Tested Applications
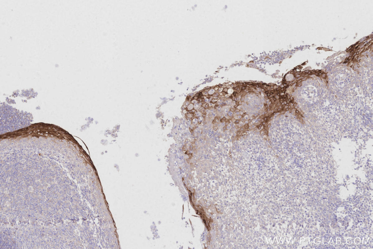
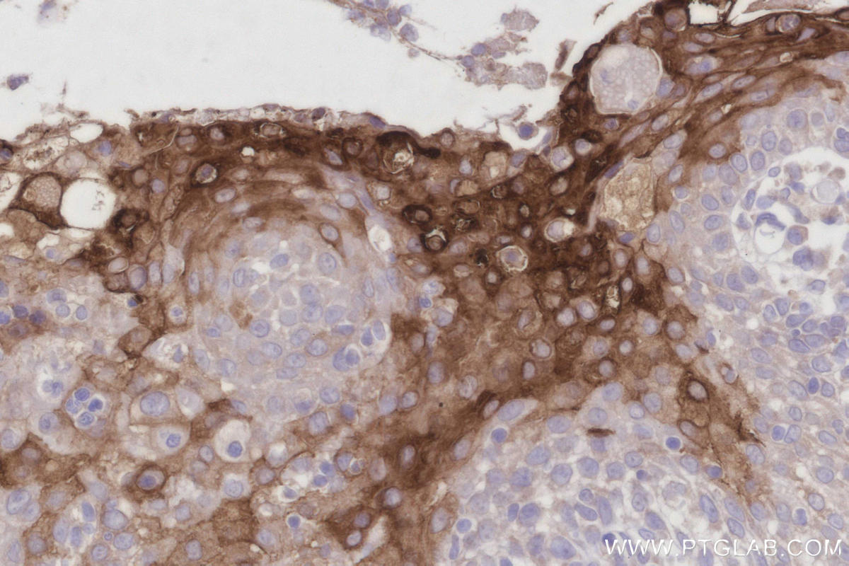
| Positive IHC detected in | human oesophagus tissue, human cervical cancer tissue, human skin tissue, human tonsillitis tissue Note: suggested antigen retrieval with TE buffer pH 9.0; (*) Alternatively, antigen retrieval may be performed with citrate buffer pH 6.0 |
Recommended dilution
| Application | Dilution |
|---|---|
| Immunohistochemistry (IHC) | IHC : 1:20-1:200 |
| It is recommended that this reagent should be titrated in each testing system to obtain optimal results. | |
| Sample-dependent, Check data in validation data gallery. | |
Published Applications
| KD/KO | See 2 publications below |
| WB | See 5 publications below |
| IHC | See 10 publications below |
| IF | See 2 publications below |
Product Information
11799-1-AP targets CRNN in WB, IHC, IF, ELISA applications and shows reactivity with human, mouse samples.
| Tested Reactivity | human, mouse |
| Cited Reactivity | human, mouse |
| Host / Isotype | Rabbit / IgG |
| Class | Polyclonal |
| Type | Antibody |
| Immunogen |
CatNo: Ag2374 Product name: Recombinant human CRNN protein Source: e coli.-derived, PGEX-4T Tag: GST Domain: 196-495 aa of BC030807 Sequence: GEGKRNQTTEMRPERQPQTREQDRAHQTGETVTGSGTQTQAGATQTVEQDSSHQTGRTSKQTQEATNDQNRGTETHGQGRSQTSQAVTGGHAQIQAGTHTQTPTQTVEQDSSHQTGSTSTQTQESTNGQNRGTEIHGQGRSQTSQAVTGGHTQIQAGSHTETVEQDRSQTVSHGGAREQGQTQTQPGSGQRWMQVSNPEAGETVPGGQAQTGASTEPGRQEWSSTHPRRCVTEGQGDRQPTVVGEEWVDDHSRETVILRLDQGNLHTSVSSAQGQDAAQSEEKRGITARELYSYLRSTKP Predict reactive species |
| Full Name | cornulin |
| Calculated Molecular Weight | 495 aa, 54 kDa |
| GenBank Accession Number | BC030807 |
| Gene Symbol | CRNN |
| Gene ID (NCBI) | 49860 |
| RRID | AB_2085497 |
| Conjugate | Unconjugated |
| Form | Liquid |
| Purification Method | Antigen affinity purification |
| UNIPROT ID | Q9UBG3 |
| Storage Buffer | PBS with 0.02% sodium azide and 50% glycerol, pH 7.3. |
| Storage Conditions | Store at -20°C. Stable for one year after shipment. Aliquoting is unnecessary for -20oC storage. 20ul sizes contain 0.1% BSA. |
Background Information
Cornulin, also known as C1orf10, is a member of the "fused gene" family of proteins, which contain N-terminus EF-hand domains and multiple tandem peptide repeats. It may play a role in the mucosal/epithelial immune response and epidermal differentiation. Specific to squamous epithelia cells, cornulin is expressed in esophagus, primary keratinocytes, scalp skin, foreskin, cervix, larynx, and fetal bladder. It may be a marker of late epidermal differentiation, and is down-regulated in eczema.
Protocols
| Product Specific Protocols | |
|---|---|
| IHC protocol for CRNN antibody 11799-1-AP | Download protocol |
| Standard Protocols | |
|---|---|
| Click here to view our Standard Protocols |
Publications
| Species | Application | Title |
|---|---|---|
J Invest Dermatol Cornulin Is Induced in Psoriasis Lesions and Promotes Keratinocyte Proliferation via Phosphoinositide 3-Kinase/Akt Pathways.
| ||
J Proteomics Plectin promotes migration and invasion of cancer cells and is a novel prognostic marker for head and neck squamous cell carcinoma. | ||
Clin Oral Investig Downregulation of CRNN gene and genomic instability at 1q21.3 in oral squamous cell carcinoma. | ||
J Thorac Cardiovasc Surg Loss of CRNN expression is associated with advanced tumor stage and poor survival in patients with esophageal squamous cell carcinoma. | ||
PLoS One Expression of Ki-67, Cornulin and ISG15 in non-involved mucosal surgical margins as predictive markers for relapse in oral squamous cell carcinoma (OSCC) | ||















