Tested Applications
| Positive WB detected in | HeLa cells, A431 cells, HUVEC cells, K-562 cells | 
| Positive IP detected in | K-562 cells | 
| Positive IHC detected in | human appendicitis tissue Note: suggested antigen retrieval with TE buffer pH 9.0; (*) Alternatively, antigen retrieval may be performed with citrate buffer pH 6.0  | 
| Positive IF/ICC detected in | HepG2 cells | 
| Positive FC (Intra) detected in | HepG2 cells | 
Recommended dilution
| Application | Dilution | 
|---|---|
| Western Blot (WB) | WB : 1:1000-1:6000 | 
| Immunoprecipitation (IP) | IP : 0.5-4.0 ug for 1.0-3.0 mg of total protein lysate | 
| Immunohistochemistry (IHC) | IHC : 1:1000-1:4000 | 
| Immunofluorescence (IF)/ICC | IF/ICC : 1:200-1:800 | 
| Flow Cytometry (FC) (INTRA) | FC (INTRA) : 0.40 ug per 10^6 cells in a 100 µl suspension | 
| It is recommended that this reagent should be titrated in each testing system to obtain optimal results. | |
| Sample-dependent, Check data in validation data gallery. | |
Published Applications
| KD/KO | See 3 publications below | 
| WB | See 17 publications below | 
| IHC | See 9 publications below | 
| IF | See 3 publications below | 
| IP | See 1 publications below | 
| CoIP | See 1 publications below | 
| RIP | See 1 publications below | 
Product Information
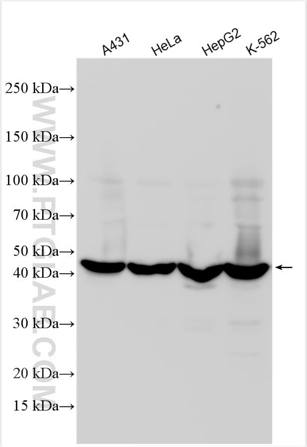
11661-1-AP targets RRM2 in WB, IHC, IF/ICC, FC (Intra), IP, CoIP, RIP, ELISA applications and shows reactivity with human samples.
| Tested Reactivity | human | 
| Cited Reactivity | human, mouse, chicken | 
| Host / Isotype | Rabbit / IgG | 
| Class | Polyclonal | 
| Type | Antibody | 
| Immunogen | 
                                             CatNo: Ag2203 Product name: Recombinant human RRM2 protein Source: e coli.-derived, PGEX-4T Tag: GST Domain: 1-389 aa of BC030154 Sequence: MLSLRVPLAPITDPQQLQLSPLKGLSLVDKENTPPALSGTRVLASKTARRIFQEPTEPKTKAAAPGVEDEPLLRENPRRFVIFPIEYHDIWQMYKKAEASFWTAEEVDLSKDIQHWESLKPEERYFISHVLAFFAASDGIVNENLVERFSQEVQITEARCFYGFQIAMENIHSEMYSLLIDTYIKDPKEREFLFNAIETMPCVKKKADWALRWIGDKEATYGERVVAFAAVEGIFFSGSFASIFWLKKRGLMPGLTFSNELISRDEGLHCDFACLMFKHLVHKPSEERVREIIINAVRIEQEFLTEALPVKLIGMNCTLMKQYIEFVADRLMLELGFSKVFRVENPFDFMENISLEGKTNFFEKRVGEYQRMGVMSSPTENSFTLDADF Predict reactive species | 
                                    
| Full Name | ribonucleotide reductase M2 polypeptide | 
| Calculated Molecular Weight | 389 aa, 45 kDa | 
| Observed Molecular Weight | 45 kDa | 
| GenBank Accession Number | BC030154 | 
| Gene Symbol | RRM2 | 
| Gene ID (NCBI) | 6241 | 
| RRID | AB_2180392 | 
| Conjugate | Unconjugated | 
| Form | Liquid | 
| Purification Method | Antigen affinity purification | 
| UNIPROT ID | P31350 | 
| Storage Buffer | PBS with 0.02% sodium azide and 50% glycerol, pH 7.3. | 
| Storage Conditions | Store at -20°C. Stable for one year after shipment. Aliquoting is unnecessary for -20oC storage. 20ul sizes contain 0.1% BSA. | 
Background Information
Ribonucleotide reductase M2 subunit is one of two subunits that constitute ribonucleotide reductase, the enzyme that catalyzes the conversion of ribonucleotide 5'-diphosphates into 2'-deoxyribonucleotides, a rate-limiting step in the production of 2'-deoxyribonucleoside 5'-diphosphates (dNTP) required for DNA synthesis and repair that is required for DNA synthesis and repair [PMID:20825972, 19250552]. RRM2 is only expressed during the late G1/early S phase, and degraded in late S phase, and the activity of RNR, and therefore DNA synthesis and cell proliferation, is controlled during the cell cycle by the synthesis and degradation of RRM2 subunit [PMID:3894352].
Protocols
| Product Specific Protocols | |
|---|---|
| IF protocol for RRM2 antibody 11661-1-AP | Download protocol | 
| IHC protocol for RRM2 antibody 11661-1-AP | Download protocol | 
| IP protocol for RRM2 antibody 11661-1-AP | Download protocol | 
| WB protocol for RRM2 antibody 11661-1-AP | Download protocol | 
| Standard Protocols | |
|---|---|
| Click here to view our Standard Protocols | 
Publications
| Species | Application | Title | 
|---|---|---|
Cell Rep The mechano-chemical circuit in fibroblasts and dendritic cells drives basal cell proliferation in psoriasis | ||
Oxid Med Cell Longev lncRNA IGF2-AS Regulates Nucleotide Metabolism by Mediating HMGA1 to Promote Pyroptosis of Endothelial Progenitor Cells in Sepsis Patients. | ||
Front Cell Dev Biol A Novel Ferroptosis-Based Molecular Signature Associated with Biochemical Recurrence-Free Survival and Tumor Immune Microenvironment of Prostate Cancer. | ||
Antiviral Res Long-term HIV-1 infection induces an antiviral state in primary macrophages. | ||
Front Oncol Novel Prognostic Signatures of Hepatocellular Carcinoma Based on Metabolic Pathway Phenotypes. | ||
Biomed Pharmacother Identification of osalmid metabolic profile and active metabolites with anti-tumor activity in human hepatocellular carcinoma cells. | 















