 publications below | 
| IP | See 1 publications below | 
| CoIP | See 1 publications below | 
Product Information
20785-1-AP targets GLAST/EAAT1 in WB, IHC, IF/ICC, FC (Intra), IP, CoIP, ELISA applications and shows reactivity with human, mouse, rat samples.
| Tested Reactivity | human, mouse, rat | 
| Cited Reactivity | human, mouse, rat, cow | 
| Host / Isotype | Rabbit / IgG | 
| Class | Polyclonal | 
| Type | Antibody | 
| Immunogen | CatNo: Ag14177 Product name: Recombinant human SLC1A3 protein Source: e coli.-derived, PGEX-4T Tag: GST Domain: 471-542 aa of BC037310 Sequence: VDWFLDRLRTTTNVLGDSLGAGIVEHLSRHELKNRDVEMGNSVIEENEMKKPYQLIAQDNETEKPIDSETKMPredict reactive species | 
| Full Name | solute carrier family 1 (glial high affinity glutamate transporter), member 3 | 
| Calculated Molecular Weight | 542 aa, 60 kDa | 
| Observed Molecular Weight | 50-55 kDa, 90-100 kDa | 
| GenBank Accession Number | BC037310 | 
| Gene Symbol | GLAST | 
| Gene ID (NCBI) | 6507 | 
| RRID | AB_2878738 | 
| Conjugate | Unconjugated | 
| Form | Liquid | 
| Purification Method | Antigen affinity purification | 
| UNIPROT ID | P43003 | 
| Storage Buffer | PBS with 0.02% sodium azide and 50% glycerol, pH 7.3. | 
| Storage Conditions | Store at -20°C. Stable for one year after shipment. Aliquoting is unnecessary for -20oC storage. 20ul sizes contain 0.1% BSA. | 
Background Information
SLC1A3, also known as EAAT-1 or GLAST, is a membrane-bound protein localized in glial cells and pre-synaptic glutamatergic nerve endings. It transports the excitatory neurotransmitters L-glutamate and D-aspartate, which is essential for terminating the postsynaptic acction of glutamate. Recently, a correlation between expression/function of glial EAAT-1 and tumor proliferation has been reported. The exceptionally rare expression of EAAT-1 in non-neoplastic choroid plexus (CP) compared to choroid plexus tumors (CPT) may distinguishes neoplastic from normal CP. There are a number of splicing variants of SLC1A3, like GLAST1a and GLAST1b, exist due to the exon skipping. It also undergo glycosylation. Variety of bands can be observed in the western blotting assay: 50-55 kDa represents the unglycosylated GLAST1a or GLAST1b, 65-70 kDa correspond to the glycosylated proteins, larger proteins between 90-130 kDa may be the multimers of SLC1A3. (11086157, 17471058, 12546822)
Protocols
| Product Specific Protocols | |
|---|---|
| IF protocol for GLAST/EAAT1 antibody 20785-1-AP | Download protocol | 
| IP protocol for GLAST/EAAT1 antibody 20785-1-AP | Download protocol | 
| WB protocol for GLAST/EAAT1 antibody 20785-1-AP | Download protocol | 
| Standard Protocols | |
|---|---|
| Click here to view our Standard Protocols | 
Publications
| Species | Application | Title | 
|---|---|---|
| Nucleic Acids Res H2A.Z.1 crosstalk with H3K56-acetylation controls gliogenesis through the transcription of folate receptor. | ||
| Cell Rep SOX2 is essential for astrocyte maturation and its deletion leads to hyperactive behavior in mice | ||
| Cell Death Differ RNF20 controls astrocytic differentiation through epigenetic regulation of STAT3 in the developing brain. | ||
| J Neuroimmune Pharmacol Brain-Derived Exosomal CircRNAs in Plasma Serve as Diagnostic Biomarkers for Acute Ischemic Stroke | ||
| Biochem Pharmacol Regulatory roles of histamine receptor in astrocytic glutamate clearance under conditions of increased glucose variability | ||
| Neuropharmacology Ginsenoside Rb1 confers neuroprotection via promotion of glutamate transporters in a mouse model of Parkinson's disease. | 
Reviews
The reviews below have been submitted by verified Proteintech customers who received an incentive for providing their feedback.
| FH Ryan (Verified Customer) (02-14-2018) | NaCit antigen retrieval ph = 6 
  | 
| FH Ryan (Verified Customer) (01-24-2018) | Antigen retrieval - 0.1M Tris-HCl ph9 
  | 


















