Tested Applications
| Positive WB detected in | HEK-293 cells, HeLa cells, Jurkat cells, MCF-7 cells, MDA-MB-231 cells, NIH/3T3 cells |
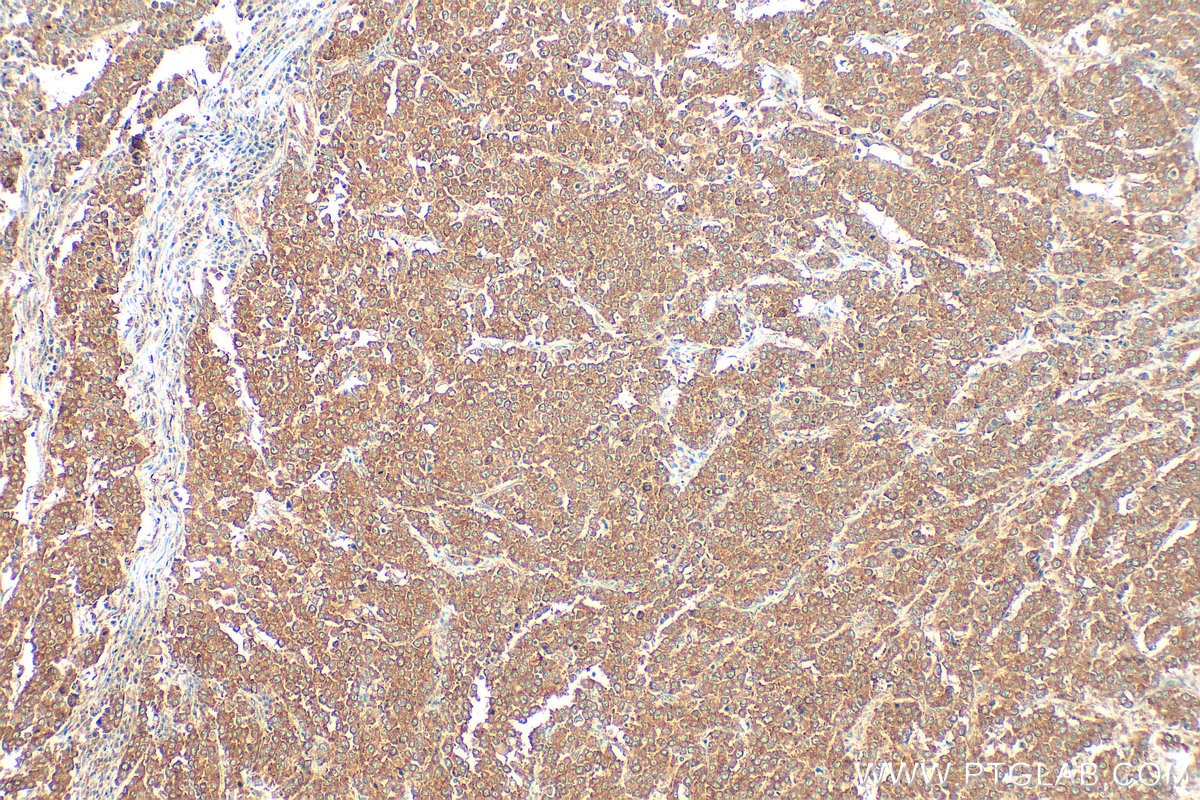
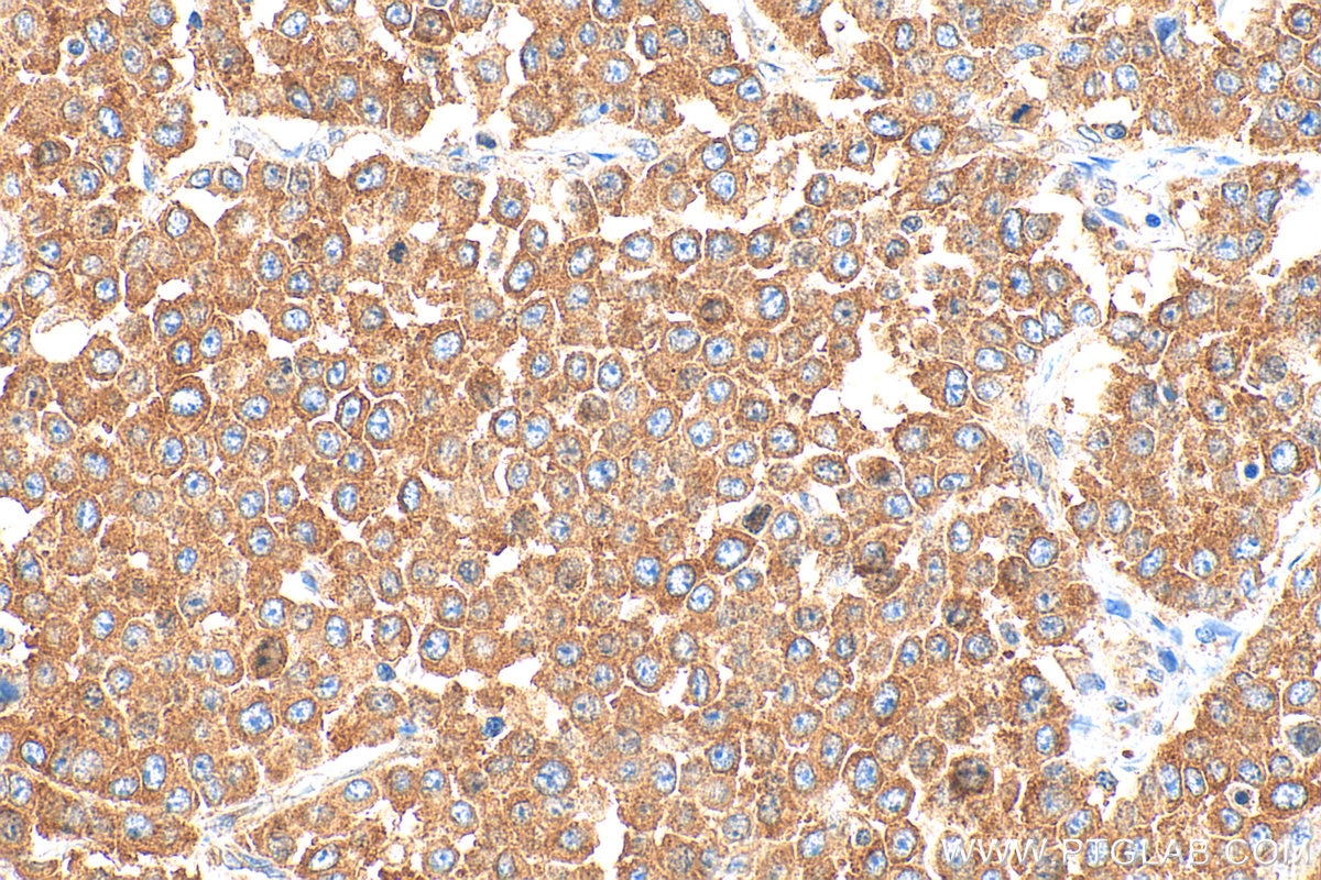
| Positive IHC detected in | human renal cell carcinoma tissue, human breast cancer tissue, human colon cancer tissue, human placenta tissue, human prostate cancer tissue, human tonsillitis tissue, mouse colon tissue, rat colon tissue Note: suggested antigen retrieval with TE buffer pH 9.0; (*) Alternatively, antigen retrieval may be performed with citrate buffer pH 6.0 |
| Positive IF/ICC detected in | HeLa cells |
Recommended dilution
| Application | Dilution |
|---|---|
| Western Blot (WB) | WB : 1:5000-1:50000 |
| Immunohistochemistry (IHC) | IHC : 1:500-1:2000 |
| Immunofluorescence (IF)/ICC | IF/ICC : 1:200-1:800 |
| It is recommended that this reagent should be titrated in each testing system to obtain optimal results. | |
| Sample-dependent, Check data in validation data gallery. | |
Product Information
20339-1-AP targets YBX1 in WB, IHC, IF/ICC, IP, CoIP, ChIP, RIP, ELISA applications and shows reactivity with human, mouse, rat samples.
