Tested Applications
| Positive WB detected in | HeLa cells, mouse embryo tissue, Y79 cells, mouse retina tissue, rat brain tissue |
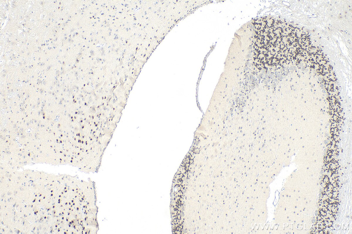
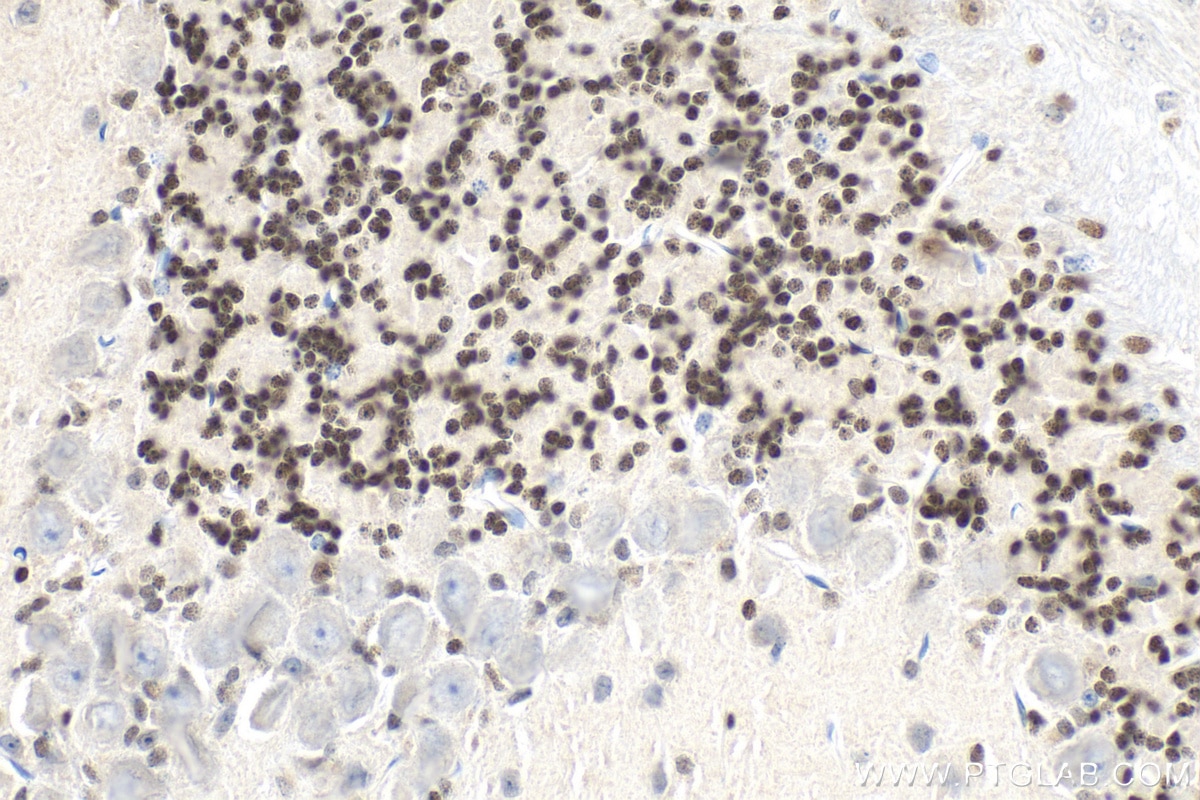
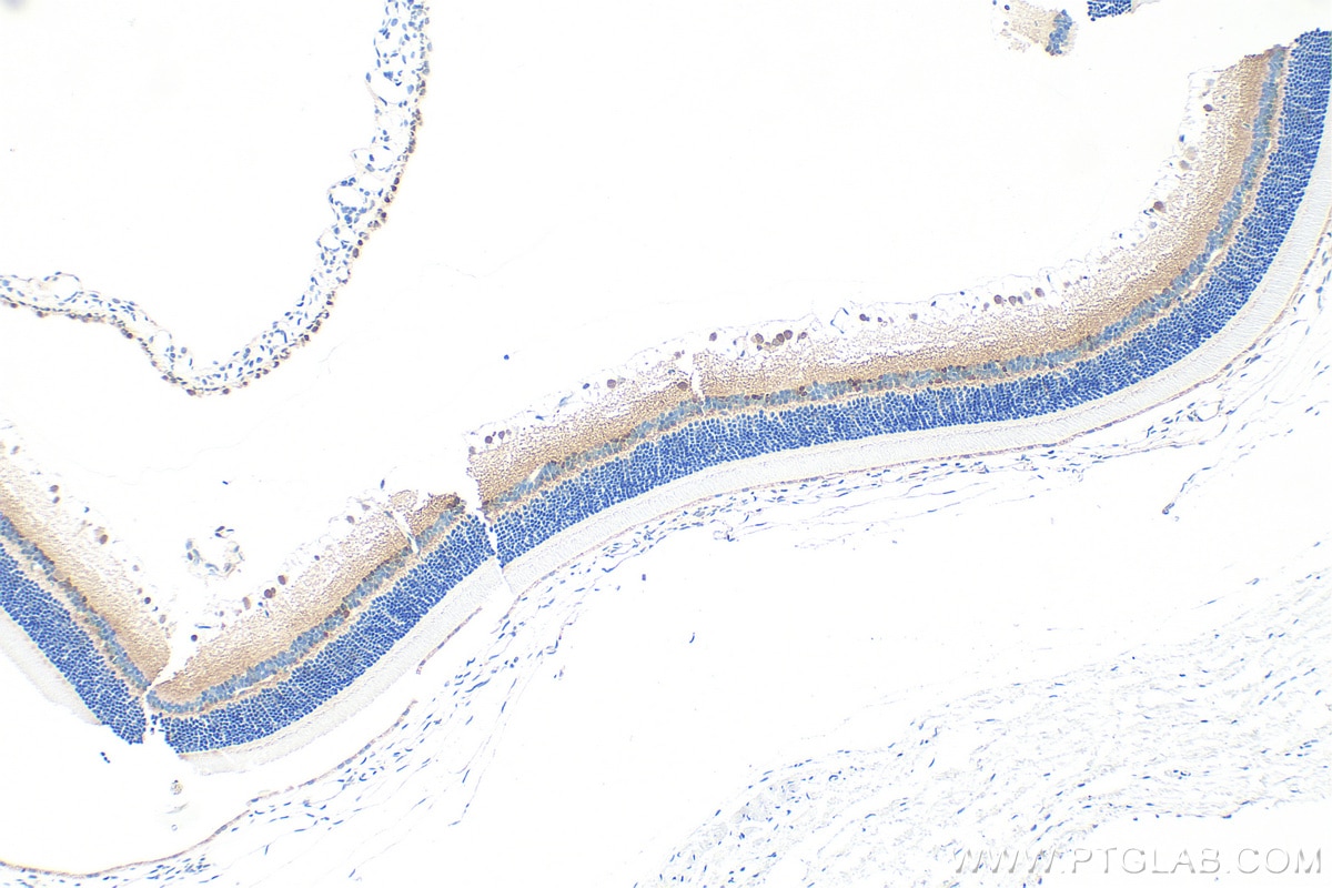
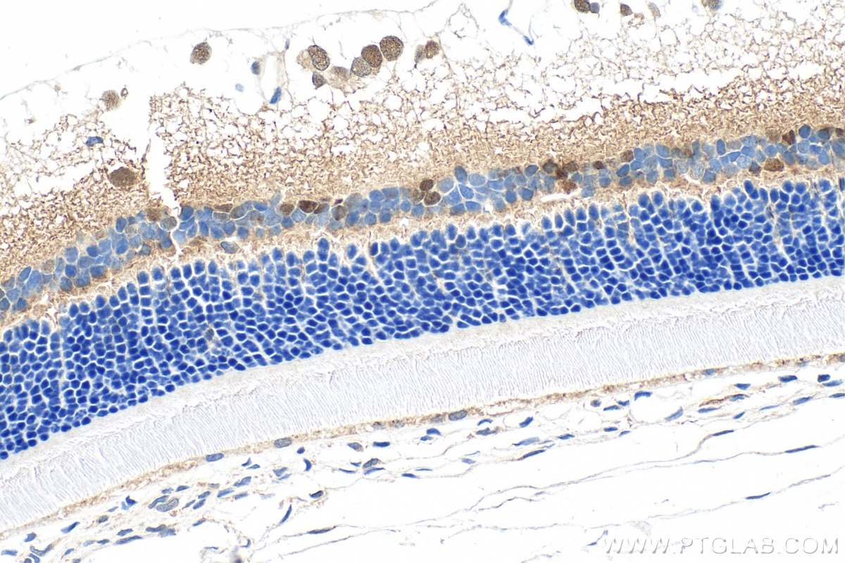
| Positive IHC detected in | rat eye tissue, human retinoblastoma tissue, mouse brain tissue, mouse cerebellum tissue, mouse embryo tissue, mouse eye tissue Note: suggested antigen retrieval with TE buffer pH 9.0; (*) Alternatively, antigen retrieval may be performed with citrate buffer pH 6.0 |
| Positive IF-P detected in | mouse eye tissue, rat eye tissue |
| Positive IF detected in | Retinal organoids, iPS cells |
| Positive FC (Intra) detected in | SH-SY5Y cells |
Recommended dilution
| Application | Dilution |
|---|---|
| Western Blot (WB) | WB : 1:5000-1:50000 |
| Immunohistochemistry (IHC) | IHC : 1:1000-1:4000 |
| Immunofluorescence (IF)-P | IF-P : 1:50-1:500 |
| Immunofluorescence (IF) | IF : 1:10-1:100 |
