Tested Applications
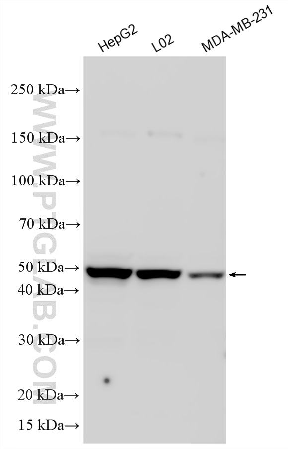
| Positive WB detected in | BGC-823 cells, HepG2 cells, MCF-7 cells, MDA-MB-231 cells, L02 cells |
Recommended dilution
| Application | Dilution |
|---|---|
| Western Blot (WB) | WB : 1:1000-1:5000 |
| It is recommended that this reagent should be titrated in each testing system to obtain optimal results. | |
| Sample-dependent, Check data in validation data gallery. | |
Published Applications
| KD/KO | See 8 publications below |
| WB | See 34 publications below |
| IF | See 7 publications below |
| IP | See 2 publications below |
| CoIP | See 2 publications below |
| ChIP | See 6 publications below |
Product Information
12418-1-AP targets TEAD4 in WB, IF, IP, CoIP, ChIP, ELISA applications and shows reactivity with human, mouse, rat samples.
| Tested Reactivity | human, mouse, rat |
| Cited Reactivity | human, mouse, rat |
| Host / Isotype | Rabbit / IgG |
| Class | Polyclonal |
| Type | Antibody |
| Immunogen |
CatNo: Ag3059 Product name: Recombinant human TEAD4 protein Source: e coli.-derived, PGEX-4T Tag: GST Domain: 135-434 aa of BC015497 Sequence: SAQIISATAFHSSMALARGPGRPAVSGFWQGALPGQAGTSHDVKPFSQQTYAVQPPLPLPGFESPAGPAPSPSAPPAPPWQGRSVASSKLWMLEFSAFLEQQQDPDTYNKHLFVHIGQSSPSYSDPYLEAVDIRQIYDKFPEKKGGLKDLFERGPSNAFFLVKFWADLNTNIEDEGSSFYGVSSQYESPENMIITCSTKVCSFGKQVVEKVETEYARYENGHYSYRIHRSPLCEYMINFIHKLKHLPEKYMMNSVLENFTILQVVTNRDTQETLLCIAYVFEVSASEHGAQHHIYRLVKE Predict reactive species |
| Full Name | TEA domain family member 4 |
| Calculated Molecular Weight | 434 aa, 48 kDa |
| Observed Molecular Weight | 48 kDa |
| GenBank Accession Number | BC015497 |
| Gene Symbol | TEAD4 |
| Gene ID (NCBI) | 7004 |
| RRID | AB_2203074 |
| Conjugate | Unconjugated |
| Form | Liquid |
| Purification Method | Antigen affinity purification |
| UNIPROT ID | Q15561 |
| Storage Buffer | PBS with 0.02% sodium azide and 50% glycerol, pH 7.3. |
| Storage Conditions | Store at -20°C. Stable for one year after shipment. Aliquoting is unnecessary for -20oC storage. 20ul sizes contain 0.1% BSA. |
Background Information
TEAD4 belongs to a protein family that share the TEA/ATTS domain. The transcriptional activity of TEAD4 required several regions of the proteins , a TBP-associated factor and a limiting transcriptional intermediary facotrs. TEAD4 also preforms an essential role in the Hippo signaling pathway. TEAD4 regulates gene expression of YAP1 and WWTR1/TAZ, thus mediating cell proliferation, migration and epithelial mesenchymal transition induction. The calculated molecular weight of TEAD4 is 48 kDa, but molecular weight of TEAD4 is detected about 50-55 kDa.
Protocols
| Product Specific Protocols | |
|---|---|
| WB protocol for TEAD4 antibody 12418-1-AP | Download protocol |
| Standard Protocols | |
|---|---|
| Click here to view our Standard Protocols |
Publications
| Species | Application | Title |
|---|---|---|
Cell Mol Biol Lett KIAA1429-mediated m6A modification of CHST11 promotes progression of diffuse large B-cell lymphoma by regulating Hippo-YAP pathway | ||
Free Radic Biol Med Role of ferroptosis mediated by abnormal membrane structure in DEHP-induced reproductive injury | ||
Br J Pharmacol An agonist of the adenosine A2A receptor, CGS21680, promotes corneal epithelial wound healing via the YAP signalling pathway | ||
Clin Sci (Lond) IGFBP7 promotes endothelial cell repair in the recovery phase of acute lung injury | ||
Reviews
The reviews below have been submitted by verified Proteintech customers who received an incentive for providing their feedback.
FH Pramod Bahadur (Verified Customer) (03-05-2024) | We used this antibody for PC3 cell lines with vector control, PDEF over expression and PDEF TWIST overexpression
![]() |