| Tested Reactivity | human, mouse, rat |
| Cited Reactivity | human, mouse, pig |
| Host / Isotype | Rabbit / IgG |
| Class | Polyclonal |
| Type | Antibody |
| Immunogen |
CatNo: Ag14129 Product name: Recombinant human YBX1 protein Source: e coli.-derived, PGEX-4T Tag: GST Domain: 134-303 aa of BC010430 Sequence: QGSKYAADRNHYRRYPRRRGPPRNYQQNYQNSESGEKNEGSESAPEGQAQQRRPYRRRRFPPYYMRRPYGRRPQYSNPPVQGEVMEGADNQGAGEQGRPVRQNMYRGYRPRFRRGPPRQRQPREDGNEEDKENQGDETQGQQPPQRRYRRNFNYRRRRPENPKPQDGKET Predict reactive species |
| Full Name | Y box binding protein 1 |
| Calculated Molecular Weight | 324 aa, 36 kDa |
| Observed Molecular Weight | 36-56 kDa |
| GenBank Accession Number | BC010430 |
| Gene Symbol | YBX1 |
| Gene ID (NCBI) | 4904 |
| RRID | AB_10665424 |
| Conjugate | Unconjugated |
| Form | Liquid |
| Purification Method | Antigen affinity purification |
| UNIPROT ID | P67809 |
| Storage Buffer | PBS with 0.02% sodium azide and 50% glycerol, pH 7.3. |
| Storage Conditions | Store at -20°C. Stable for one year after shipment. Aliquoting is unnecessary for -20oC storage. 20ul sizes contain 0.1% BSA. |
Background Information
Y box binding protein 1(YBX1) is one of cis-acting elements which has a role in regulation of the expression of HLA class II genes. YBX1 is great of importance in regulation of PTP1B expression. It can bind to splice sites mediate pre-mRNA alternative splicing regulation. Also, it involves the regulation of translation by modulation of the interaction between the mRNA and eukaryotic initiation factors. Its transcriptional activity on the multidrug resistance gene MDR1 is enhanced in presence of the APEX1 acetylated form at 'Lys-6' and 'Lys-7'. The secreted form acts as an extracellular mitogen and stimulates cell migration and proliferation. The calculated molecular weight of YBX1 is 36 kDa, but modified YBX1 is about 36-56 kDa (PMID: 27384875 ). Recently, researchers developed a biomimetic nanoplatform to deliver RNA piR-RCC specifically into RCC tumors. This RNA interacts with YBX1 to inhibit tumor proliferation and metastasis (PMID: 40411401).
Protocols
| Product Specific Protocols | |
|---|---|
| IF protocol for YBX1 antibody 20339-1-AP | Download protocol |
| IHC protocol for YBX1 antibody 20339-1-AP | Download protocol |
| WB protocol for YBX1 antibody 20339-1-AP | Download protocol |
| Standard Protocols | |
|---|---|
| Click here to view our Standard Protocols |
Publications
| Species | Application | Title |
|---|---|---|
Sci Adv Profiling and functional characterization of maternal mRNA translation during mouse maternal-to-zygotic transition. | ||
Nat Commun Targeting USP47 overcomes tyrosine kinase inhibitor resistance and eradicates leukemia stem/progenitor cells in chronic myelogenous leukemia.
| ||
Cell Death Differ YB-1 is a positive regulator of KLF5 transcription factor in basal-like breast cancer.
| ||
Cell Rep Coordinated post-transcriptional control of oncogene-induced senescence by UNR/CSDE1.
| ||
Nucleic Acids Res YB-1 regulates tiRNA-induced Stress Granule formation but not translational repression.
|
Reviews
The reviews below have been submitted by verified Proteintech customers who received an incentive for providing their feedback.
FH Tatyana (Verified Customer) (03-11-2023) | Detects protein recruited to sodium arsenite induced stress granules (see image). 4% PFA fixation followed by methanol permeabilization; antibody prepared in 5% goat serum in PBST; 2 h at RT incubation.
![]() |
FH Sun (Verified Customer) (01-05-2023) | a good antibody. YBX1 is a quite abundant protein and this antibody detects it pretty well.
|
FH Meliti (Verified Customer) (08-05-2020) | Not vey clean in terms of the background but gives a nice band corresponding to YBX1
![]() |
FH H (Verified Customer) (04-06-2020) | This antibody works well in my hands using HEK293T cell lysates. I used LICOR anti-rabbit IRDye800 secondary antibody coupled with Odyssey Clx detection.
![]() |




