| Flow Cytometry (FC) (INTRA) | FC (INTRA) : 0.40 ug per 10^6 cells in a 100 µl suspension |
| It is recommended that this reagent should be titrated in each testing system to obtain optimal results. | |
| Sample-dependent, Check data in validation data gallery. | |
Published Applications
| KD/KO | See 1 publications below |
| WB | See 22 publications below |
| IHC | See 8 publications below |
| IF | See 62 publications below |
Product Information
12323-1-AP targets PAX6 in WB, IHC, IF, IF-P, FC (Intra), ELISA applications and shows reactivity with human, mouse, rat samples.
| Tested Reactivity | human, mouse, rat |
| Cited Reactivity | human, mouse, rat, monkey, zebrafish |
| Host / Isotype | Rabbit / IgG |
| Class | Polyclonal |
| Type | Antibody |
| Immunogen |
CatNo: Ag2984 Product name: Recombinant human PAX6 protein Source: e coli.-derived, PGEX-4T Tag: GST Domain: 1-330 aa of BC011953 Sequence: MQNSHSGVNQLGGVFVNGRPLPDSTRQKIVELAHSGARPCDISRILQVSNGCVSKILGRYYETGSIRPRAIGGSKPRVATPEVVSKIAQYKRECPSIFAWEIRDRLLSEGVCTNDNIPSVSSINRVLRNLASEKQQMGADGMYDKLRMLNGQTGSWGTRPGWYPGTSVPGQPTQDGCQQQEGGGENTNSISSNGEDSDEAQMRLQLKRKLQRNRTSFTQEQIEALEKEFERTHYPDVFARERLAAKIDLPEARIQVWFSNRRAKWRREEKLRNQRRQASNTPSHIPISSSFSTSVYQPIPQPTTPVSSFTSGSMLGRTDTALTNTYSALP Predict reactive species |
| Full Name | paired box 6 |
| Calculated Molecular Weight | 47 kDa |
| Observed Molecular Weight | 47 kDa |
| GenBank Accession Number | BC011953 |
| Gene Symbol | PAX6 |
| Gene ID (NCBI) | 5080 |
| RRID | AB_2159695 |
| Conjugate | Unconjugated |
| Form | Liquid |
| Purification Method | Antigen affinity purification |
| UNIPROT ID | P26367 |
| Storage Buffer | PBS with 0.02% sodium azide and 50% glycerol, pH 7.3. |
| Storage Conditions | Store at -20°C. Stable for one year after shipment. Aliquoting is unnecessary for -20oC storage. 20ul sizes contain 0.1% BSA. |
Background Information
Background
Paired-box 6 (Pax6) is a highly conserved nuclear transcription factor that is key in neural tissue development, particularly eye morphogenesis.
