Tested Applications
| Positive WB detected in | A549 cells, NCI-H1299 cells, Calu-1 cells, HEK-293 cells, HeLa cells, HepG2 cells, L02 cells |
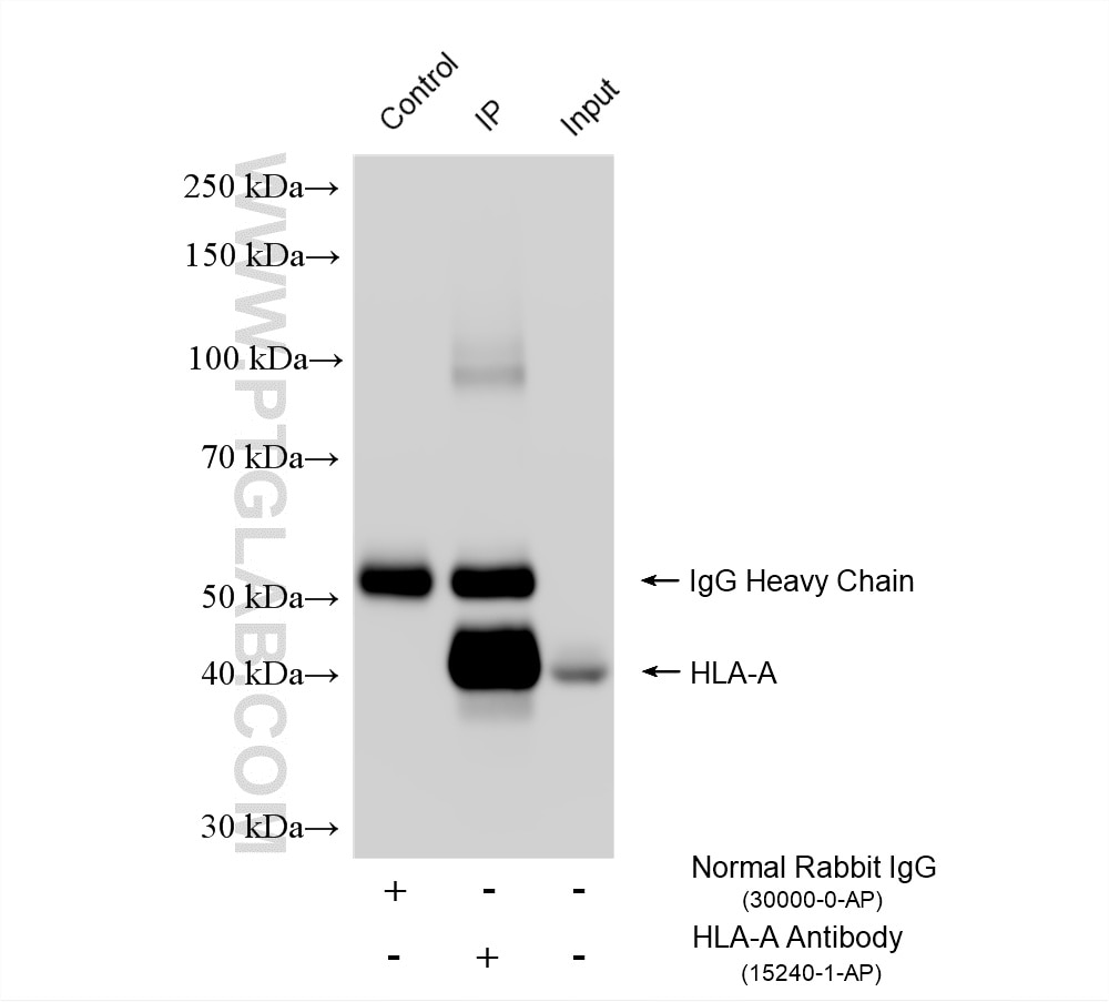
| Positive IP detected in | HepG2 cells |
| Positive IHC detected in | human tonsillitis tissue, human stomach cancer tissue Note: suggested antigen retrieval with TE buffer pH 9.0; (*) Alternatively, antigen retrieval may be performed with citrate buffer pH 6.0 |
| Positive IF/ICC detected in | HepG2 cells, Raji cells |
Recommended dilution
| Application | Dilution |
|---|---|
| Western Blot (WB) | WB : 1:5000-1:50000 |
| Immunoprecipitation (IP) | IP : 0.5-4.0 ug for 1.0-3.0 mg of total protein lysate |
| Immunohistochemistry (IHC) | IHC : 1:5000-1:20000 |
| Immunofluorescence (IF)/ICC | IF/ICC : 1:50-1:500 |
| It is recommended that this reagent should be titrated in each testing system to obtain optimal results. | |
| Sample-dependent, Check data in validation data gallery. | |
Published Applications
| WB | See 36 publications below |
| IHC | See 20 publications below |
| IF | See 16 publications below |
| IP | See 2 publications below |
| CoIP | See 1 publications below |
| RIP | See 1 publications below |
Product Information
15240-1-AP targets HLA class I ABC in WB, IHC, IF/ICC, IP, CoIP, RIP, ELISA, Cell treatment applications and shows reactivity with human samples.
