Tested Applications
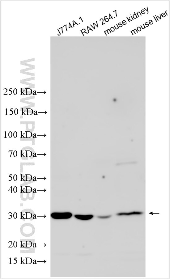
| Positive WB detected in | J774A.1 cells, RAW 264.7 cells, RAW 264.7 cells mouse kidney tissue mouse liver tissue | 
Recommended dilution
| Application | Dilution | 
|---|---|
| Western Blot (WB) | WB : 1:2000-1:16000 | 
| It is recommended that this reagent should be titrated in each testing system to obtain optimal results. | |
| Sample-dependent, Check data in validation data gallery. | |
Product Information
31253-1-AP targets HO-1/Hmox1 in WB, ELISA applications and shows reactivity with mouse samples.
| Tested Reactivity | mouse | 
| Host / Isotype | Rabbit / IgG | 
| Class | Polyclonal | 
| Type | Antibody | 
| Immunogen | CatNo: Eg0938 Product name: Recombinant mouse HO-1/Hmox1 protein Source: mammalian cells-derived, pHZ-KIsec-C-6*HIS Tag: C-6*HIS Domain: 1-266 aa of NM_010442.2 Sequence: MERPQPDSMPQDLSEALKEATKEVHIQAENAEFMKNFQKGQVSREGFKLVMASLYHIYTALEEEIERNKQNPVYAPLYFPEELHRRAALEQDMAFWYGPHWQEIIPCTPATQHYVKRLHEVGRTHPELLVAHAYTRYLGDLSGGQVLKKIAQKAMALPSSGEGLAFFTFPNIDSPTKFKQLYRARMNTLEMTPEVKHRVTEEAKTAFLLNIELFEELQVMLTEEHKDQSPSQMASLRQRPASLVQDTAPAETPRGKPQISTSSSQTPredict reactive species | 
| Full Name | heme oxygenase (decycling) 1 | 
| Calculated Molecular Weight | 33 kDa | 
| Observed Molecular Weight | 33 kDa | 
| GenBank Accession Number | NM_010442.2 | 
| Gene Symbol | HO-1 | 
| Gene ID (NCBI) | 15368 | 
| Conjugate | Unconjugated | 
| Form | Liquid | 
| Purification Method | Antigen affinity purification | 
| UNIPROT ID | P14901 | 
| Storage Buffer | PBS with 0.02% sodium azide and 50% glycerol, pH 7.3. | 
| Storage Conditions | Store at -20°C. Stable for one year after shipment. Aliquoting is unnecessary for -20oC storage. 20ul sizes contain 0.1% BSA. | 
Background Information
Heme Oxygenase-1 (HO-1) is a stress-inducible enzyme that plays a crucial role in cellular and tissue homeostasis. It is the rate-limiting enzyme responsible for the oxidative degradation of heme, producing carbon monoxide (CO), free iron, and biliverdin. Biliverdin is subsequently converted to bilirubin by biliverdin reductase. These byproducts have significant biological activities, contributing to HO-1's anti-inflammatory, cytoprotective, and immunomodulatory effects. (PMID: 33923744)
Protocols
| Product Specific Protocols | |
|---|---|
| WB protocol for HO-1/Hmox1 antibody 31253-1-AP | Download protocol | 
| Standard Protocols | |
|---|---|
| Click here to view our Standard Protocols | 