What is the molecular weight of Pax6?
46.6 kDa. Pax6 is composed of 422 amino acids and contains a paired domain and a homeodomain.
What is the role of Pax6 in development?
In embryos, Pax6 is expressed in the developing central nervous system (CNS), eye, nose, and also in the pancreas. As a transcription factor, Pax6 is one of the earliest genes expressed in the eye and regulates the expression of many genes required for retinal and olfactory development (PMID: 10461206). The broad expression of Pax6 in the neuroectoderm, which develops to the CNS, makes it a useful marker for neural stem cells (PMID: 20621053).
The homology of Pax6 to the Drosophila gene eyeless and the mouse gene Small eye highlights its importance across a wide spectrum of organisms. In model organisms such as flies or mice, a dramatic phenotype can be seen. Mutations in eyeless lead to ectopic eye development and mice with heterozygote small eye mutations do not develop eyes or nasal cavities, and homozygote small eye mice do not survive (PMID: 7892602; PMID 8875254).
What is the role of Pax6 in eye disease?
Due to its key role as a master regulator in eye development, mutations in Pax6 have been associated with many different eye diseases. In humans, premature stop signals that lead to the production of a truncated protein have been found to cause aniridia, the absence of an iris (PMID: 19898691). Single amino acid mutations in Pax6 may lead to Peters' anomaly, which causes thinning and clouding of the cornea (PMID: 8162071).
Protocols
| Product Specific Protocols | |
|---|---|
| FC protocol for PAX6 antibody 12323-1-AP | Download protocol |
| IF protocol for PAX6 antibody 12323-1-AP | Download protocol |
| IHC protocol for PAX6 antibody 12323-1-AP | Download protocol |
| WB protocol for PAX6 antibody 12323-1-AP | Download protocol |
| Standard Protocols | |
|---|---|
| Click here to view our Standard Protocols |
Publications
| Species | Application | Title |
|---|---|---|
Cell Stem Cell Engineering Genetic Predisposition in Human Neuroepithelial Stem Cells Recapitulates Medulloblastoma Tumorigenesis. | ||
Cell Stem Cell Chemical-induced chromatin remodeling reprograms mouse ESCs to totipotent-like stem cells. | ||
Cell Metab Mitochondrial Dynamics Is Critical for the Full Pluripotency and Embryonic Developmental Potential of Pluripotent Stem Cells. | ||
Nat Commun Reliability of high-quantity human brain organoids for modeling microcephaly, glioma invasion and drug screening | ||
Cell Rep Med End binding-3 inhibitor activates regenerative program in age-related macular degeneration | ||
Reviews
The reviews below have been submitted by verified Proteintech customers who received an incentive for providing their feedback.
FH Cristine (Verified Customer) (11-09-2025) | The PAX6 antibody worked very well and with high specificity at the dilution of 1:100 after overnight incubation at 4oC in immunocytochemistry assays of neural progenitor cells derived from human induced pluripotent stem cells.
|
FH Kedar (Verified Customer) (08-28-2025) | Works well with NPCs and neurons derived from iPSCs
|
FH Christoffer (Verified Customer) (03-03-2025) | Works on adult mouse retina embedded in paraffin as well as cryo embedded postnatal (p7) mouse tissue.
|
FH Ryszard (Verified Customer) (01-19-2024) | Antibody Pax-6 Rabbit works very well on whole mount mESC-derived cerebral organoids.
|
FH Julie (Verified Customer) (01-18-2021) | This antibody works very well for immunofluorescence on human brain.
|
FH Rachel (Verified Customer) (02-01-2019) | Worked well and Proteintech employees were very helpful during the ordering process.
|





















































