Product Information
This ready-to-use solution is specifically used for membrane blocking and antibody dilution in Western blot experiments and designed to significantly shorten the blotting workflow to around 40 minutes or less. It contains special organic compounds, which can significantly shorten the reaction time of experiments and thus improve experimental efficiency.
This product contains inert proteins of different molecular weight ranges, which can effectively reduce the background and protect the activity of the antibody. Antibody working solution diluted with this product can usually be stored at 4℃ for more than 3 months.
This product contains pathology grade preservatives and is compatible with HRP, so it can dilute primary antibodies (including phosphorylated primary antibodies), HRP-labeled primary antibodies, or secondary antibodies. It is also possible to dilute fluorescently labeled primary and secondary antibodies.
Exclusion: This product contains BSA and cannot be used to dilute anti-BSA primary antibodies. This product is a semi-transparent colloid. During storage, if the refrigerator temperature fluctuates to 0°C or below, some components may precipitate. Shake thoroughly before use. If insoluble or lumpy aggregates remain after shaking, do not use.
Storage
Store at 2-8℃ for a year.
Usage
1. Electrophoresis and membrane transfer, according to the conventional method.
2. Blocking (optional). After transferring the membrane, place the blotting membrane in the reaction box, rinsing it with washing solution (TBST or PBST) for 3-5 seconds, then discard the washing solution. Add an appropriate amount of this product (completely covering the membrane) and place it on a horizontal shaker with slow speed, then block it for ~5 minutes at room temperature or 37℃.
Note: If this product is used as the diluent in the subsequent step, the blocking step can be omitted (i.e., discard the washing solution after rinsing and add the diluted primary antibody directly). If other diluent solutions are used in the subsequent step, or if the primary antibody reaction time is planned to be extended to more than 25 minutes, it is not recommended to omit the blocking step. A 5-minute blocking step with this product is sufficient to achieve the desired result, and an extension of the time will usually not make much difference. If you want to use this step as a stopping point for the experiment, you can proceed the blocking step at 4℃ (30 minutes to 24 hours).
3. Primary antibody incubation.
3.1 Dilute the primary antibody in advance with this product. At the end of the blocking, discard the blocking solution and add an appropriate amount (completely covering the membrane) of primary antibody dilution. If there is excess primary antibody dilution, store it at 4℃.
Note: At the end of the blocking, the primary antibody dilution can be added directly without washing. If washing is required, it can be washed briefly once with a conventional washing solution.
3.2 Place the reaction box on a horizontal shaker, shake the primary antibody dilution quickly, then shake slowly for incubation at room temperature or 37℃ for 10-25 minutes, which can be shortened to less than 5 minutes for some high-affinity antibodies.
3.3 At the end of primary antibody incubation, it is recommended to use PBST or TBST buffer for washing. Place the reaction box on a horizontal shaker and add an appropriate amount of washing solution to quickly wash twice (each time for 3-5 seconds). Then use the washing solution to wash three times (1 minute each time).
4. Incubation of secondary antibody (if the primary antibody is an HRP-labeled primary antibody, this step is not necessary; directly carry out step 5).
4.1 Dilute the secondary antibody with this product in advance. After the primary antibody dilution has been washed, add an appropriate amount (completely covering the membrane) of secondary antibody dilution. If there is excess secondary antibody dilution, store it at 4°C.
4.2 Place the reaction box on a horizontal shaker with fast shaking first, then incubate the secondary antibody for 8-15 minutes at room temperature or 37°C with slow shaking.
4.3 At the end of the secondary antibody incubation, it is recommended to use PBST or TBST buffer for washing. Place the reaction box on a horizontal shaker and add an appropriate amount of washing solution to wash rapidly twice (3-5 seconds each time). Then wash it with washing solution three more times (1 minute each time).
5. After washing, the substrate can be added for chemiluminescence imager detection or darkroom imaging operation.
Caution
Before using this product, please equilibrate to room temperature (25℃) or warm up to 37℃ to ensure effectiveness. There is no significant effect on experimental results between incubation at room temperature (25℃) or at 37℃. However, if the room temperature is lower than 25℃, it is recommended to warm up the solution.
Notes
1. If you use this product for the first time, you may need to optimize the antibody dilution ratio. It is recommended to set the concentration of secondary antibody (generally 0.05-0.1 ug/mL) first, and optimize the concentration of primary antibody after setting the reaction time of primary antibody and secondary antibody.
2. If there are individual unsatisfactory results, you can adjust the concentration of the primary antibody, secondary antibody, or washing time, and optimize the imaging or exposure time appropriately.
