Tested Applications
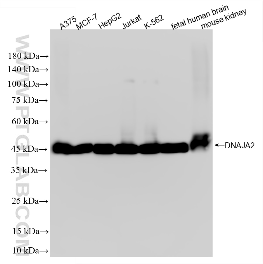
| Positive WB detected in | A375 cells, MCF-7 cells, HepG2 cells, Jurkat cells, K-562 cells, fetal human brain tissue, mouse kidney tissue |
Recommended dilution
| Application | Dilution |
|---|---|
| Western Blot (WB) | WB : 1:5000-1:50000 |
| It is recommended that this reagent should be titrated in each testing system to obtain optimal results. | |
| Sample-dependent, Check data in validation data gallery. | |
Product Information
87041-2-RR targets DNAJA2 in WB, ELISA applications and shows reactivity with human, mouse samples.
| Tested Reactivity | human, mouse |
| Host / Isotype | Rabbit / IgG |
| Class | Recombinant |
| Type | Antibody |
| Immunogen |
CatNo: Ag2877 Product name: Recombinant human DNAJA2 protein Source: e coli.-derived, PGEX-4T Tag: GST Domain: 1-214 aa of BC015809 Sequence: MANVADTKLYDILGVPPGASENELKKAYRKLAKEYHPDKNPNAGDKFKEISFAYEVLSNPEKRELYDRYGEQGLREGSGGGGGMDDIFSHIFGGGLFGFMGNQSRSRNGRRRGEDMMHPLKVSLEDLYNGKTTKLQLSKNVLCSACSGQGGKSGAVQKCSACRGRGVRIMIRQLAPGMVQQMQSVCSDCNGEGEVINEKDRCKKCEGKKVIKEV Predict reactive species |
| Full Name | DnaJ (Hsp40) homolog, subfamily A, member 2 |
| Calculated Molecular Weight | 417 aa, 46 kDa |
| Observed Molecular Weight | 46 kDa |
| GenBank Accession Number | BC015809 |
| Gene Symbol | DNAJA2 |
| Gene ID (NCBI) | 10294 |
| Conjugate | Unconjugated |
| Form | Liquid |
| Purification Method | Protein A purification |
| UNIPROT ID | O60884 |
| Storage Buffer | PBS with 0.02% sodium azide and 50% glycerol, pH 7.3. |
| Storage Conditions | Store at -20°C. Stable for one year after shipment. Aliquoting is unnecessary for -20oC storage. 20ul sizes contain 0.1% BSA. |
Protocols
| Product Specific Protocols | |
|---|---|
| WB protocol for DNAJA2 antibody 87041-2-RR | Download protocol |
| Standard Protocols | |
|---|---|
| Click here to view our Standard Protocols |

