Tested Applications
| Positive WB detected in | Caco-2 cells, HEK-293 cells, HeLa cells, human brain tissue, mouse colon tissue, mouse thymus tissue, Raji cells, HCT-116 cells, Jurkat cells, K-562 cells, MCF-7 cells |
| Positive IP detected in | U-937 cells |
| Positive IF/ICC detected in | HeLa cells |
Recommended dilution
| Application | Dilution |
|---|---|
| Western Blot (WB) | WB : 1:2000-1:10000 |
| Immunoprecipitation (IP) | IP : 0.5-4.0 ug for 1.0-3.0 mg of total protein lysate |
| Immunofluorescence (IF)/ICC | IF/ICC : 1:50-1:500 |
| It is recommended that this reagent should be titrated in each testing system to obtain optimal results. | |
| Sample-dependent, Check data in validation data gallery. | |
Published Applications
| KD/KO | See 2 publications below |
| WB | See 10 publications below |
| IHC | See 3 publications below |
| IP | See 1 publications below |
| ChIP | See 2 publications below |
Product Information
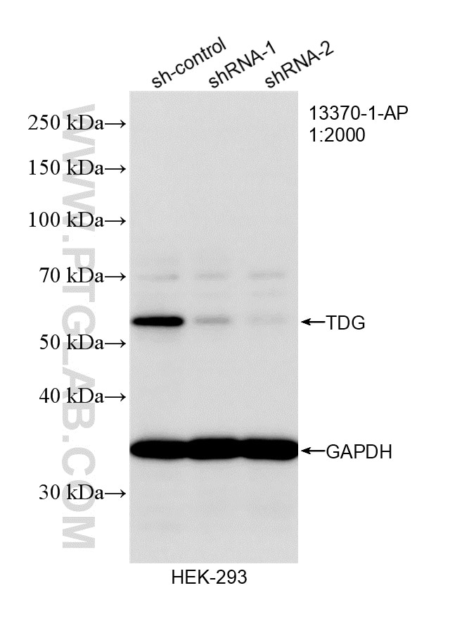
13370-1-AP targets TDG in WB, IHC, IF/ICC, IP, ChIP, ELISA applications and shows reactivity with human, mouse, rat samples.
| Tested Reactivity | human, mouse, rat |
| Cited Reactivity | human, mouse |
| Host / Isotype | Rabbit / IgG |
| Class | Polyclonal |
| Type | Antibody |
| Immunogen |
CatNo: Ag4190 Product name: Recombinant human TDG protein Source: e coli.-derived, PGEX-4T Tag: GST Domain: 1-410 aa of BC037557 Sequence: MEAENAGSYSLQQAQAFYTFPFQQLMAEAPNMAVVNEQQMPEEVPAPAPAQEPVQEAPKGRKRKPRTTEPKQPVEPKKPVESKKSGKSAKSKEKQEKITDTFKVKRKVDRFNGVSEAELLTKTLPDILTFNLDIVIIGINPGLMAAYKGHHYPGPGNHFWKCLFMSGLSEVQLNHMDDHTLPGKYGIGFTNMVERTTPGSKDLSSKEFREGGRILVQKLQKYQPRIAVFNGKCIYEIFSKEVFGVKVKNLEFGLQPHKIPDTETLCYGMPSSSARCAQFPRAQDKVHYYIKLKDLRDQLKGIERNMDVQEVQYTFDLQLAQEDAKKMAVKEEKYDPGYEAAYGGAYGENPCSSEPCGFSSNGLIESVELRGESAFSGIPNGQWMTQSFTDQIPSFSNHCGTQEQEEESHA Predict reactive species |
| Full Name | thymine-DNA glycosylase |
| Calculated Molecular Weight | 410 aa, 46 kDa |
| Observed Molecular Weight | 55-60 kDa |
| GenBank Accession Number | BC037557 |
| Gene Symbol | TDG |
| Gene ID (NCBI) | 6996 |
| RRID | AB_2271704 |
| Conjugate | Unconjugated |
| Form | Liquid |
| Purification Method | Antigen affinity purification |
| UNIPROT ID | Q13569 |
| Storage Buffer | PBS with 0.02% sodium azide and 50% glycerol, pH 7.3. |
| Storage Conditions | Store at -20°C. Stable for one year after shipment. Aliquoting is unnecessary for -20oC storage. 20ul sizes contain 0.1% BSA. |
Background Information
TDG belongs to the TDG/mug DNA glycosylase family. TDG corrects G/T mispairs to G/C pairs. It is capable of hydrolyzing the carbon-nitrogen bond between the sugar-phosphate backbone of the DNA and a mispaired thymine. In addition to the G/T, it can remove thymine also from C/T and T/T mispairs in the order G/T >> C/T > T/T. It has no detectable activity on apyrimidinic sites and does not catalyze the removal of thymine from A/T pairs or from single-stranded DNA. It can also remove uracil and 5-bromouracil from mispairs with guanine. RNF4 interacts with and requires the base excision repair enzymes TDG and APE1 for active demethylation (PMID:20696907). TDG is modified by SUMO-1 and SUMO-2/3.The molecular weight of non-modified TDG is 46 kDa and modified TDG is 55-60 kDa.
Protocols
| Product Specific Protocols | |
|---|---|
| IF protocol for TDG antibody 13370-1-AP | Download protocol |
| IP protocol for TDG antibody 13370-1-AP | Download protocol |
| WB protocol for TDG antibody 13370-1-AP | Download protocol |
| Standard Protocols | |
|---|---|
| Click here to view our Standard Protocols |
Publications
| Species | Application | Title |
|---|---|---|
J Cell Biol Oxidative stress-induced assembly of PML nuclear bodies controls sumoylation of partner proteins. | ||
Proc Natl Acad Sci U S A Identification of RING finger protein 4 (RNF4) as a modulator of DNA demethylation through a functional genomics screen.
| ||
Int J Biol Sci TDG suppresses the migration and invasion of human colon cancer cells via the DNMT3A/TIMP2 axis. | ||
J Biol Chem Thymine DNA Glycosylase is a Positive Regulator of Wnt Signaling in Colorectal Cancer. | ||
J Biol Chem CRL4Cdt2 E3 Ubiquitin Ligase and PCNA Cooperate to Degrade Thymine DNA Glycosylase in S-phase. | ||
Cell Death Dis The HOTAIRM1/miR-107/TDG axis regulates papillary thyroid cancer cell proliferation and invasion. |

