3. The diluted primary antibody or secondary antibody can be stored at 4℃ for more than 3 months. However, the length of storage time varies among different primary or secondary antibodies, so please make your judgment on the specific stability period.
4. This product contains the preservative ProClin 300. Please wear a lab coat and disposable gloves.
5. This product is only for professional laboratory scientific research use, not for medical, food, or pharmaceutical use.
FAQ
1. Do I need to use this product for the entire duration of the blotting protocol?
A: No, it is not necessary. Just follow the recommended conditions for the steps using this product, and the steps not using this product should be done in the normal way.
2. Is there any requirement for the manufacturer of primary antibody or secondary antibody to use this product?
A: There is no requirement.
3. When using this product, what steps can be set to stop and how should they be set?
A: The optional stopping points for using this product are:
(1) Blocking (optional).
Soak the membrane directly in PBST/TBST wash solution or in this product at 4℃ as a stopping point (30 minutes to 24 hours). When restarting the experiment, move the membrane to room temperature to equilibrate the temperature for subsequent experiments.
(2) After the primary antibody.
After the primary antibody reaction, directly soak the membrane in PBST/TBST washing solution and let it stand at room temperature as a stopping point (30 minutes to 4 hours is appropriate). When restarting the experiment, the membrane should be washed 3 times with washing solution for 1 minute each time. Secondary antibody can be added after washing.
(3) After the secondary antibody.
After the secondary antibody reaction, soak the membrane directly in PBST/TBST wash solution and let it stand at room temperature as a stopping point (30 minutes to 4 hours is preferred). When restarting the experiment, the membrane should be washed 3 times with the washing solution for 1 minute each time. After washing, the substrate can be added for imaging.
4. Can I reuse the primary antibody with this dilution buffer?
A: We do not recommend reusing antibodies under any circumstances. However, if you have previously confirmed satisfactory results with recycled antibodies in prior experiments, this product may be reused in the same manner (recycled antibodies should be stored at 2-8°C). Please note that the shelf life after recycling varies between different primary antibodies, and avoid prolonged storage. During storage, if the refrigerator temperature fluctuates to 0°C or below, some components may precipitate. Shake thoroughly before use. If insoluble or lumpy aggregates remain after shaking, do not use.
Cited in Article as
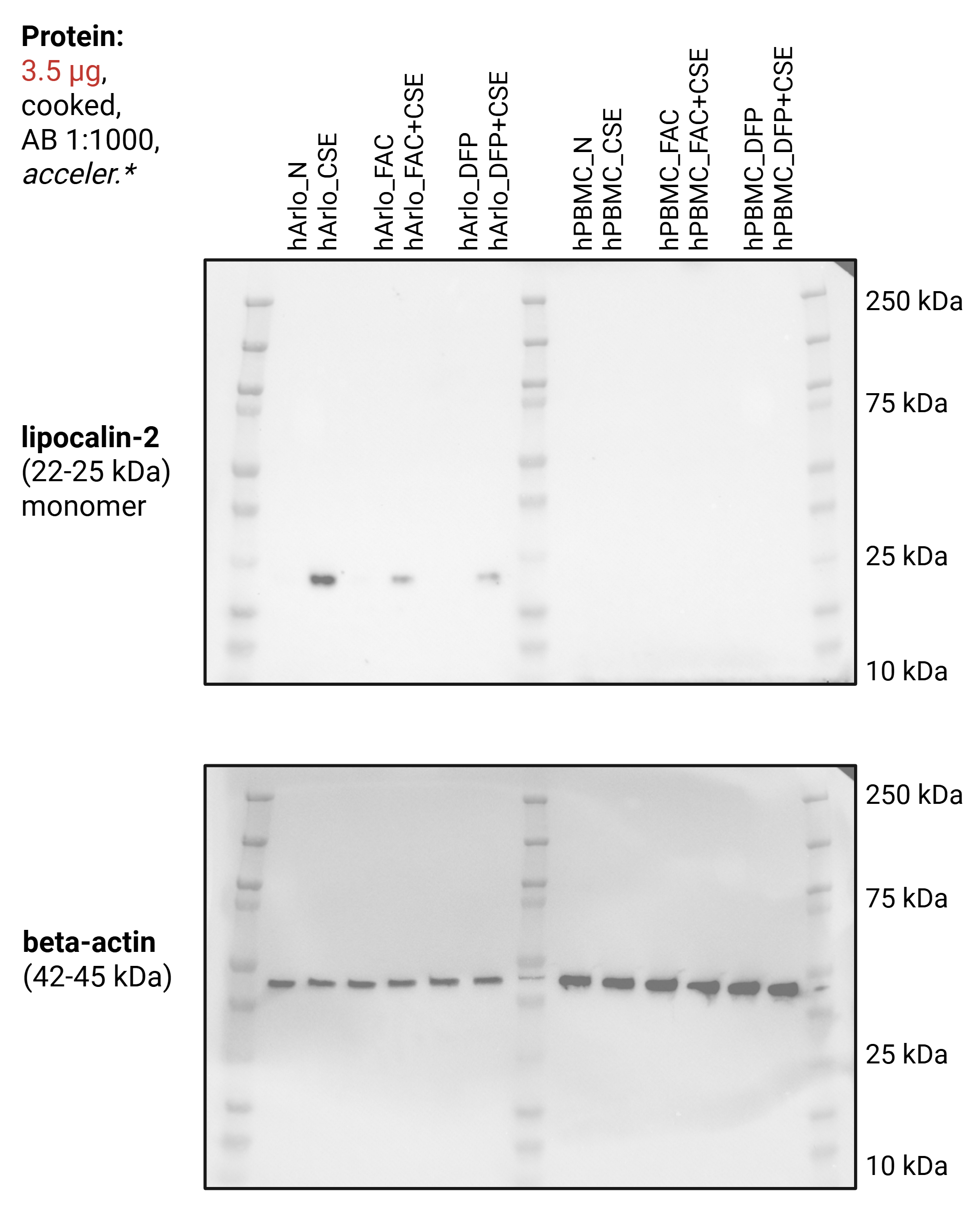
PR20039, Blotting Accelerator, Proteintech, IL, USA
Reviews
The reviews below have been submitted by verified Proteintech customers who received an incentive for providing their feedback.
