Tested Applications
| Positive WB detected in | Calyculin A treated PC-3 cells |
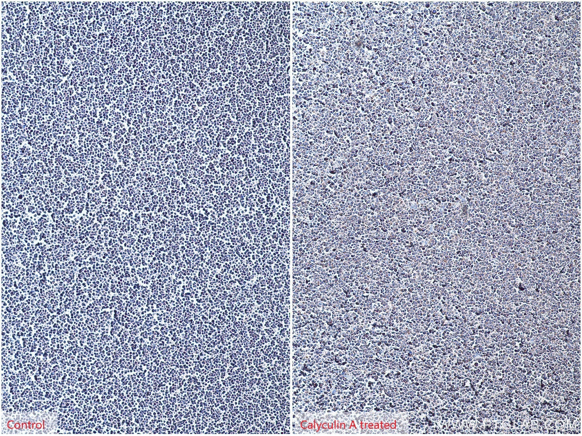
| Positive IHC detected in | Jurkat cells Note: suggested antigen retrieval with TE buffer pH 9.0; (*) Alternatively, antigen retrieval may be performed with citrate buffer pH 6.0 |
Recommended dilution
| Application | Dilution |
|---|---|
| Western Blot (WB) | WB : 1:1000-1:8000 |
| Immunohistochemistry (IHC) | IHC : 1:4000-1:16000 |
| It is recommended that this reagent should be titrated in each testing system to obtain optimal results. | |
| Sample-dependent, Check data in validation data gallery. | |
Published Applications
| WB | See 49 publications below |
| IHC | See 3 publications below |
Product Information
28740-1-AP targets Phospho-EIF2S1 (Ser51) in WB, IHC, ELISA applications and shows reactivity with human, mouse, rat samples.
| Tested Reactivity | human, mouse, rat |
| Cited Reactivity | human, mouse, rat, pig, chicken |
| Host / Isotype | Rabbit / IgG |
| Class | Polyclonal |
| Type | Antibody |
| Immunogen |
Peptide Predict reactive species |
| Full Name | eukaryotic translation initiation factor 2, subunit 1 alpha, 35kDa |
| Calculated Molecular Weight | 36 kDa |
| Observed Molecular Weight | 36 kDa |
| GenBank Accession Number | NM_004094 |
| Gene Symbol | EIF2S1 |
| Gene ID (NCBI) | 1965 |
| RRID | AB_2881204 |
| Conjugate | Unconjugated |
| Form | Liquid |
| Purification Method | Antigen affinity purification |
| UNIPROT ID | P05198 |
| Storage Buffer | PBS with 0.02% sodium azide and 50% glycerol, pH 7.3. |
| Storage Conditions | Store at -20°C. Stable for one year after shipment. Aliquoting is unnecessary for -20oC storage. 20ul sizes contain 0.1% BSA. |
Background Information
EIF2S1 is one subunit of the translation initiation factor EIF2, which catalyzes the first regulated step of protein synthesis initiation, promoting the binding of the initiator tRNA to 40S ribosomal subunits. This complex binds to a 40S ribosomal subunit, followed by mRNA binding to form a 43S preinitiation complex. Junction of the 60S ribosomal subunit to form the 80S initiation complex is preceded by hydrolysis of the GTP bound to eIF-2 and release of an eIF-2-GDP binary complex. In order for eIF-2 to recycle and catalyze another round of initiation, the GDP bound to eIF-2 must exchange with GTP by way of a reaction catalyzed by eIF-2B. This phosphorylation stabilizes the eIF2-GDP-eIF2B complex and inhibits the turnover of eIF2B. Induction of PKR by IFN-γ and TNF-α induces potent phosphorylation of eIF2α at Ser51
Protocols
| Product Specific Protocols | |
|---|---|
| IHC protocol for Phospho-EIF2S1 (Ser51) antibody 28740-1-AP | Download protocol |
| WB protocol for Phospho-EIF2S1 (Ser51) antibody 28740-1-AP | Download protocol |
| Standard Protocols | |
|---|---|
| Click here to view our Standard Protocols |
Publications
| Species | Application | Title |
|---|---|---|
Cancer Lett LIMK1 m6A-RNA methylation recognized by YTHDC2 induces 5-FU chemoresistance in colorectal cancer via endoplasmic reticulum stress and stress granule formation | ||
J Mater Chem B Magnetic hyperthermia induces effective and genuine immunogenic tumor cell death with respect to exogenous heating | ||
Oxid Med Cell Longev The Dietary Supplement γ-Oryzanol Attenuates Hepatic Ischemia Reperfusion Injury via Inhibiting Endoplasmic Reticulum Stress and HMGB1/NLRP3 Inflammasome. | ||
mBio Infectious bursal disease virus VP5 triggers host shutoff in a transcription-dependent manner | ||
J Agric Food Chem Vitamin E Mitigates Apoptosis in Ovarian Granulosa Cells by Inhibiting Zearalenone-Induced Activation of the PERK/eIF-2α/ATF4/Chop Signaling Pathway | ||
Nutrients Gut Microbiota Modulates Fgf21 Expression and Metabolic Phenotypes Induced by Ketogenic Diet |
Reviews
The reviews below have been submitted by verified Proteintech customers who received an incentive for providing their feedback.
FH Danyan (Verified Customer) (09-29-2025) | good performance, minimal background
|



