Tested Applications
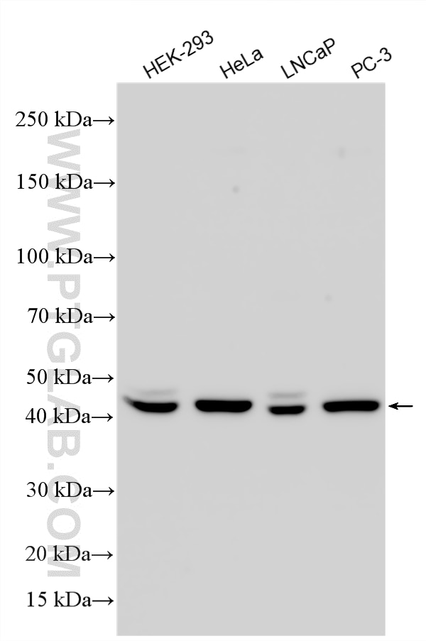
| Positive WB detected in | HEK-293 cells, HeLa cells, human placenta tissue, PC-3 cells, LNCaP cells |
| Positive IP detected in | HEK-293 cells |
| Positive IHC detected in | mouse kidney tissue, human pancreas tissue Note: suggested antigen retrieval with TE buffer pH 9.0; (*) Alternatively, antigen retrieval may be performed with citrate buffer pH 6.0 |
| Positive IF/ICC detected in | HepG2 cells, MCF-7 cells |
Recommended dilution
| Application | Dilution |
|---|---|
| Western Blot (WB) | WB : 1:1000-1:8000 |
| Immunoprecipitation (IP) | IP : 0.5-4.0 ug for 1.0-3.0 mg of total protein lysate |
| Immunohistochemistry (IHC) | IHC : 1:50-1:500 |
| Immunofluorescence (IF)/ICC | IF/ICC : 1:10-1:100 |
| It is recommended that this reagent should be titrated in each testing system to obtain optimal results. | |
| Sample-dependent, Check data in validation data gallery. | |
Published Applications
| WB | See 5 publications below |
| IHC | See 1 publications below |
| IF | See 1 publications below |
Product Information
13996-1-AP targets PARD6B in WB, IHC, IF/ICC, IP, ELISA applications and shows reactivity with human, mouse, rat samples.
| Tested Reactivity | human, mouse, rat |
| Cited Reactivity | human, mouse, rat |
| Host / Isotype | Rabbit / IgG |
| Class | Polyclonal |
| Type | Antibody |
| Immunogen |
CatNo: Ag5083 Product name: Recombinant human PARD6B protein Source: e coli.-derived, PGEX-4T Tag: GST Domain: 1-372 aa of BC060847 Sequence: MNRSHRHGAGSGCLGTMEVKSKFGAEFRRFSLERSKPGKFEEFYGLLQHVHKIPNVDVLVGYADIHGDLLPINNDDNYHKAVSTANPLLRIFIQKKEEADYSAFGTDTLIKKKNVLTNVLRPDNHRKKPHIVISMPQDFRPVSSIIDVDILPETHRRVRLYKYGTEKPLGFYIRDGSSVRVTPHGLEKVPGIFISRLVPGGLAQSTGLLAVNDEVLEVNGIEVSGKSLDQVTDMMIANSRNLIITVRPANQRNNVVRNSRTSGSSGQSTDNSLLGYPQQIEPSFEPEDEDSEEDDIIIEDNGVPQQIPKAVPNTESLESLTQIELSFESGQNGFIPSNEVSLAAIASSSNTEFETHAPDQKLLEEDGTIITL Predict reactive species |
| Full Name | par-6 partitioning defective 6 homolog beta (C. elegans) |
| Calculated Molecular Weight | 41 kDa |
| Observed Molecular Weight | 50-53 kDa |
| GenBank Accession Number | BC060847 |
| Gene Symbol | PARD6B |
| Gene ID (NCBI) | 84612 |
| RRID | AB_2159779 |
| Conjugate | Unconjugated |
| Form | Liquid |
| Purification Method | Antigen affinity purification |
| UNIPROT ID | Q9BYG5 |
| Storage Buffer | PBS with 0.02% sodium azide and 50% glycerol, pH 7.3. |
| Storage Conditions | Store at -20°C. Stable for one year after shipment. Aliquoting is unnecessary for -20oC storage. 20ul sizes contain 0.1% BSA. |
Background Information
PARD6B (also named PAR6B) is a member of the PAR6 family. PARD6B is known to play a key role in mammary epithelial cell biology. Several studies have been reported which indicate deregulated PARD6B signaling contributes to malignant epithelial cell phenotypes due predominantly to disrupted polymerization and maintenance of tight junctions (PMID: 22957302). The approximately 4.8-kb long PARD6B mRNA was predominantly detected in both adult and fetal kidneys, while much weaker but significant signals were observed in the placenta, lung, and liver (PMID: 11260256). This antibody detects PARD6B with an apparent molecular weight of 50-53 kDa as has been demonstrated by several researches (PMID: 22496418; 25662318).
Protocols
| Product Specific Protocols | |
|---|---|
| IF protocol for PARD6B antibody 13996-1-AP | Download protocol |
| IHC protocol for PARD6B antibody 13996-1-AP | Download protocol |
| IP protocol for PARD6B antibody 13996-1-AP | Download protocol |
| WB protocol for PARD6B antibody 13996-1-AP | Download protocol |
| Standard Protocols | |
|---|---|
| Click here to view our Standard Protocols |
Publications
| Species | Application | Title |
|---|---|---|
iScience Induced retinal pigment epithelial cells with anti-epithelial-to-mesenchymal transition ability delay retinal degeneration | ||
PLoS One PKCζ and JNK signaling regulate radiation-induced compensatory proliferation in parotid salivary glands. | ||
Theriogenology Influence of Wilms' tumor suppressor gene WT1 on bovine Sertoli cells polarity and tight junctions via non-canonical WNT signaling pathway. | ||
Stem Cell Res Ther The PAR6B-PRKCI-PAR3 complex influences alveolar regeneration in patients with the emphysema subtype of chronic obstructive pulmonary disease | ||
J Agric Food Chem Discovery and Functional Characterization of a Recombinant Fragment of Human Collagen Type XVII | ||
Cancer Lett Oncogenic functions and therapeutic potentials of targeted inhibition of SMARCAL1 in small cell lung cancer |























