Tested Applications
| Positive WB detected in | HUVEC cells, HeLa cells, MG-63 cells, U2OS cells |
| Positive IP detected in | HUVEC cells |
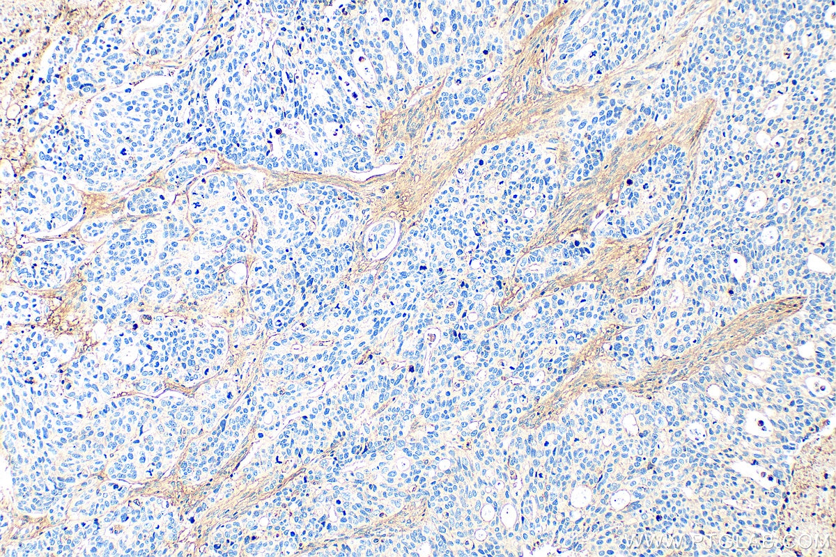
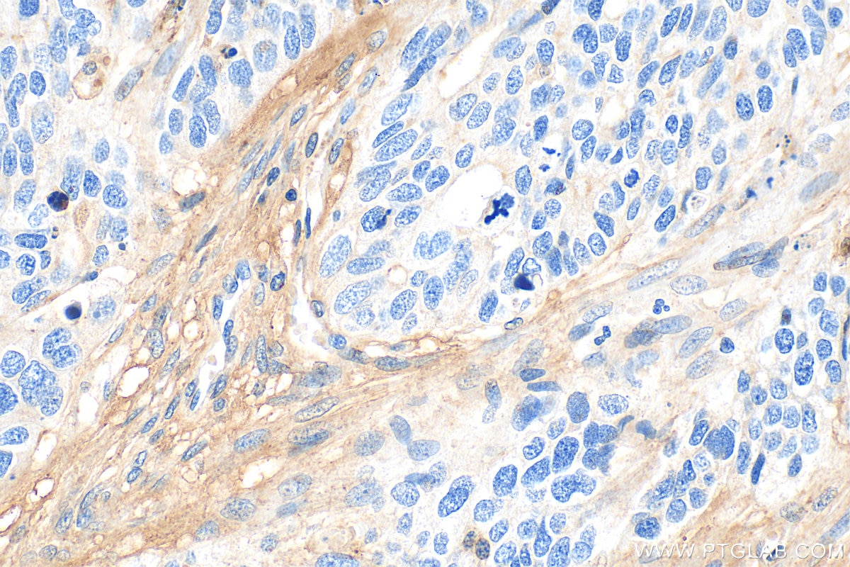
| Positive IHC detected in | human ovary tumor tissue, mouse colon tissue Note: suggested antigen retrieval with TE buffer pH 9.0; (*) Alternatively, antigen retrieval may be performed with citrate buffer pH 6.0 |
Recommended dilution
| Application | Dilution |
|---|---|
| Western Blot (WB) | WB : 1:1000-1:8000 |
| Immunoprecipitation (IP) | IP : 0.5-4.0 ug for 1.0-3.0 mg of total protein lysate |
| Immunohistochemistry (IHC) | IHC : 1:200-1:800 |
| It is recommended that this reagent should be titrated in each testing system to obtain optimal results. | |
| Sample-dependent, Check data in validation data gallery. | |
Published Applications
| KD/KO | See 2 publications below |
| WB | See 57 publications below |
| IHC | See 8 publications below |
| IF | See 5 publications below |
Product Information
25474-1-AP targets CTGF in WB, IHC, IF, IP, ELISA applications and shows reactivity with human, mouse samples.
| Tested Reactivity | human, mouse |
| Cited Reactivity | human, mouse, rat, pig, canine, goat |
| Host / Isotype | Rabbit / IgG |
| Class | Polyclonal |
| Type | Antibody |
| Immunogen |
Peptide Predict reactive species |
| Full Name | connective tissue growth factor |
| Calculated Molecular Weight | 38 kDa |
| Observed Molecular Weight | 35 kDa |
| GenBank Accession Number | NM_001901 |
| Gene Symbol | CTGF |
| Gene ID (NCBI) | 1490 |
| RRID | AB_2918089 |
| Conjugate | Unconjugated |
| Form | Liquid |
| Purification Method | Antigen affinity purification |
| UNIPROT ID | P29279 |
| Storage Buffer | PBS with 0.02% sodium azide and 50% glycerol, pH 7.3. |
| Storage Conditions | Store at -20°C. Stable for one year after shipment. Aliquoting is unnecessary for -20oC storage. 20ul sizes contain 0.1% BSA. |
Background Information
CTGF, also known as CCN2, is a member of the CCN family of matricellular proteins. CTGF, a cysteine-rich, matrix-associated, heparin-binding protein, is widely expressed in various human tissues and organs. CTGF has important roles in many biological processes, including cell adhesion, migration, proliferation, angiogenesis, skeletal development, and tissue wound repair, and is critically involved in fibrotic disease and several forms of cancers.
Protocols
| Product Specific Protocols | |
|---|---|
| IHC protocol for CTGF antibody 25474-1-AP | Download protocol |
| IP protocol for CTGF antibody 25474-1-AP | Download protocol |
| WB protocol for CTGF antibody 25474-1-AP | Download protocol |
| Standard Protocols | |
|---|---|
| Click here to view our Standard Protocols |
Publications
| Species | Application | Title |
|---|---|---|
EMBO J MST2 methylation by PRMT5 inhibits Hippo signaling and promotes pancreatic cancer progression | ||
Acta Pharmacol Sin Urolithin A promotes atherosclerotic plaque stability by limiting inflammation and hypercholesteremia in Apolipoprotein E-deficient mice | ||
J Orthop Translat Oxidative stress activates YAP/TEAD1/NCOA4 axis to promote ferroptosis of endplate chondrocytes and aggravate intervertebral disc degeneration | ||
Oxid Med Cell Longev Cigarette Smoke Exposure Increases Glucose-6-phosphate Dehydrogenase, Autophagy, Fibrosis, and Senescence in Kidney Cells In Vitro and In Vivo. | ||
Front Bioeng Biotechnol Effect of stem cell conditional medium-loading adhesive hydrogel on TGF-β1-induced endometrial stromal cell fibrosis |