FH Amina (Verified Customer) (02-27-2026) | We've been using Proteintech's Blotting Accelerator to shorten or Western Blot workflow so that we can produce quality images in the same day. Many people in the lab have had successful blots using this product which has significantly shortened the primary and secondary incubation times. Now it is something that we regularly order in the lab.
|
FH Shaliny (Verified Customer) (02-24-2026) | I helps us tremendously to produce more western blots.
|
FH Debora (Verified Customer) (02-23-2026) | I tested the Accelerator alongside our usual Western blot protocol using the same cell lysate and antibodies and I absolutely love love LOVE it! While the standard blot was still blocking, I had already finished and imaged the Accelerator blot. It saves a huge amount of time and even showed less background. I incubated at 37°C. Amazing product: faster and cleaner results!
![]() |
FH sonal (Verified Customer) (02-18-2026) | This product is amazing and very time saving. I used this for probing my blot for 30 minutes in primary with a and without blocking with same reagent followed by secondary antibody incubation for 15 minutes.
![]() |
FH Jyoti (Verified Customer) (02-06-2026) | I had the chance to test the blotting accelerator, and it is a great solution for your everyday western. I no longer have to block my membrane. This worked wonderfully when I used it as a diluent for the antibody (even without blocking the membrane), incubated it for 30 minutes at room temperature, rinsed it with TBST for 1 minute, and then did secondary incubation with this diluent for 15 minutes. The product undoubtedly reduces the workload, since I completed everything in a single day.
![]() |
FH Shivam (Verified Customer) (01-02-2026) | a BIT OF OPTIMIZATION IS NEEDED; BUT THE PRODUCT SAVES TIME SIGNIFICANTLY:
|
FH Annabel (Verified Customer) (12-18-2025) | Amazed by this product, 15 minute primary incubation, 8 minute secondary incubation, 3x 1 minute washes. Tested with 11 different antibodies, some proteintech and some CST. Great results for all.
![]() |
FH Mattia (Verified Customer) (12-15-2025) | The product is perfect and allows to develop a western blot in less than an hour
|
FH Mohammed (Verified Customer) (12-04-2025) | very nice product and you get results the same day
|
FH Roy (Verified Customer) (11-19-2025) | Worked well to get bands quickly.
|
FH Verdiana (Verified Customer) (11-18-2025) | I had the opportunity to try the blotting accelerator, using it both as a blocking agent and as an antibody diluent, and it worked very well! I also used it as a blocking agent and then added a diluted primary antibody, and it worked just as well. The product definitely shortens the workload, as I finished everything by 4:30 PM the same day. The only downside is that I almost used up the entire bottle (100ml) doing just one test. For this reason, we're not planning on purchasing it at the moment, but it's certainly a good product that we can consider when we have more funds.
