Tested Applications
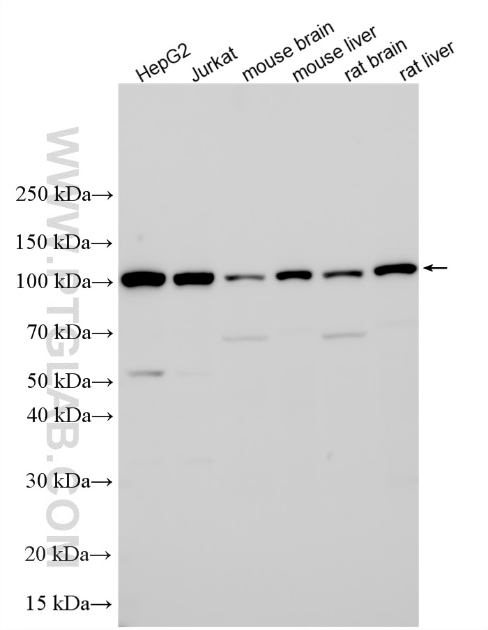
| Positive WB detected in | HepG2 cells, Jurkat cells, mouse brain tissue, mouse liver tissue, rat brain tissue, rat liver tissue, L02 cells |
| Positive IP detected in | HepG2 cells |
| Positive IHC detected in | human liver tissue, mouse brain tissue, mouse liver tissue Note: suggested antigen retrieval with TE buffer pH 9.0; (*) Alternatively, antigen retrieval may be performed with citrate buffer pH 6.0 |
| Positive IF-P detected in | mouse liver tissue, mouse brain tissue |
| Positive IF/ICC detected in | HepG2 cells |
Recommended dilution
| Application | Dilution |
|---|---|
| Western Blot (WB) | WB : 1:2000-1:16000 |
| Immunoprecipitation (IP) | IP : 0.5-4.0 ug for 1.0-3.0 mg of total protein lysate |
| Immunohistochemistry (IHC) | IHC : 1:20-1:200 |
| Immunofluorescence (IF)-P | IF-P : 1:50-1:500 |
| Immunofluorescence (IF)/ICC | IF/ICC : 1:200-1:800 |
| It is recommended that this reagent should be titrated in each testing system to obtain optimal results. | |
| Sample-dependent, Check data in validation data gallery. | |
Published Applications
| KD/KO | See 7 publications below |
| WB | See 13 publications below |
| IHC | See 5 publications below |
| IF | See 1 publications below |
| IP | See 1 publications below |
| CoIP | See 3 publications below |
Product Information
17394-1-AP targets AlaRS in WB, IHC, IF/ICC, IF-P, IP, CoIP, ELISA applications and shows reactivity with human, mouse, rat samples.
| Tested Reactivity | human, mouse, rat |
| Cited Reactivity | human, mouse, rat |
| Host / Isotype | Rabbit / IgG |
| Class | Polyclonal |
| Type | Antibody |
| Immunogen |
CatNo: Ag11294 Product name: Recombinant human AARS protein Source: e coli.-derived, PGEX-4T Tag: GST Domain: 1-350 aa of BC011451 Sequence: MDSTLTASEIRQRFIDFFKRNEHTYVHSSATIPLDDPTLLFANAGMNQFKPIFLNTIDPSHPMAKLSRAANTQKCIRAGGKHNDLDDVGKDVYHHTFFEMLGSWSFGDYFKELACKMALELLTQEFGIPIERLYVTYFGGDEAAGLEADLECKQIWQNLGLDDTKILPGNMKDNFWEMGDTGPCGPCSEIHYDRIGGRDAAHLVNQDDPNVLEIWNLVFIQYNREADGILKPLPKKSIDTGMGLERLVSVLQNKMSNYDTDLFVPYFEAIQKGTGARPYTGKVGAEDADGIDMAYRVLADHARTITVALADGGRPDNTGRGYVLRRILRRAVRYAHEKLNASRGFFATLV Predict reactive species |
| Full Name | alanyl-tRNA synthetase |
| Calculated Molecular Weight | 968 aa, 107 kDa |
| Observed Molecular Weight | 107 kDa |
| GenBank Accession Number | BC011451 |
| Gene Symbol | AlaRS |
| Gene ID (NCBI) | 16 |
| RRID | AB_2219748 |
| Conjugate | Unconjugated |
| Form | Liquid |
| Purification Method | Antigen affinity purification |
| UNIPROT ID | P49588 |
| Storage Buffer | PBS with 0.02% sodium azide and 50% glycerol, pH 7.3. |
| Storage Conditions | Store at -20°C. Stable for one year after shipment. Aliquoting is unnecessary for -20oC storage. 20ul sizes contain 0.1% BSA. |
Background Information
AARS(alanyl-tRNA synthetase) is also named as AlaRS(alanine tRNA ligase 1, cytoplasmic), renal carcinoma antigen NY-REN-42 and belongs to the class-II aminoacyl-tRNA synthetase family. It can interpret the RNA code and attach specific aminoacids to the tRNAs that contain the cognate trinucleotide anticodons. AARS consists of three domains: the N-terminal catalytic domain, the editing domain and the C-terminal C-Ala domain. The editing domain removes incorrectly charged amino acids, while the C-Ala domain, along with tRNA(Ala), serves as a bridge to cooperatively bring together the editing and aminoacylation centers thus stimulating deacylation of misacylated tRNAs(PMID:19661429).
Protocols
| Product Specific Protocols | |
|---|---|
| IF protocol for AlaRS antibody 17394-1-AP | Download protocol |
| IHC protocol for AlaRS antibody 17394-1-AP | Download protocol |
| IP protocol for AlaRS antibody 17394-1-AP | Download protocol |
| WB protocol for AlaRS antibody 17394-1-AP | Download protocol |
| Standard Protocols | |
|---|---|
| Click here to view our Standard Protocols |
Publications
| Species | Application | Title |
|---|---|---|
Int J Biol Macromol KAT8-mediated MDH2 lactylation promotes renal cancer progression by enhancing mitochondrial function and stress resistance | ||
J Oral Pathol Med AARS1 Implicates Malignancy and Immune Infiltration in Head and Neck Squamous Cell Carcinoma, Serving as a Prognostic Predictor | ||
Nat Commun Hexokinase 2-mediated histone H3K18la promotes PAI-1-dependent thrombosis in acute myeloid leukemia via tumor-endothelial crosstalk. | ||
Cell Discov NUDT21 lactylation reprograms alternative polyadenylation to promote cuproptosis resistance | ||
Nat Commun Comprehensive proteogenomic characterization of early duodenal cancer reveals the carcinogenesis tracks of different subtypes | ||
Cell Death Differ PDK4-driven lactate accumulation facilitates LPCAT2 lactylation to exacerbate sepsis-induced acute lung injury
|