| Tested Reactivity | human |
| Cited Reactivity | human |
| Host / Isotype | Rabbit / IgG |
| Class | Polyclonal |
| Type | Antibody |
| Immunogen |
CatNo: Ag7370 Product name: Recombinant human HLA class I (HLA-A) protein Source: e coli.-derived, PGEX-4T Tag: GST Domain: 28-303 aa of BC003069 Sequence: SMRYFFTSVSRPGRGEPRFIAVGYVDDTQFVRFDSDAASQKMEPRAPWIEQEGPEYWDQETRNMKAHSQTDRANLGTLRGYYNQSEDGSHTIQIMYGCDVGPDGRFLRGYRQDAYDGKDYIALNEDLRSWTAADMAAQITKRKWEAVHAAEQRRVYLEGRCVDGLRRYLENGKETLQRTDPPKTHMTHHPISDHEATLRCWALGFYPAEITLTWQRDGEDQTQDTELVETRPAGDGTFQKWAAVVVPSGEEQRYTCHVQHEGLPKPLTLRWELSSQ Predict reactive species |
| Full Name | major histocompatibility complex, class I, A |
| Calculated Molecular Weight | 41 kDa |
| Observed Molecular Weight | 44 kDa |
| GenBank Accession Number | BC003069 |
| Gene Symbol | HLA-A |
| Gene ID (NCBI) | 3105 |
| RRID | AB_1557426 |
| Conjugate | Unconjugated |
| Form | Liquid |
| Purification Method | Antigen affinity purification |
| UNIPROT ID | P04439 |
| Storage Buffer | PBS with 0.02% sodium azide and 50% glycerol, pH 7.3. |
| Storage Conditions | Store at -20°C. Stable for one year after shipment. Aliquoting is unnecessary for -20oC storage. 20ul sizes contain 0.1% BSA. |
Background Information
Human major histocompatibility complex (MHC) antigens, also referred to as human leukocyte antigens (HLA), are encoded by genes located on the short arm of chromosome 6 (6p21.3). There are two classes of HLA antigens: class I (HLA-A, B and C) and class II (HLA-D). This class I molecules are polymorphic membrane glycoproteins composed of a heavy (alpha) chain (44 kDa) which is encoded by a HLA class I gene (HLA-A, B or C), and β2-microglobulin light (beta) chain (12 kDa). They are involved in the presentation of foreign antigens to the immune system. (PMID: 667938; 3375250)
Protocols
| Product Specific Protocols | |
|---|---|
| IF protocol for HLA class I ABC antibody 15240-1-AP | Download protocol |
| IHC protocol for HLA class I ABC antibody 15240-1-AP | Download protocol |
| IP protocol for HLA class I ABC antibody 15240-1-AP | Download protocol |
| WB protocol for HLA class I ABC antibody 15240-1-AP | Download protocol |
| Standard Protocols | |
|---|---|
| Click here to view our Standard Protocols |
Publications
| Species | Application | Title |
|---|---|---|
Cell IRGQ-mediated autophagy in MHC class I quality control promotes tumor immune evasion | ||
Signal Transduct Target Ther Circulating tumor cells shielded with extracellular vesicle-derived CD45 evade T cell attack to enable metastasis | ||
Cell Targeting Pin1 renders pancreatic cancer eradicable by synergizing with immunochemotherapy. | ||
Cancer Discov Spatial-Temporal Diversity of Extrachromosomal DNA Shapes Urothelial Carcinoma Evolution and the Tumor Immune Microenvironment | ||
Reviews
The reviews below have been submitted by verified Proteintech customers who received an incentive for providing their feedback.
FH SHIVA KRISHNA (Verified Customer) (08-06-2025) | I used this antibody for western blotting, and it worked perfectly.
|
FH Fabien (Verified Customer) (11-04-2022) | The antibody works great for western-blot.
|
FH Patricia (Verified Customer) (02-25-2020) | I tried probing my WB for 1 hour at RT, but it looked terrible, so I will try an overnight incubation. I've also tried my IP twice, once using 4 ug/mL, and the second time using 10 ug/mL. I had no pulldown either time. I'm quite disappointed.
|



