![]() |
FH Nadeem (Verified Customer) (11-06-2025) | This buffer is really time saver. I could finish western blot in less time than normal. The best part is no blocking needed. Same dilution of antibodies used and better results.
|
FH Fabienne (Verified Customer) (11-05-2025) | Primary antibody was incubated for 30 minutes and secondary for 10 minutes. The results were great! Strong bands with minimal background and much faster than my usual overnight protocol.
![]() |
FH Edma (Verified Customer) (10-22-2025) | The blotting accelerator worked amazingly!
![]() |
FH Nathaniel (Verified Customer) (10-16-2025) | The Blotting Accelerator reagent has given excellent performance resulting in a huge time saving. An example is given of a loading control western blot - Leishmania mexicana promastigote form whole cell lysate (5% SDS, 50 mM TEAB) run using 1xLDS sample buffer with 25 mM DTT in BioRad TGX Stain Free polyacrylamide gels. Transferred to PVDF membrane. Probed with anti-Oligopeptidase B polyclonal antibodies (PMID: 20883728) at 1:5000 dilution and an anti-sheep HRP conjugated secondary. The rapid protocol for the blotting accelerator was used; no block, 5 minutes primary, 3x 1 minute wash, 8 minutes secondary, 3x 1 minute wash and developed with BioRad Clarity Max substrate. Has worked with other antibodies in the lab.
![]() |
FH Verena (Verified Customer) (10-14-2025) | I was initially skeptical about trying the new blotting accelerator, but after testing it with several different antibodies from well-known manufacturers (Proteintech, Abcam, Synaptic Systems, Invitrogen), I was positively surprised. It performed consistently well and was stable across all the antibodies we tested (compared to our usual Western blot protocol which involves overnight primary antibody incubation). In some cases, we noticed a slightly higher background or a somewhat weaker signal. We also tested secondary HRP-conjugated antibodies from Proteintech (#RGAR001 and #RGAM001) and Dianova, and the results were consistent across both suppliers. Overall, I’d recommend testing the accelerator with the specific antibodies you plan to use before applying it to important Western blots, as performance may vary. However, once the conditions are optimized, this blotting accelerator can significantly reduce your Western blotting time. Definitely worth a try!
|
FH Rodrigo (Verified Customer) (10-09-2025) | Excellent product! I was able to finish both primary and secondary incubations for pERK 1/2 within one hour! Moreover, I stripped the blot and reblotted for total ERK 1/2 also within an hour. This product is a game changer, it become part of my Western Blot protocol. Definitely 5/5 starts !!!
![]() |
FH Karla (Verified Customer) (10-09-2025) | This product was excellent! It really saved me time in terms of probing for my target - in this case my housekeeper gene. WB is such a long process as it is so this product really makes the probing process so much more efficient! Would highly recommend and will purchase again.
![]() |
FH Raul (Verified Customer) (10-08-2025) | The product worked fine after 20 min or o/n primary antibodies incubation.
![]() |
FH Katie (Verified Customer) (10-02-2025) | This product worked amazingly, I performed 2 blots side by side to test this product out - one using the accelerator to dilute my antibodies and one using traditional 5% milk. All the bands were stronger using the accelerator compared to using milk and the blot took a fraction of the time. I performed the SDS-PAGE, transfer and all 5 antibodies incubation and imaging in 1 day rather than 5 days so this product has really changed the way you can work in the lab.
|
FH KUAN-CHUAN (Verified Customer) (10-01-2025) | the blotting accelerator works just like the product description. I got a nice result within 2 hours after transfer step.
![]() |
FH JINFENG (Verified Customer) (09-29-2025) | It's a amazing product! It shorten every single step of Western blot. It works perfectly on those internal control protein and tag antibody. However, when detecting endogenous protein, the signal is a bit weak compared to the traditional method. Perhaps it requires a bit optimization depending on the target you are investigate in.
![]() |
FH Yeon (Verified Customer) (09-23-2025) | Wow ... .so impressive product. I was dubious about this before I tested it but the result is amazing. I have tested the buffer for my total protein (2nd proving, without stripping). After 5 minutes of blocking, I incubate the membrane in primary for 10 minute sand 8 minutes secondary. And quick wash (3s, twice) and ECL. So simple, quick and clean!
|
FH Beaunelle (Verified Customer) (08-19-2025) | Amazing product! I managed to develop in 30min after transfer and got the exact same result compared to our traditional overnight protocol with blocking step etc.
|




























