Tested Applications
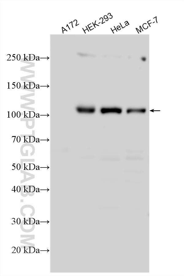
| Positive WB detected in | HEK-293 cells, HeLa cells, MCF-7 cells, NIH/3T3 cells, LNCaP cells, HepG2 cells, Jurkat cells, K-562 cells, 4T1 cells |
| Positive IHC detected in | mouse skeletal muscle tissue Note: suggested antigen retrieval with TE buffer pH 9.0; (*) Alternatively, antigen retrieval may be performed with citrate buffer pH 6.0 |
| Positive IF/ICC detected in | HeLa cells |
| Positive FC (Intra) detected in | HepG2 cells |
Recommended dilution
| Application | Dilution |
|---|---|
| Western Blot (WB) | WB : 1:5000-1:20000 |
| Immunohistochemistry (IHC) | IHC : 1:250-1:1000 |
| Immunofluorescence (IF)/ICC | IF/ICC : 1:375-1:1500 |
| Flow Cytometry (FC) (INTRA) | FC (INTRA) : 0.25 ug per 10^6 cells in a 100 µl suspension |
| It is recommended that this reagent should be titrated in each testing system to obtain optimal results. | |
| Sample-dependent, Check data in validation data gallery. | |
Published Applications
| KD/KO | See 2 publications below |
| WB | See 89 publications below |
| IHC | See 21 publications below |
| IF | See 13 publications below |
| CoIP | See 2 publications below |
Product Information
66974-1-Ig targets Hexokinase 2 in WB, IHC, IF/ICC, FC (Intra), CoIP, ELISA applications and shows reactivity with human, mouse, rat samples.
| Tested Reactivity | human, mouse, rat |
| Cited Reactivity | human, mouse, rat, pig, monkey |
| Host / Isotype | Mouse / IgG1 |
| Class | Monoclonal |
| Type | Antibody |
| Immunogen |
CatNo: Ag16895 Product name: Recombinant human HK2 protein Source: e coli.-derived, PET28a Tag: 6*His Domain: 568-917 aa of BC021116 Sequence: HGTGDELFDHIVQCIADFLEYMGMKGVSLPLGFTFSFPCQQNSLDESILLKWTKGFKASGCEGEDVVTLLKEAIHRREEFDLDVVAVVNDTVGTMMTCGFEDPHCEVGLIVGTGSNACYMEEMRNVELVEGEEGRMCVNMEWGAFGDNGCLDDFRTEFDVAVDELSLNPGKQRFEKMISGMYLGEIVRNILIDFTKRGLLFRGRISERLKTRGIFETKFLSQIESDCLALLQVRAILQHLGLESTCDDSIIVKEVCTVVARRAAQLCGAGMAAVVDRIRENRGLDALKVTVGVDGTLYKLHPHFAKVMHETVKDLAPKCDVSFLQSEDGSGKGAALITAVACRIREAGQR Predict reactive species |
| Full Name | hexokinase 2 |
| Calculated Molecular Weight | 102 kDa |
| Observed Molecular Weight | 102-120 kDa |
| GenBank Accession Number | BC021116 |
| Gene Symbol | Hexokinase 2 |
| Gene ID (NCBI) | 3099 |
| RRID | AB_2882294 |
| Conjugate | Unconjugated |
| Form | Liquid |
| Purification Method | Protein G purification |
| UNIPROT ID | P52789 |
| Storage Buffer | PBS with 0.02% sodium azide and 50% glycerol, pH 7.3. |
| Storage Conditions | Store at -20°C. Stable for one year after shipment. Aliquoting is unnecessary for -20oC storage. 20ul sizes contain 0.1% BSA. |
Background Information
Hexokinase 2 (HK2), a rate-limiting enzyme in the first step of glycolysis pathway, expresses at high level in cancer cells compared with normal cells. HK2 provides a new target for cancer therapy due to its pivotal role in tumor tumourigenic and metastatic process. HK1 is constitutively expressed in most mammalian adult tissues. HK2, however, although is abundantly expressed in embryonic tissues, is expressed at high levels only in limited number of adult tissues such as adipose, skeletal, and cardiac muscles. (PMID: 29305912, PMID: 28427443, PMID: 23911236). The antibody also recognizes Hexokinase 1.
Protocols
| Product Specific Protocols | |
|---|---|
| FC protocol for Hexokinase 2 antibody 66974-1-Ig | Download protocol |
| IF protocol for Hexokinase 2 antibody 66974-1-Ig | Download protocol |
| IHC protocol for Hexokinase 2 antibody 66974-1-Ig | Download protocol |
| WB protocol for Hexokinase 2 antibody 66974-1-Ig | Download protocol |
| Standard Protocols | |
|---|---|
| Click here to view our Standard Protocols |
Publications
| Species | Application | Title |
|---|---|---|
Cell Metab High dietary fructose promotes hepatocellular carcinoma progression by enhancing O-GlcNAcylation via microbiota-derived acetate | ||
Nat Commun Near-infrared light-driven metabolic reprogramming of synoviocytes for the treatment of rheumatoid arthritis | ||
Small A Constant Filgotinib Delivery Adhesive Platform Based on Polyethylene Glycol (PEG) Hydrogel for Accelerating Wound Healing via Restoring Macrophage Mitochondrial Homeostasis | ||
Emerg Microbes Infect The regulation of cell homeostasis and antiviral innate immunity by autophagy during classical swine fever virus infection | ||
Clin Transl Med USP7 promotes non-small-cell lung cancer cell glycolysis and survival by stabilizing and activating c-Abl | ||
Br J Pharmacol HSP90β shapes the fate of Th17 cells with the help of glycolysis-controlled methylation modification |









